口腔内写真について
こんにちは、おのみち矯正歯科です。今日は口腔内写真について説明します。
当院では初診の患者さん全員に口腔内写真を撮らせていただいております。患者さんに大きなお口を開けていただき唇を専用の器具で引っ張ります。
矯正治療中も定期的に撮影しており、その際患者さんにもご協力をお願いすることがあるかと思います。
なぜ撮るの?
- ①正確な診断をするため
レントゲンでは得られない詰め物や被せものの形状、歯や粘膜の色、歯並びなどの目視情報を把握し診査、診断をするため。 - ②変化の観察
診療記録として保存し治療経過や比較、治療計画の立案に役立てるため。 - ③患者さんの治療への理解
患者さんに口腔内の状況や治療の必要性をわかりやすく説明し理解して頂くため。
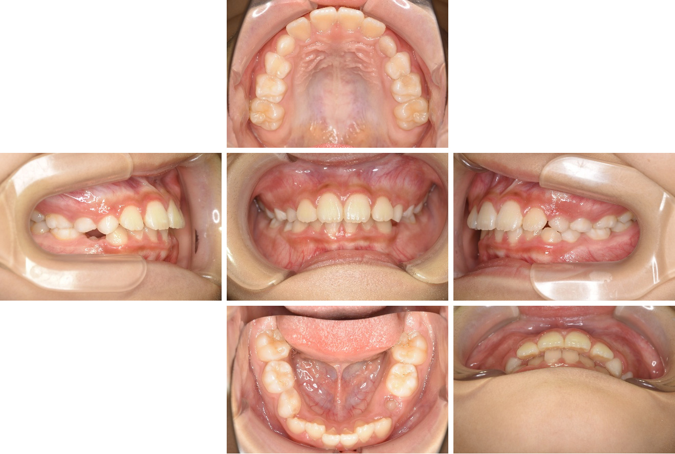
どのように撮るの?
口角鈎という唇を引っ張る道具や、口腔内ミラーを使っていろいろな角度から6枚法で撮影します。
①咬んだ状態の正面
②咬んだ状態で上下の前後的な位置関係がわかる面
③咬んだ状態で左側
④咬んだ状態で右側
⑤口を開けた状態での上顎の咬合面(歯列)
⑥口を開けた状態での下顎の咬合面

口腔内写真は歯科治療の質を向上させ、患者さんの口腔健康をサポートする大切なものです。患者さんにできるだけご負担がないよう、より良い写真をお見せできるようスタッフ一同日々頑張っております。
