指定自立支援医療機関(育成医療・更生医療)
顎変形症指定医療機関(顎口腔機能診断認定施設)

0120-447-100
CASES 症例別にみる矯正治療 We contribute to the oral and physical health of our patients
through high-quality orthodontic treatment.

ワイヤー矯正治療|症例_009 Case

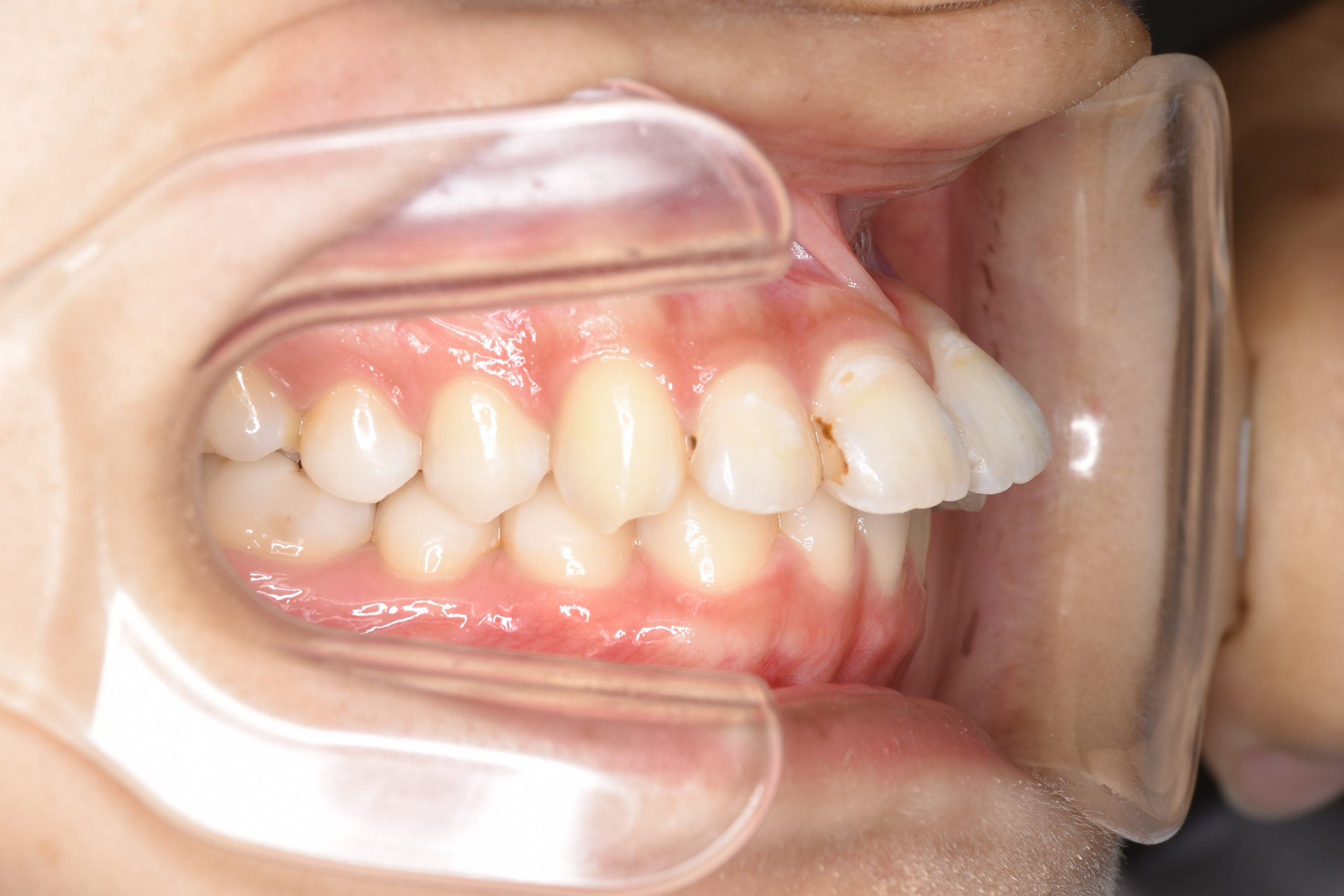
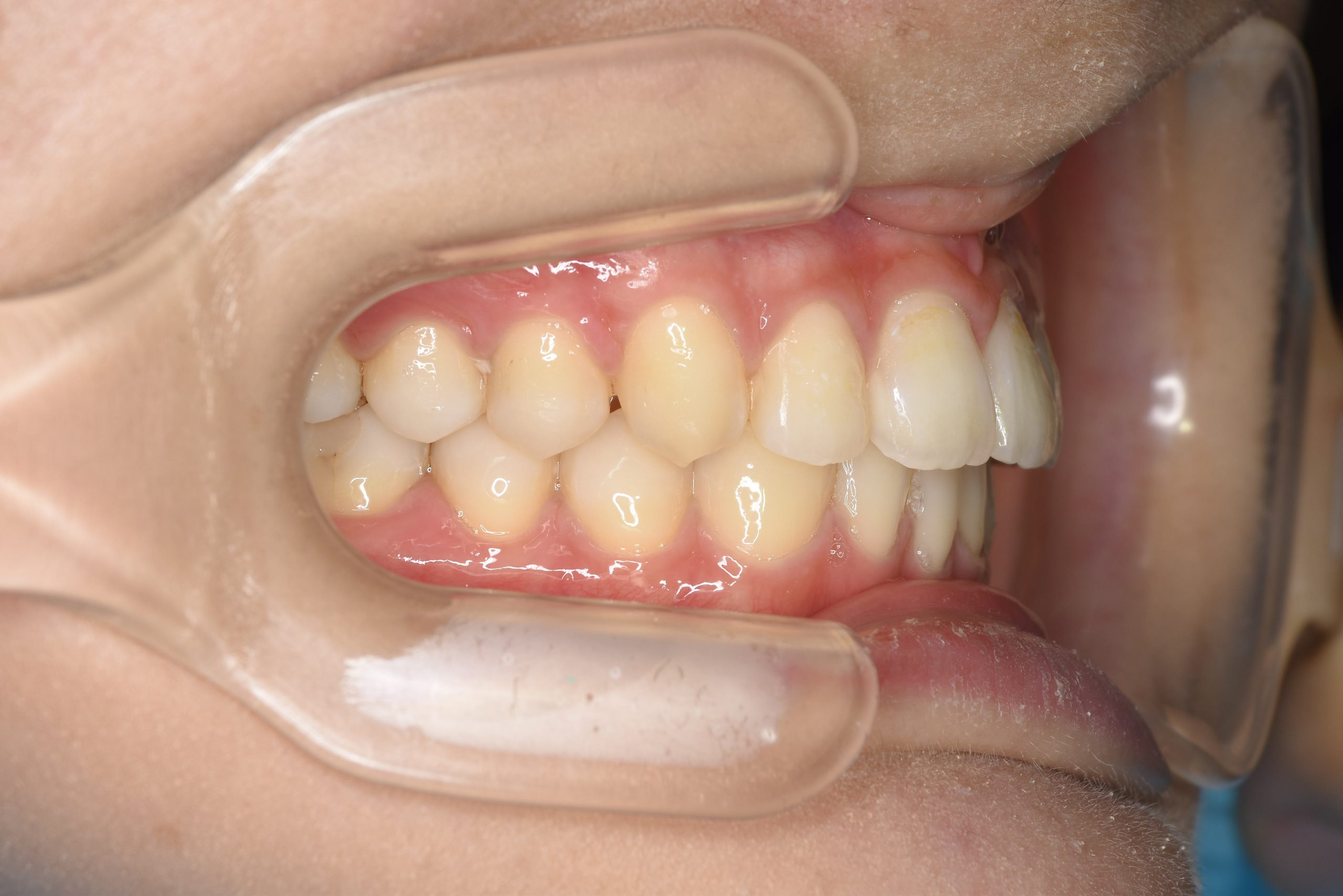
ビフォー
ワイヤー矯正治療|症例_009
ワイヤー矯正治療|症例_009
ワイヤー矯正治療|症例_009
ワイヤー矯正治療|症例_009
ワイヤー矯正治療|症例_009
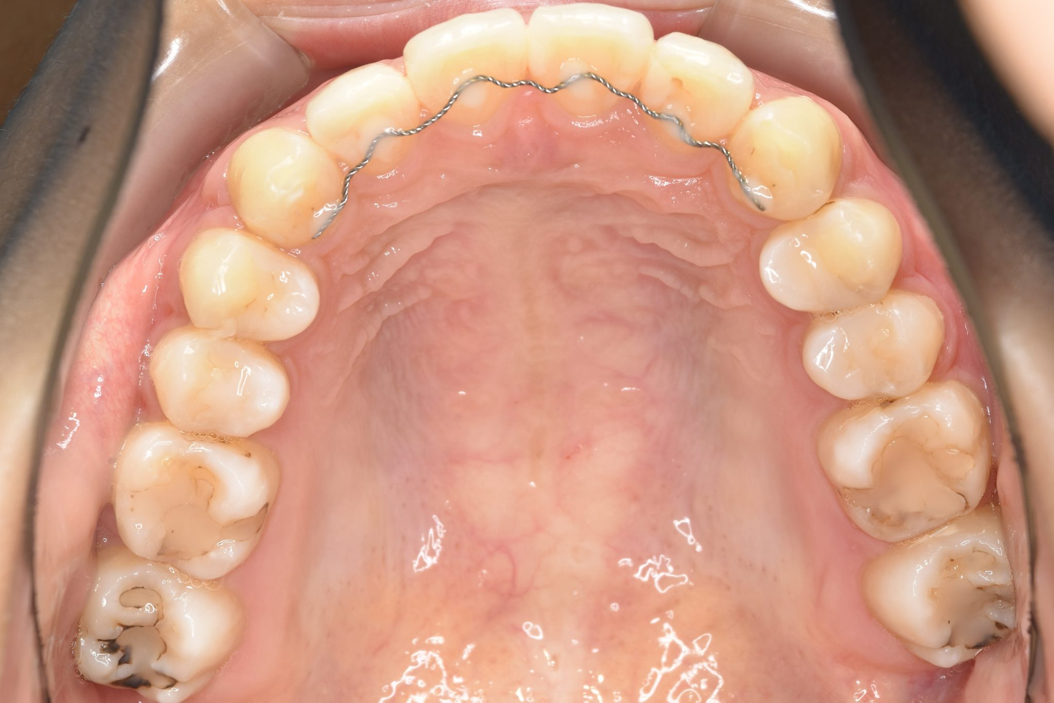
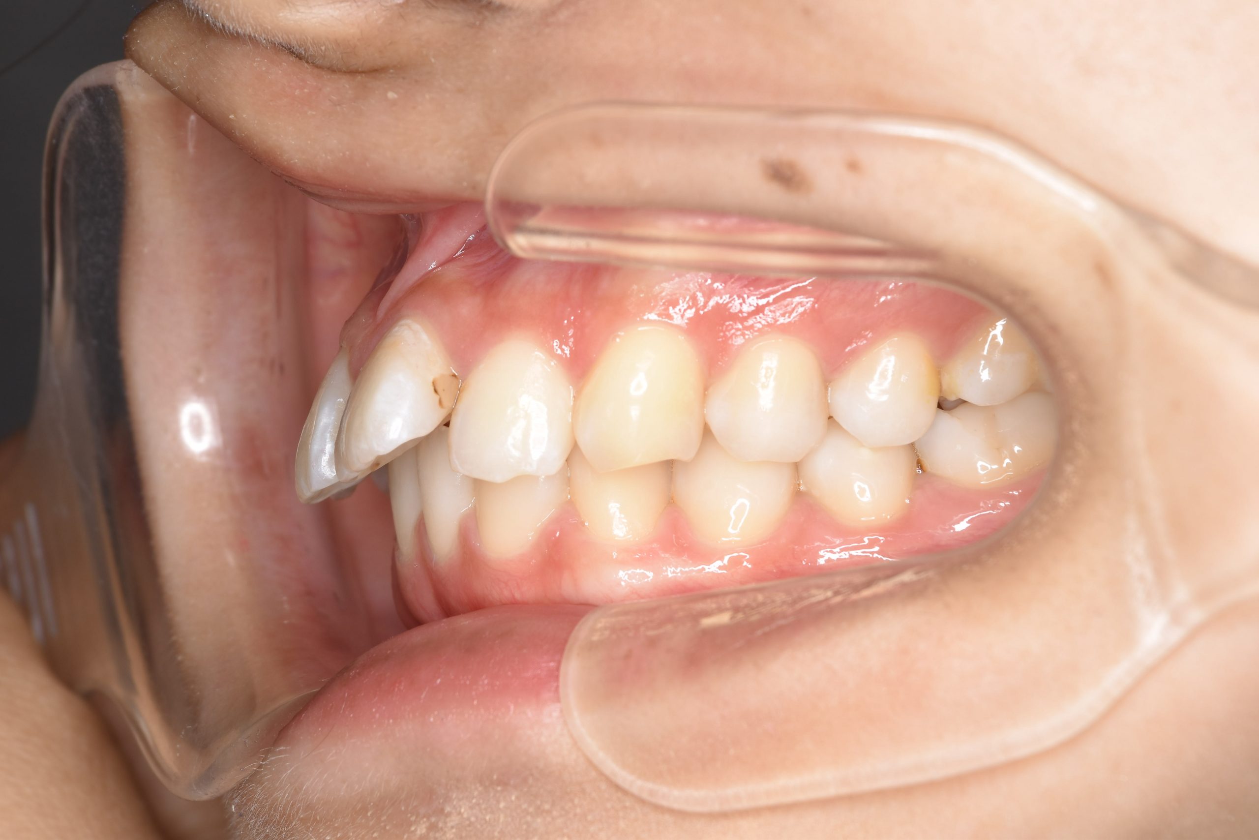
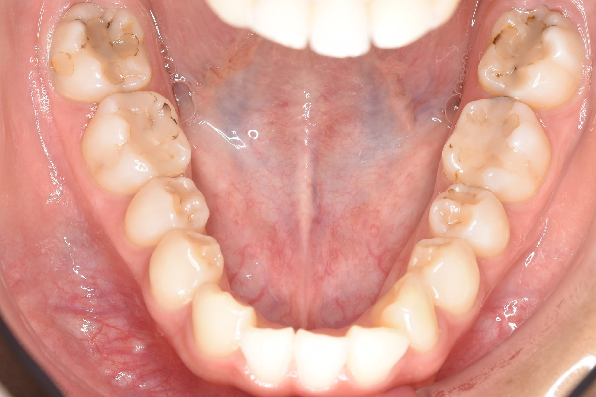
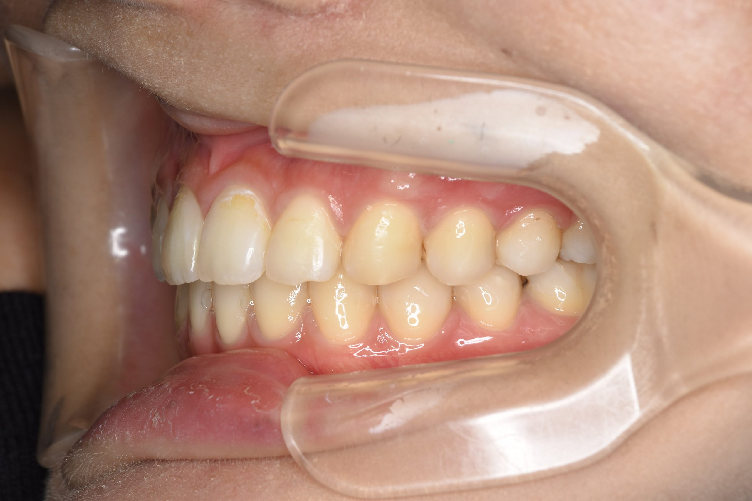
アフター
ワイヤー矯正治療|症例_009
ワイヤー矯正治療|症例_009
ワイヤー矯正治療|症例_009
ワイヤー矯正治療|症例_009
ワイヤー矯正治療|症例_009
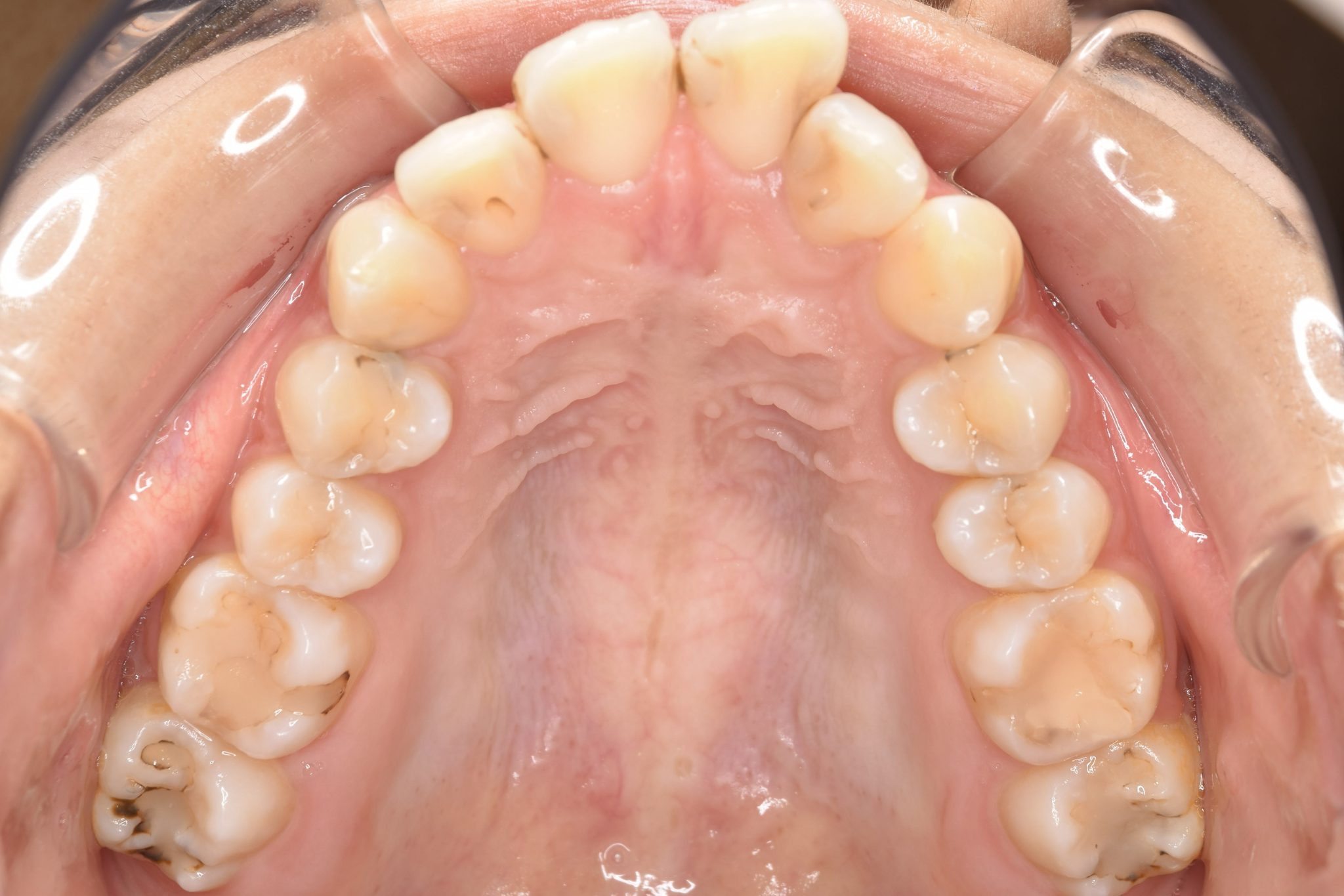
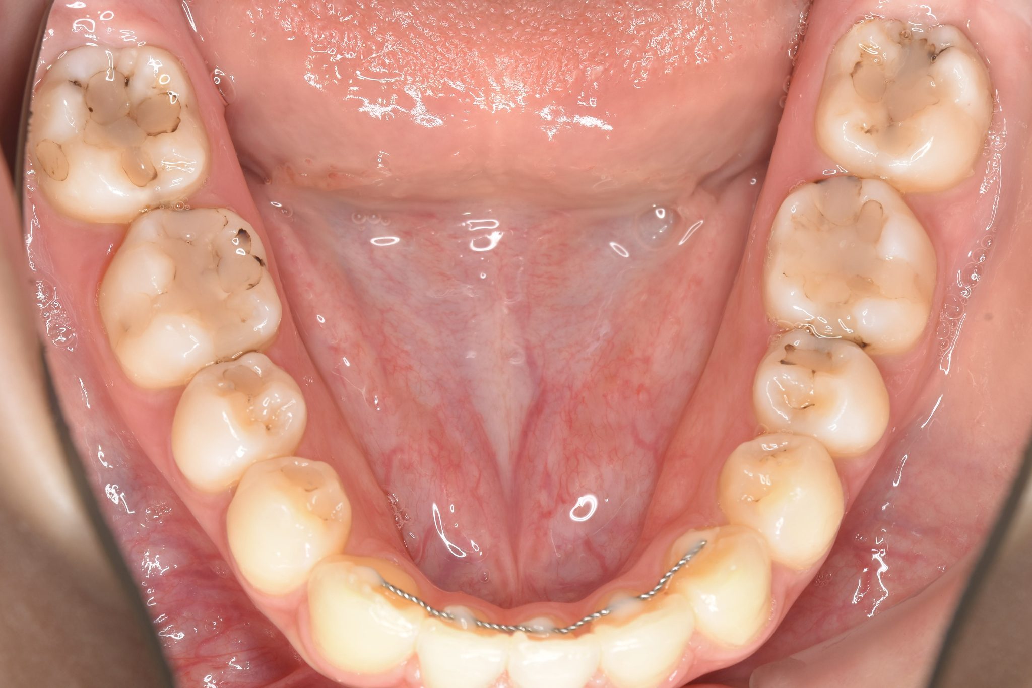
主訴 出っ歯
施術内容 MSEと下顎リンガルアーチを用いて上下顎骨を拡大した。
その後マルチブラケット装置とミニインプラントを用いて非抜歯で歯牙を配列した。
下顎前歯が1本先天性欠損であったが、良好な咬合を獲得した。口元の突出感と鼻閉症状は改善された。
治癒期間 2年3ヶ月間
費用 【検査料】43,200円(税込)
【診断料】44,000円(税込)
【2期治療着手料】777,600円(税込)
【調節料】5,500円×17回(税込)
合計金額958,300円(税込)
リスク・副作用 違和感、不快感、痛み
前の症例へ一覧へ戻る次の症例へ

お気軽にどうぞ お問い合わせ・ご予約 CONTACT

電話受付時間
10:30-13:00、14:00-18:00

24時間WEB予約
0120-447-100 アクセス 24時間WEB予約