指定自立支援医療機関(育成医療・更生医療)
顎変形症指定医療機関(顎口腔機能診断認定施設)

0120-447-100
CASES 症例別にみる矯正治療 We contribute to the oral and physical health of our patients
through high-quality orthodontic treatment.

ワイヤー矯正治療|症例_252 Case

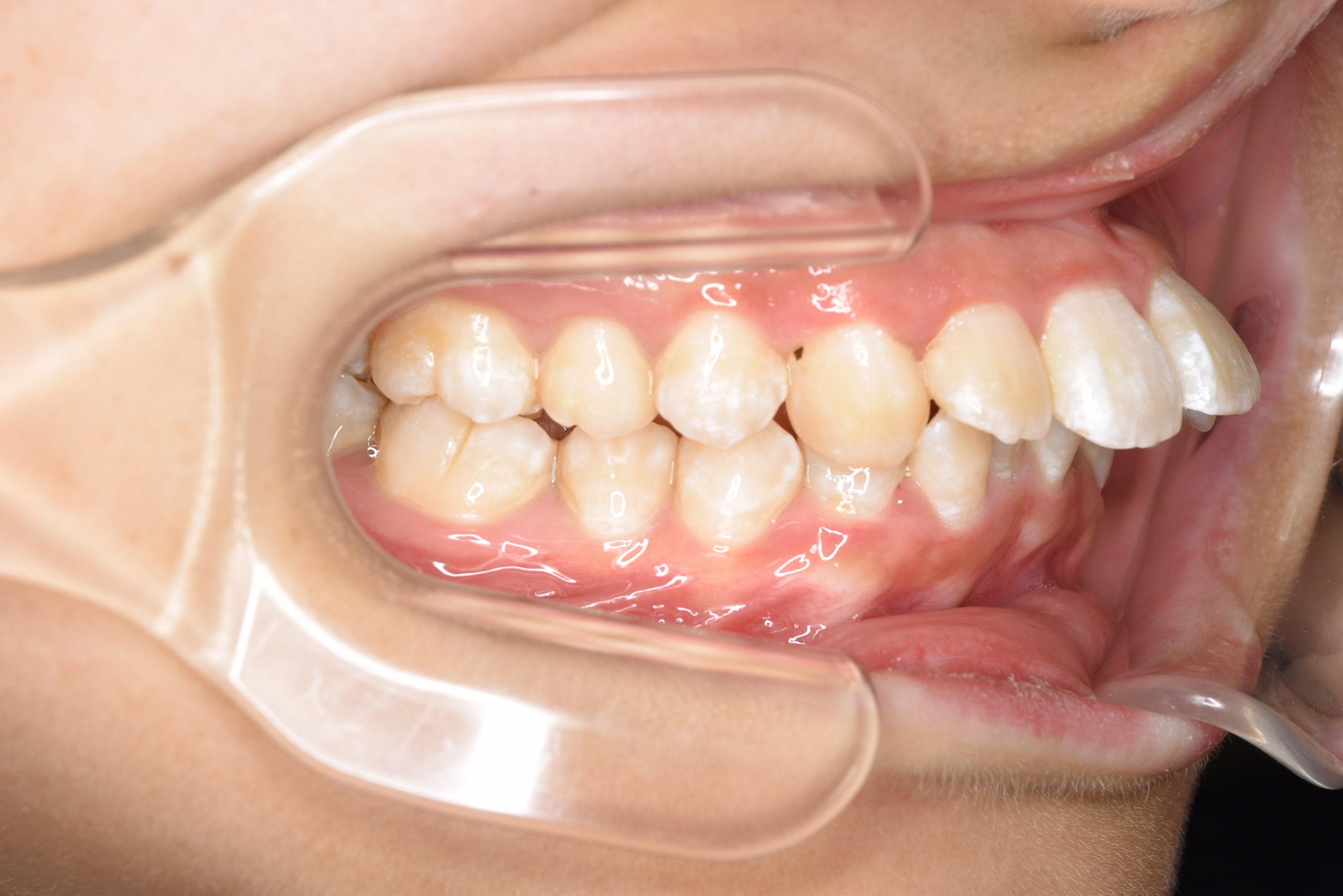
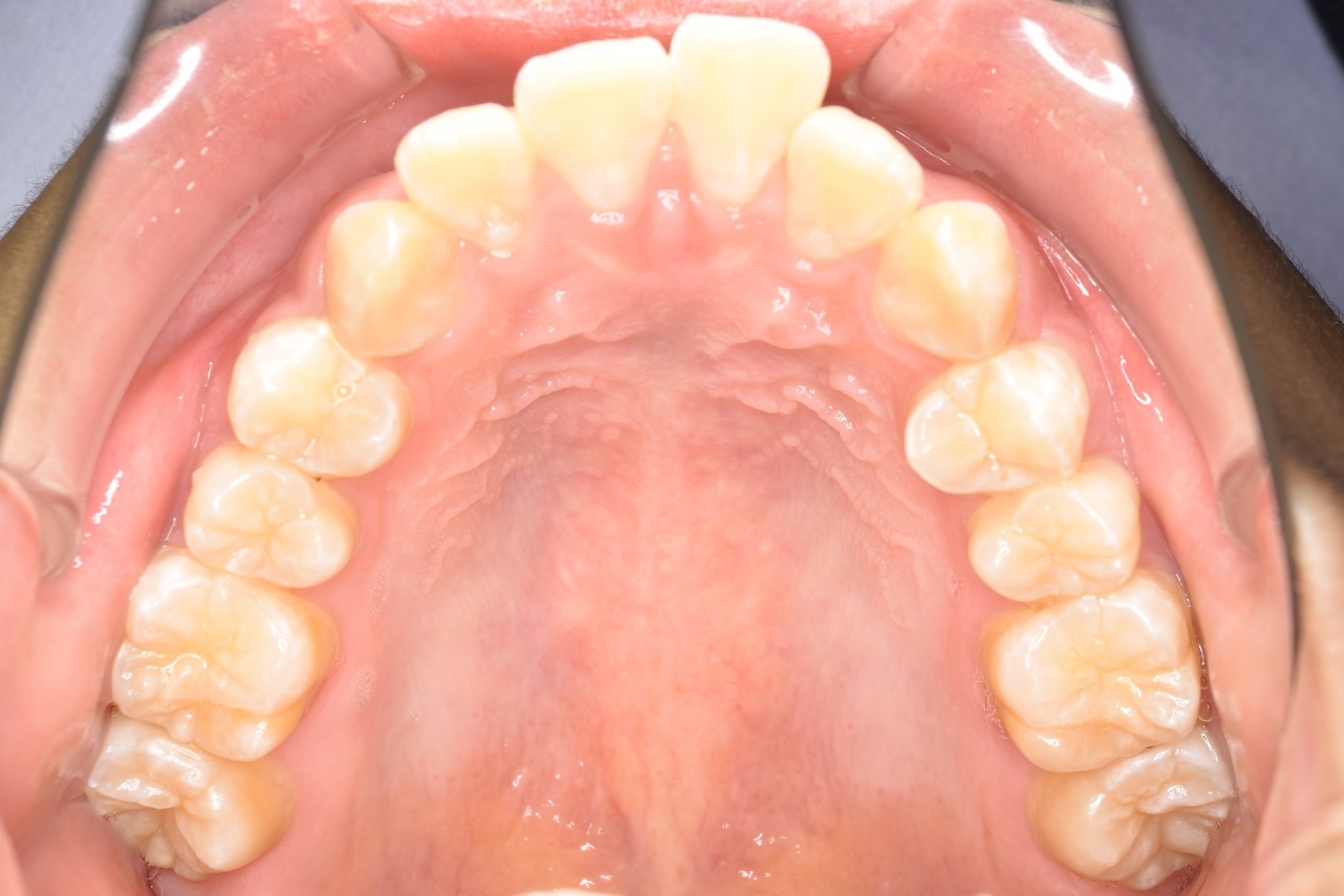
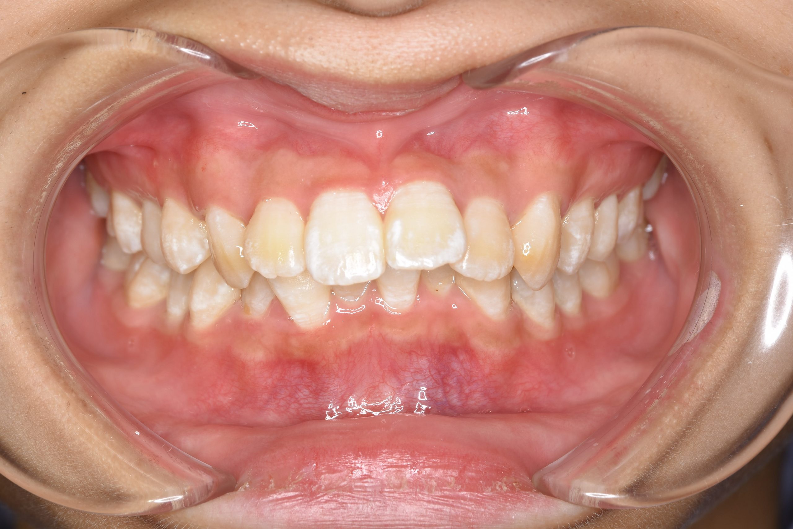
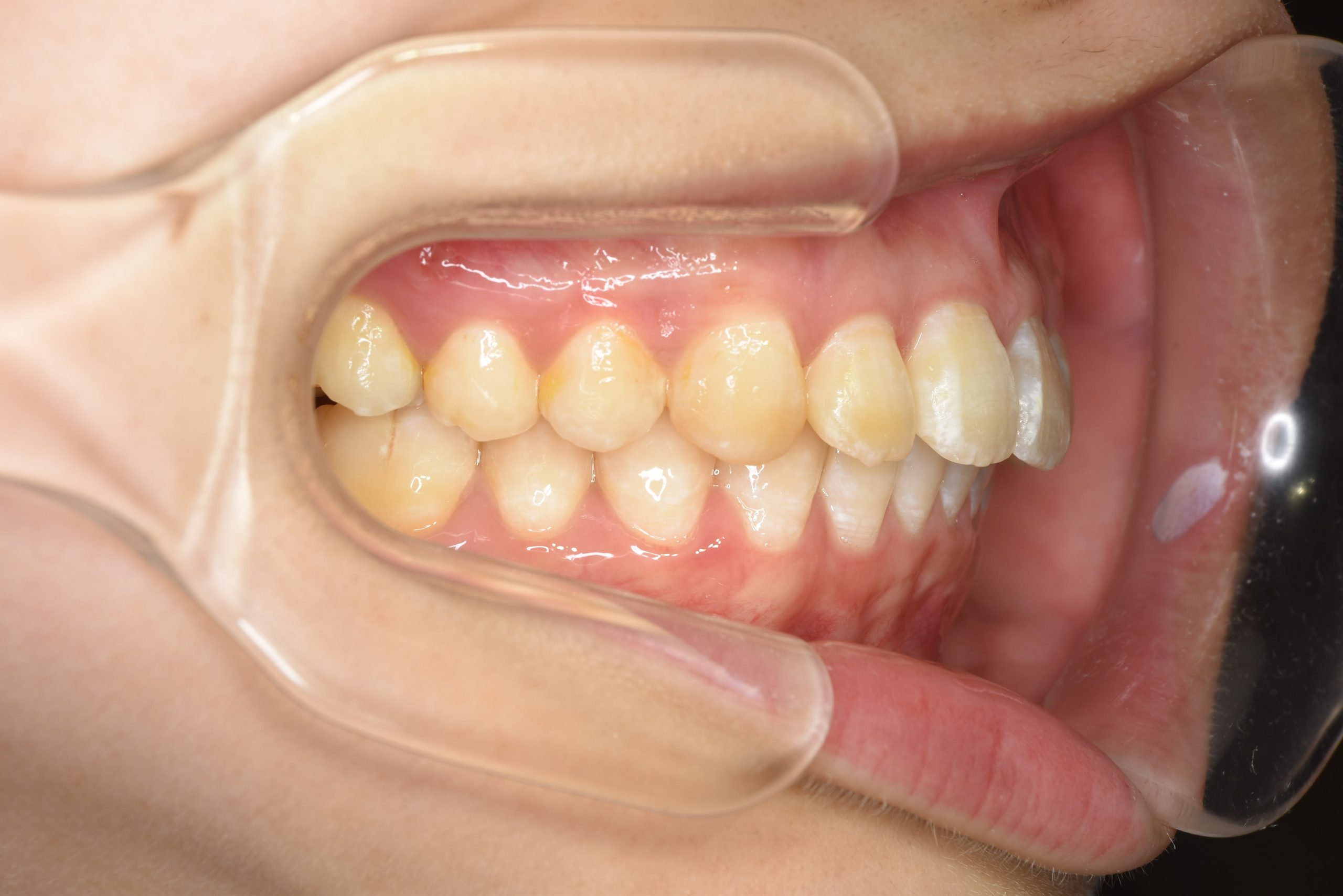
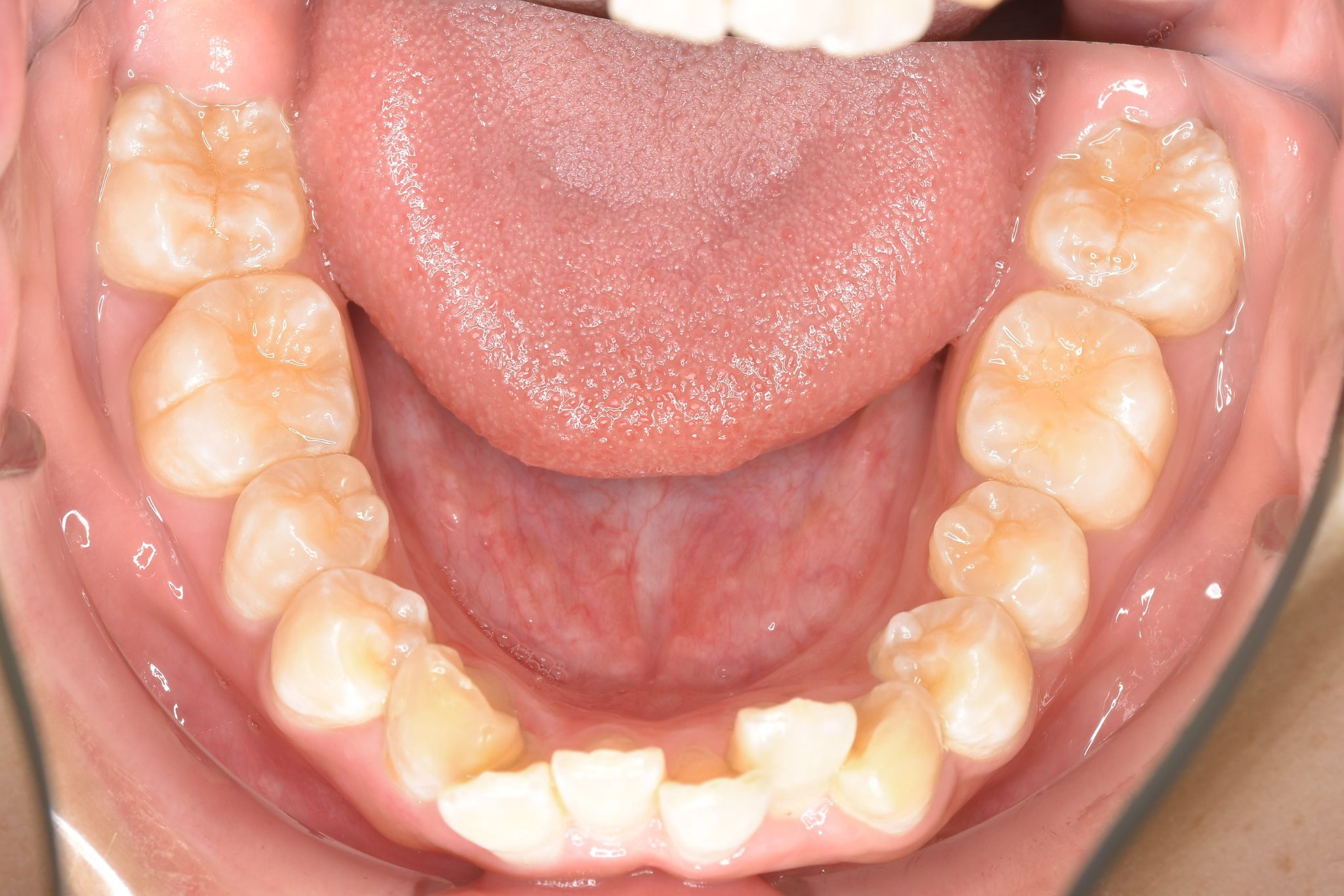
ビフォー
ワイヤー矯正治療|症例_252
ワイヤー矯正治療|症例_252
ワイヤー矯正治療|症例_252
ワイヤー矯正治療|症例_252
ワイヤー矯正治療|症例_252
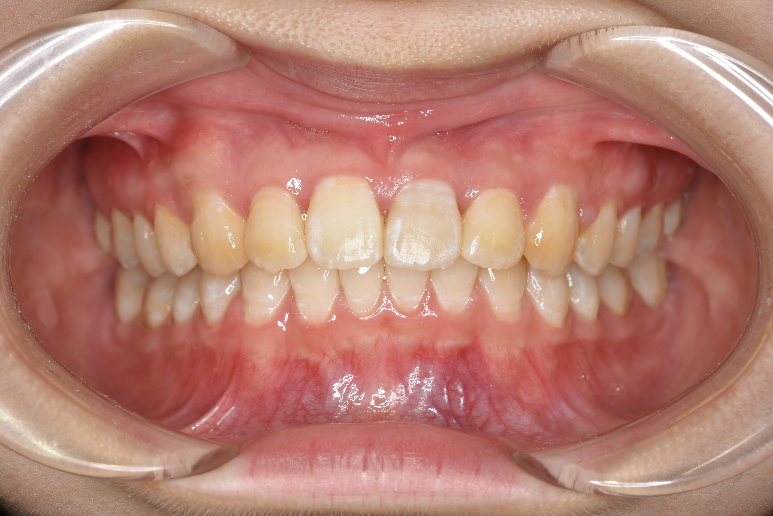
アフター
ワイヤー矯正治療|症例_252
ワイヤー矯正治療|症例_252
ワイヤー矯正治療|症例_252
ワイヤー矯正治療|症例_252
ワイヤー矯正治療|症例_252
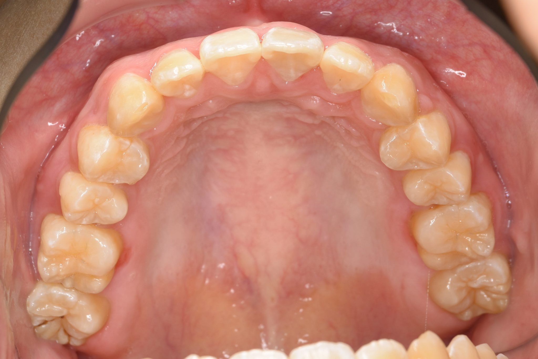
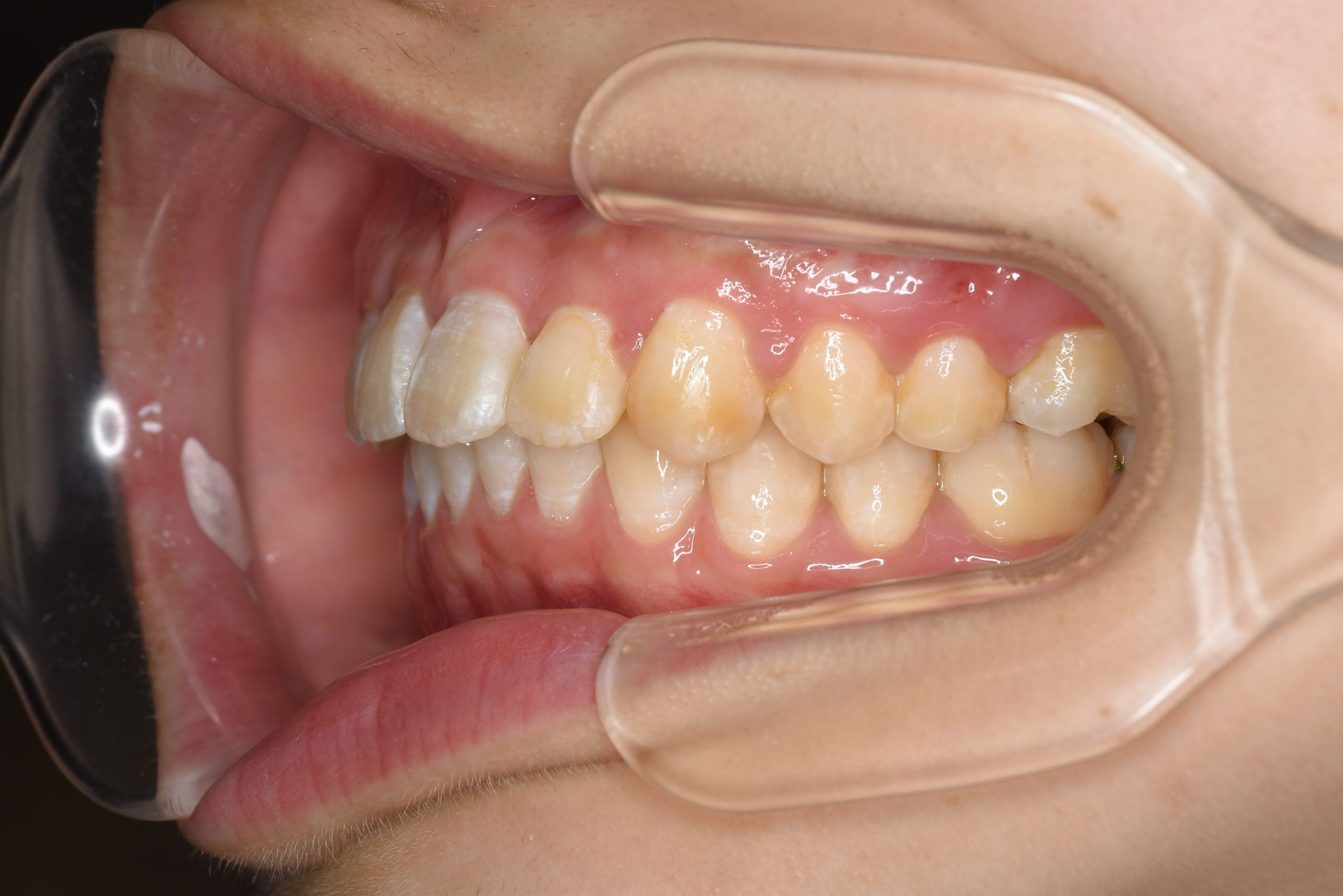
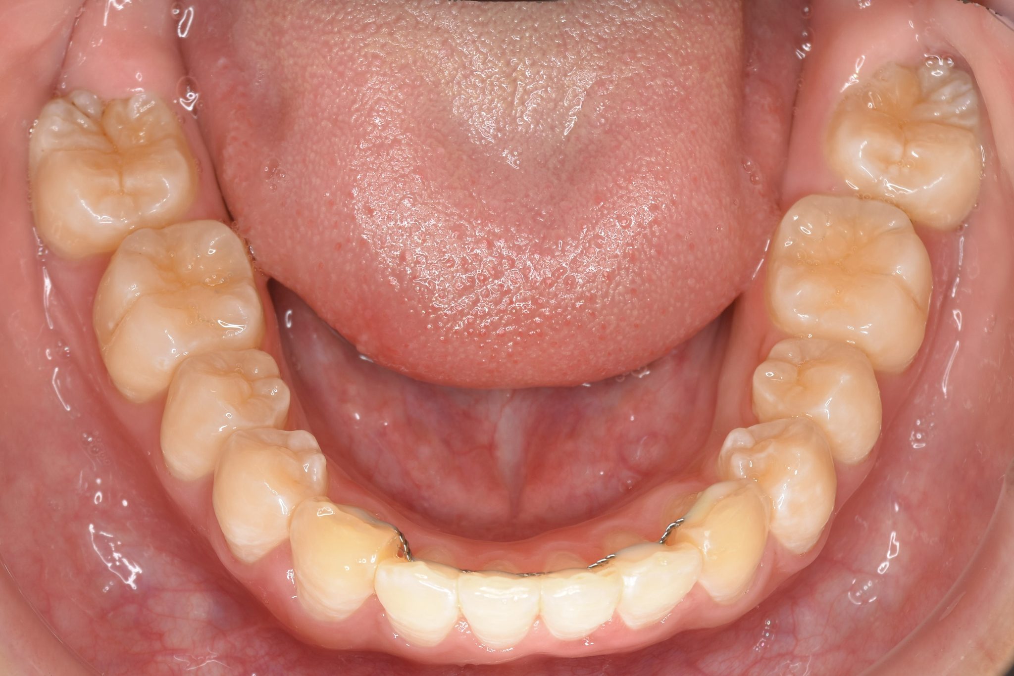
主訴 出っ歯
施術内容 【検査料】44,000円(税込)
【診断料】22,000円(税込)
【2期治療着手料】792,000円(税込)
【調節料】5,500円×20回(税込)
合計金額968,000円(税込)
治癒期間 2年2ヶ月間
費用 上顎急速拡大装置と下顎リンガルアーチを用いて上下顎骨を拡大した。
その後マルチブラケット装置とミニインプラントを用いて非抜歯で歯牙を配列し、良好な咬合を獲得した。
口元の突出感と鼻閉症状は改善された。
リスク・副作用 違和感、不快感、痛み
前の症例へ一覧へ戻る次の症例へ

お気軽にどうぞ お問い合わせ・ご予約 CONTACT

電話受付時間
10:30-13:00、14:00-18:00

24時間WEB予約
0120-447-100 アクセス 24時間WEB予約