指定自立支援医療機関(育成医療・更生医療)
顎変形症指定医療機関(顎口腔機能診断認定施設)

0120-447-100
CASES 症例別にみる矯正治療 We contribute to the oral and physical health of our patients
through high-quality orthodontic treatment.

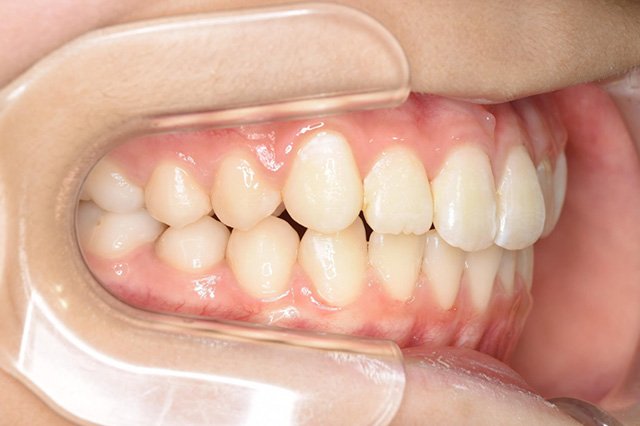
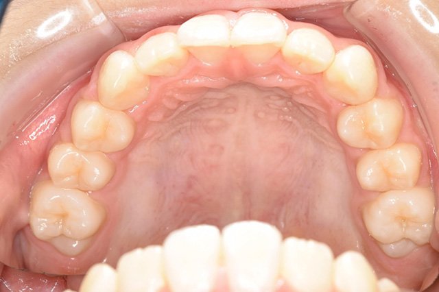
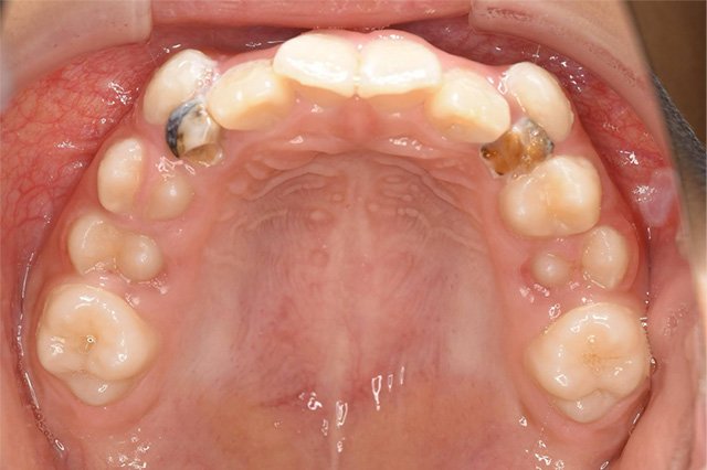
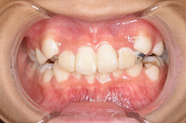
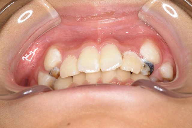
子どもの矯正治療|症例_39 Case

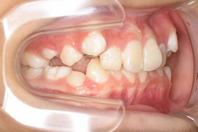
ビフォー
子どもの矯正治療|症例_39
子どもの矯正治療|症例_39
子どもの矯正治療|症例_39
子どもの矯正治療|症例_39
子どもの矯正治療|症例_39
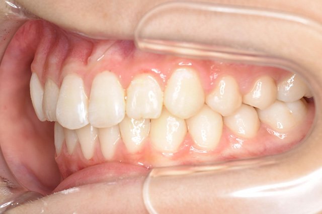
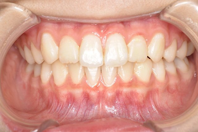
アフター
子どもの矯正治療|症例_39
子どもの矯正治療|症例_39
子どもの矯正治療|症例_39
子どもの矯正治療|症例_39
子どもの矯正治療|症例_39
主訴 永久歯が変な所からはえてきている|顎が小さい|歯並びが悪い
施術内容 上顎急速拡大装置と下顎リンガルアーチを用いて上下顎骨を拡大した。
その後マウスピース型矯正装置で歯牙を配列し良好な咬合を獲得した。
治癒期間 1年5ヶ月間
費用 【検査料】32,400円(税込)
【診断料】32,400円(税込)
【1期治療着手料】324,000円(税込)
【調節料・経過観察料】5,500円×12回(税込)
合計金額454,800円(税込)
リスク・副作用 痛みを伴う
前の症例へ一覧へ戻る

お気軽にどうぞ お問い合わせ・ご予約 CONTACT

電話受付時間
10:30-13:00、14:00-18:00

24時間WEB予約
0120-447-100 アクセス 24時間WEB予約