お子さまの歯並びが気になる方へ Child Orthodontics
子どもの矯正治療は、永久歯が生えそろう前のタイミングで始めることで、あごの成長を活かした効果的な治療が可能です。中でも6歳前後に生えてくる「6歳臼歯(第一大臼歯)」は、かみ合わせの基準となる重要な歯です。この歯が正しい位置に生えるよう導くことが、将来の歯並びやあごの発育に大きく影響します。
不正咬合は、歯の位置だけでなく、上下のあごの骨の大きさやバランスに起因することもあります。成長期であれば、あごの骨格に働きかける治療が可能となり、抜歯を回避できる可能性や、自然な顔立ちの形成にもつながります。
また、指しゃぶりや舌癖、口呼吸などのくせがお口の発達に影響することもあります。こうした習慣を早期に正すことは、矯正治療においても重要な要素です。
一般的には、上下の前歯が生え変わる7~8歳ごろを目安に治療を開始することが多いですが、症状によってはそれ以前からの介入が必要となるケースもあります。将来的な不正咬合を未然に防ぐためにも、気になる点があれば受診をご検討ください。




6~10歳の治療方法(混合歯列期)
永久歯へのスムーズな移行を支える
「I期治療」

6~10歳ごろは、乳歯と永久歯が混在する「混合歯列期」にあたり、あごの成長が活発な時期です。この段階では、骨格の発育を正しい方向に導く治療が可能であり、大人の矯正では難しい骨格そのものへのアプローチも行えます。
歯並びの乱れの背景には、単にスペースが足りないという理由だけではなく、舌や唇の使い方、呼吸の方法、筋肉のバランスといった「口腔習癖」が関係していることも少なくありません。これらの要因を見極め、早期に対処することで、将来的な矯正治療の負担を軽減できることもあります。

成長期にしかできない
骨格から整える顎顔面矯正 dentofacial orthopedics ALIGNMENT
近年、多くの保護者の方がお子さまの顎が小さいことによる歯並びへの影響を心配されています。その背景には、現代の食生活や生活習慣の変化が大きく関係しています。やわらかい食べ物が中心となり、よく噛む機会が減ったことで、顎の筋肉や骨格に十分な刺激が伝わらず、顎の成長が遅れる傾向があります。
また、スマートフォンやタブレットの使用時間の増加、口呼吸や姿勢の乱れも、顎の発育やかみ合わせに影響を与える要因の一つとされています。 このような環境の変化により、歯が並ぶスペースが足りない、口が常に開いている、いびきが多いといった症状を持つお子さまが増えています。顎の発育不全は歯並びだけでなく、呼吸・姿勢・顔のバランスにも関係するため、早期の対応が大切です。
目に見える歯だけに注目しがちなことが多いですが、実は歯そのものより、その歯を支える顎の骨や顔の形、さらには呼吸といった目には見えない部分がより重要です。当院では、骨格の発育を正しい方向へ導くことを目的とした顎顔面矯正を行っています。お子さまの自然な成長力を活かし、歯列・顎・呼吸機能の調和を整えることで、健やかな発達をサポートします。
顎顔面矯正とは

顎顔面矯正は、成長期のお子さまを対象に、顎や顔面の骨格の成長を利用して歯並びやかみ合わせを整える矯正治療です。一般的な矯正治療が「歯を並べること」に重点を置くのに対し、骨格の発育そのものをコントロールしながら歯列を正しい位置に導く点が特徴です。成長途中の時期にしか行えない治療であり、成人矯正では難しい骨格の改善も、自然な成長力を活かして行うことが可能です。
急速拡大装置などの固定式装置を用いて、上顎の中央にある骨の縫合部(正中口蓋縫合)を少しずつ広げることで、顎全体の骨格を拡大します。これにより、歯が並ぶスペースを確保するとともに、顎の正しい発育を促します。この治療法は矯正の初期段階(Ⅰ期治療)にあたり、将来の歯並びや顔のバランスを整えるための「土台づくり」につながります。
こんな症状はありませんか? Check
口元・呼吸の様子
- 口がぽかんと開いている
- 鼻づまりが多く、口呼吸になっている
- 舌が前に出やすく、発音が不明瞭
- 舌で前歯を押すくせがある
くせや姿勢
- 指しゃぶり、爪かみ、頬杖などが続いている
- 猫背や体を傾けて座る習慣がある
- 食事中に頬杖をつく
- 硬い食べ物を嫌がる
歯の生え変わり・噛み合わせ
- 生え変わりの時期や順番にばらつきがある
- 受け口や出っ歯の傾向がある
- 前歯がしっかり噛み合っていない
お口の健康習慣
- 虫歯になりやすい
- 歯みがきを嫌がり、仕上げ磨きができない
- 磨き残しが多く、歯ぐきが腫れやすい
これらの症状やくせは見過ごされがちですが、歯並びやかみ合わせ、さらにはあごの発育にまで影響を及ぼすことがあります。特に口呼吸は、上顎の発達が不十分な場合や出っ歯、開口(前歯が噛み合わない状態)などの原因になることもあり、早めの対策が推奨されます。
おのみち矯正歯科では、歯並びだけでなく、お口の癖や筋機能の評価も踏まえた上で、総合的にアプローチを行っています。
顎顔面矯正のメリット Merit
歯並びと骨格へのメリット
- 顎の成長を促し、歯がきれいに並ぶスペースを確保できます。
- 顎を広げることで、将来的に歯を抜かずに済む可能性が高まります。
- 骨格のバランスが整うため、
後戻りがほとんどありません。
呼吸や全身の健康へのメリット
- 上顎を広げることで鼻腔が広がり、鼻呼吸がしやすくなります。
- 気道が確保されるため、いびきの軽減や睡眠の質向上につながります。
- 鼻呼吸により風邪やアレルギー症状の軽減や姿勢改善も期待できます。
顔立ちや口腔機能の改善
- 顎のバランスが整うことで
横顔やフェイスラインがきれいになり、アデノイド顔貌を予防します。 - 舌の位置が正しくなることで、咀嚼・発音・嚥下がスムーズになります。
- 正しい噛み合わせで力を入れやすくなり、スポーツパフォーマンス向上も期待できます。

顎の成長を正しい方向へ
導くために
6~10歳ごろは、乳歯と永久歯が混在する「混合歯列期」にあたり、まだ発達途中のあごの骨に働きかけることができる貴重な時期です。歯並びの乱れは、舌の位置や口まわりの筋肉の使い方、呼吸方法など、見た目だけでなく機能的な要因が背景にあることも少なくありません。
この段階で行う矯正治療では、歯列や骨格のバランスを整えることを目的に、複数の装置やトレーニングを組み合わせながら進めていきます。
急速拡大装置Expansion device

上顎の幅が狭い場合に用いる固定式の装置です。中央のスクリューを調整することで、骨自体をゆっくりと広げていきます。これにより、歯が並ぶスペースの確保だけでなく、鼻腔の拡大による呼吸機能の向上が期待でき、交叉咬合や受け口の是正に用いられます。
上顎前方けん引装置Maxillary protractive appliance

受け口(反対咬合)や上顎の成長不足がみられるお子さまに対し、上顎前方けん引装置(別名:フェイスマスク)を用いた治療をご提案することがあります。成長期のお子さまの力を借りて、顎の骨格そのものに働きかけます。これにより、将来的に外科手術が必要になるリスクを減らせる可能性があります。
顎の骨の成長を促すことで、歯を並べるためのスペースを確保し、永久歯の抜歯を避けることができる場合があります。顎のバランスが整うことで、顔貌の調和がとれ、より自然な横顔につながることが期待できます。
プレオルソ・マイオブレースPre-Ortho/Myobrace

柔らかい素材でできたマウスピース型の装置で、舌の位置や口唇の使い方など、口腔機能を整えることを目的に使用されます。主に夜間や在宅時に装着し、歯列の拡大や前歯の軽度な移動を補助します。
お子さまが無理なく装着しやすい設計となっており、習慣づけや機能トレーニングとしても効果を発揮します。
MFT(口腔筋機能療法)Myofunctional Therapy

食べる・話す・飲み込む・呼吸するなどの基本的な機能が正しく行われていないと、矯正治療の効果が得られにくくなることがあります。
MFTでは、舌の動きや位置、口まわりの筋肉の使い方を改善するためのトレーニングを行い、歯並びやかみ合わせを根本から支えていきます。治療後の後戻り予防にもつながります。
治療はいつから開始すべきか
顎の骨格にアプローチする治療法のため、「いつ始めるか」が非常に重要です。成長が進みすぎると骨格の可動性が低下し、治療効果が得にくくなるため、適切な開始時期を見極める必要があります。一般的には、お子さまが歯科治療に協力できる5歳~6歳頃が目安です。この時期は乳歯と永久歯が混在する「混合歯列期」にあたり、骨の成長が活発で治療効果が得やすい時期です。特に6歳~8歳頃は顎の発育が最も旺盛で、矯正治療の効果を十分に引き出しやすいとされています。
上顎の成長リミットと
治療のタイミング Limits and Timing

治療では上顎骨の成長のピークを逃さないことが重要です。上顎は顔の中でも早く発育し、生まれてから5歳頃までに約90%が完了するといわれています。その後、10歳前後には発育が落ち着く傾向にあり、この時期を過ぎると上顎骨の縫合が硬くなり、治療効果が得にくくなる場合があります。そのため、おのみち矯正歯科では10歳未満での治療開始を推奨しています。
矯正治療は
早めの相談が大切です Early consult

お子さまの歯並びやかみ合わせが気になっても、「まだ治療するのは早いかもしれない」と考える保護者の方もいるでしょう。しかし、早めに歯科医院で相談することで治療の選択肢が広がり、将来的に負担の少ない矯正計画を立てやすくなります。お子さまの成長や歯の発育に適した治療のタイミングを見極めるためにも、まずはお気軽にご相談ください。
12歳前後からの治療方法
(永久歯列期)
永久歯が生えそろったあとに行う
「Ⅱ期治療」
すべての永久歯が生えそろうこの時期からは、本格的な矯正治療を開始できます。歯の位置を整え、歯列全体のバランスやかみ合わせ、そして見た目の調和を図ることを目指します。
歯のスペースが不足していたり、あごの大きさとの不調和が見られる場合には、健康な歯を抜いてスペースを確保する処置が必要になることもあります。抜歯が必要と判断された場合でも、事前に十分な検査と説明を行い、保護者の同意を得た上で慎重に進めます。
当院では、骨格的な治療を行った後にⅡ期治療に移行するため、抜歯の頻度は非常に少なくなっています。非抜歯治療を希望される場合は、お気軽にお問合せください。

ワイヤー矯正
(マルチブラケット装置)歯一本一本にブラケットという小さな装置を取り付け、ワイヤーを通して歯を少しずつ動かす方法です。細かな調整が可能なため、複雑な歯並びや噛み合わせの改善に対応できます。

マウスピース型矯正装置
(インビザラインなど)透明な素材でできた取り外し可能な装置です。見た目に配慮しながら、学校生活や食事への影響を抑えて矯正を進めることができます。ただし、症状によっては使用が難しい場合もあります。
リテーナー(保定装置)により
矯正後の歯並びを安定させる Retainer

矯正治療が終了したあとも、歯が元の位置に戻ろうとする力が働きます。そのため、一定期間は「リテーナー」と呼ばれる保定装置を使用して、歯並びの安定を図る必要があります。リテーナーには、取り外し式のものや歯の裏側に固定するタイプがあり、生活スタイルや症状に応じて使い分けます。
定期的なメンテナンスを行いながら、整った歯並びの維持をサポートします。保定期間の管理は、矯正治療を成功させるための大切なステップです。
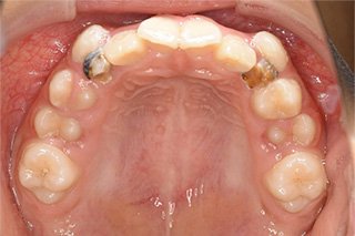
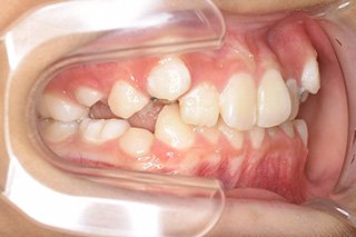
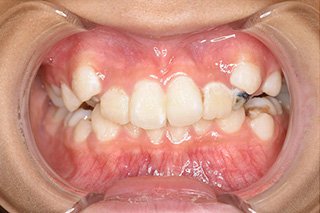
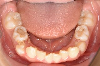
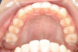
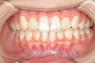
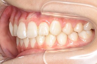
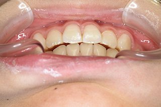
顎顔面矯正症例 11歳女児 Case
| 主訴 | 永久歯が変な所からはえてきている|顔貌 | |
|---|---|---|
| 施術内容 | 矯正1期治療 | |
| 治癒期間 | 1年5ヶ月間 | |
| 費用 | 459,200円(税込) | |
| リスク・ 副作用 | 痛みを伴う | |












唇顎口蓋裂の治療
唇顎口蓋裂がある場合、上顎の発育が不十分であることが多く、歯の生え方や噛み合わせに異常がみられることがあります。そのため、噛み合わせの改善と顔のバランスを整える目的で、段階的な矯正歯科治療が必要となります。

乳歯列期
一般的に、生後2〜3カ月頃に唇の手術、1歳〜1歳半頃にあごの手術を行います。
大学病院や総合病院の口腔外科・形成外科などの専門機関で行います。 混合歯列期
前歯が永久歯に生え変わる時期に、矯正治療を開始します。上顎の幅が狭い、前方への成長が不十分といった状態がある場合は、あごを広げたり、前方への成長を促す治療を行います。
必要に応じて、骨が足りない部分に骨を移植し、永久歯が正しく生えるスペースを確保するとともに、広げたあごの形を安定させます。
永久歯列期
すべての歯が永久歯に生え揃った段階で、マルチブラケット装置を用いた本格的な矯正治療を行い、咬み合わせや歯並びを整えていきます。

自立支援医療(更生医療) Independence Support SUPPORT
唇顎口蓋裂の矯正歯科治療には健康保険が適用され、育成医療制度により、一定額を超える自己負担が免除される仕組みがあります。
また、自立支援医療(更生医療)は、身体に障害にある方が、日常生活や社会生活を自立して送れるように、障がいによる機能の回復や改善、症状の進行防止を目的とした医療にかかる費用の一部を公費で支援する制度です。
この制度の対象となる医療は、指定を受けた「自立支援医療機関」でのみ受けることができます。歯科の分野では、唇顎口蓋裂に対する矯正歯科治療も自立支援医療の対象とされています。なお、当院は自立支援医療(更生医療)機関の指定を受けております。

お口の機能を正す
「小児口腔機能管理」 Pediatric Function MANAGEMENT
近年、子どもたちの口腔機能の発達に課題を抱えるケースが増えています。「口がポカンと開いている」「舌の動きが悪い」「飲み込み方が正しくない」など、こうした状態が続くと、歯並びやかみ合わせの乱れにつながることがあります。
矯正治療を始める前に、口腔機能の向上や発達をサポートすることで、より良い治療結果につながりやすくなります。
このような背景を踏まえて導入されたのが、保険適用の「小児口腔機能管理」です。これは、咀嚼(そしゃく)・嚥下(えんげ)・発音・口唇閉鎖(口をしっかり閉じること)などの機能が適切に働くよう、定期的な評価やトレーニングを行う取り組みです。矯正治療に先立ち、もしくは並行して行うことで、以下のようなメリットが得られます。
| あごや歯列の正常な発育を促す | あごの発育や歯の生え変わりは、正しい舌の使い方や呼吸、咀嚼などの「機能」と密接に関係しています。機能面のサポートを行うことで、自然で健やかな成長を促します。 |
|---|---|
| 悪習癖(舌癖、口呼吸など)の 早期発見と改善 | 無意識に舌を前に突き出す、口がぽかんと開いているなどの癖は、歯並びや顔つきの成長に悪影響を及ぼすことがあります。早い段階で気づき、対策を取ることが大切です。 |
| 矯正治療の効果を高め、 後戻りのリスクを減らす | 矯正治療で歯並びを整えても、舌の位置や飲み込み方が不適切なままだと、歯が元の位置に戻る「後戻り」が起きやすくなります。機能面の改善を並行して行うことで、治療の安定性が高まります。 |
| 食べる・話す・飲み込むといった 口腔機能の発達を支援 | 発音が不明瞭だったり、食べ物を丸飲みしてしまうなど、普段の生活の中に見られる小さなサインを見逃さず、必要に応じてトレーニングや指導を行います。 |
| 問診・視診・触診による機能の評価 | 話し方、食べ方、口の開閉、舌や唇の動きなどを確認します。お子さまの生活習慣や気になる癖についても、保護者の方から詳しくうかがいます。 |
|---|---|
| 口腔筋機能療法 (MFT:Myofunctional Therapy) | 舌や唇、頬の筋肉をバランスよく使えるようにするトレーニングです。お子さまの年齢や習熟度に合わせて、遊び感覚で取り組めるよう工夫しています。 |
楽しく取り組める
お口のトレーニング例

実際のMFTでは、以下のような道具を使ったトレーニングを取り入れています。遊びのように楽しみながら、唇や舌、頬の筋肉を鍛えていくことができます。お子さまの健やかな成長と将来の口腔健康のためには、歯並びだけでなく、口腔機能の発達支援も大切です。
| ゴム風船 | 唇の力だけで膨らませる練習を通じて、口唇閉鎖力と鼻呼吸の習慣化を促します。 |
|---|---|
| 紙風船や吹き戻し | 離れた位置に向かって息を吹くことで、唇の形や息のコントロール力を養います。 |
| ガムトレーニング | デンタルガムを使って、舌の正しい位置や左右の筋肉バランスを意識しながら噛む・飲み込む機能を高めます。むし歯予防効果のあるノンシュガーガムを使用します。 |
| 呼吸や姿勢のアドバイス | 正しい呼吸は、口腔機能の発達にとって欠かせません。口呼吸のクセがある場合は、鼻呼吸を促すための環境づくりや姿勢改善もサポートします。 |
| ご家庭でもできる簡単な練習 | クリニックだけでなく、毎日の生活の中で続けていくことが大切です。お口の体操や正しい飲み込み方など、家でもできる練習方法をお伝えします。 |