指定自立支援医療機関(育成医療・更生医療)
顎変形症指定医療機関(顎口腔機能診断認定施設)

0120-447-100
CASES 症例別にみる矯正治療 We contribute to the oral and physical health of our patients
through high-quality orthodontic treatment.

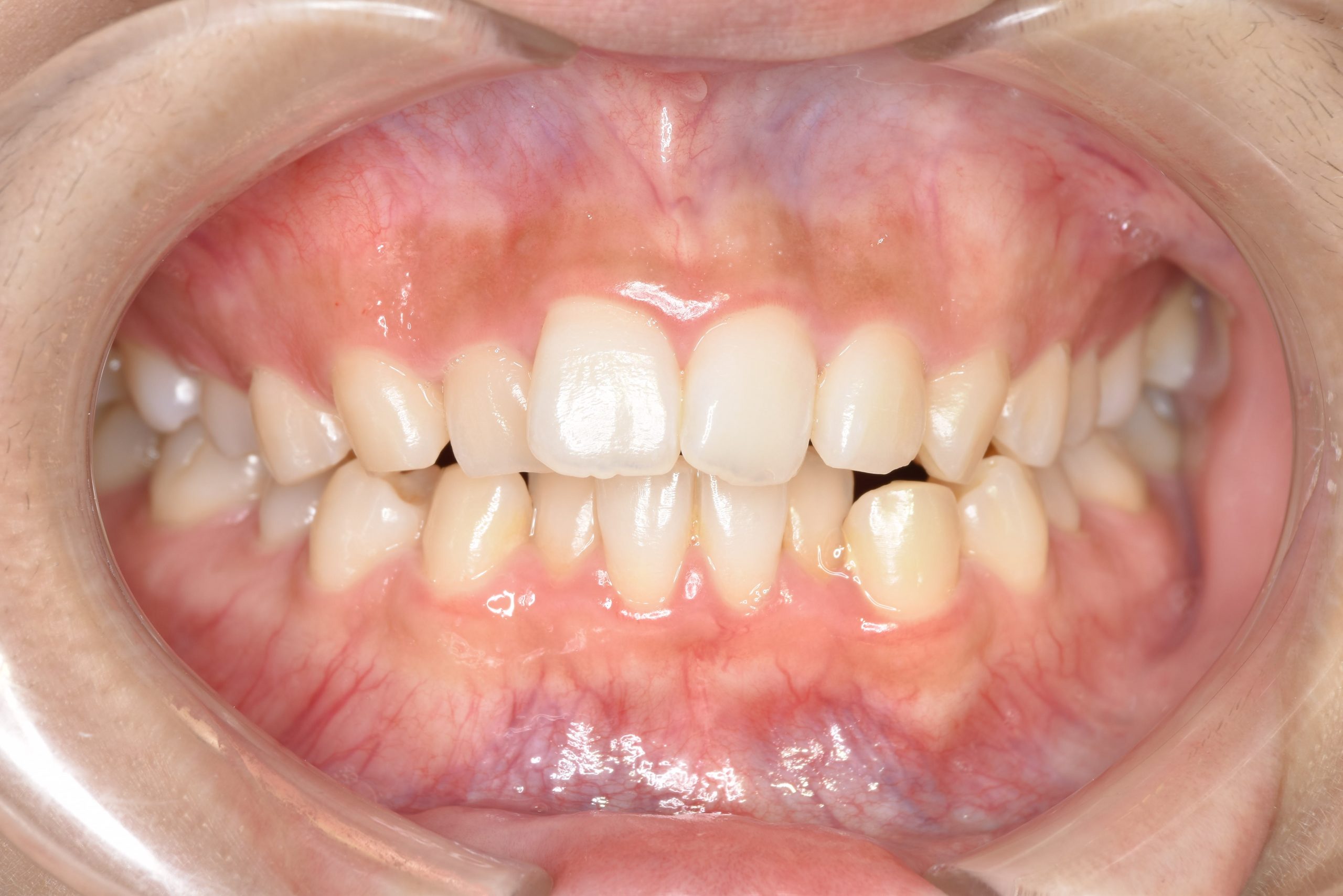
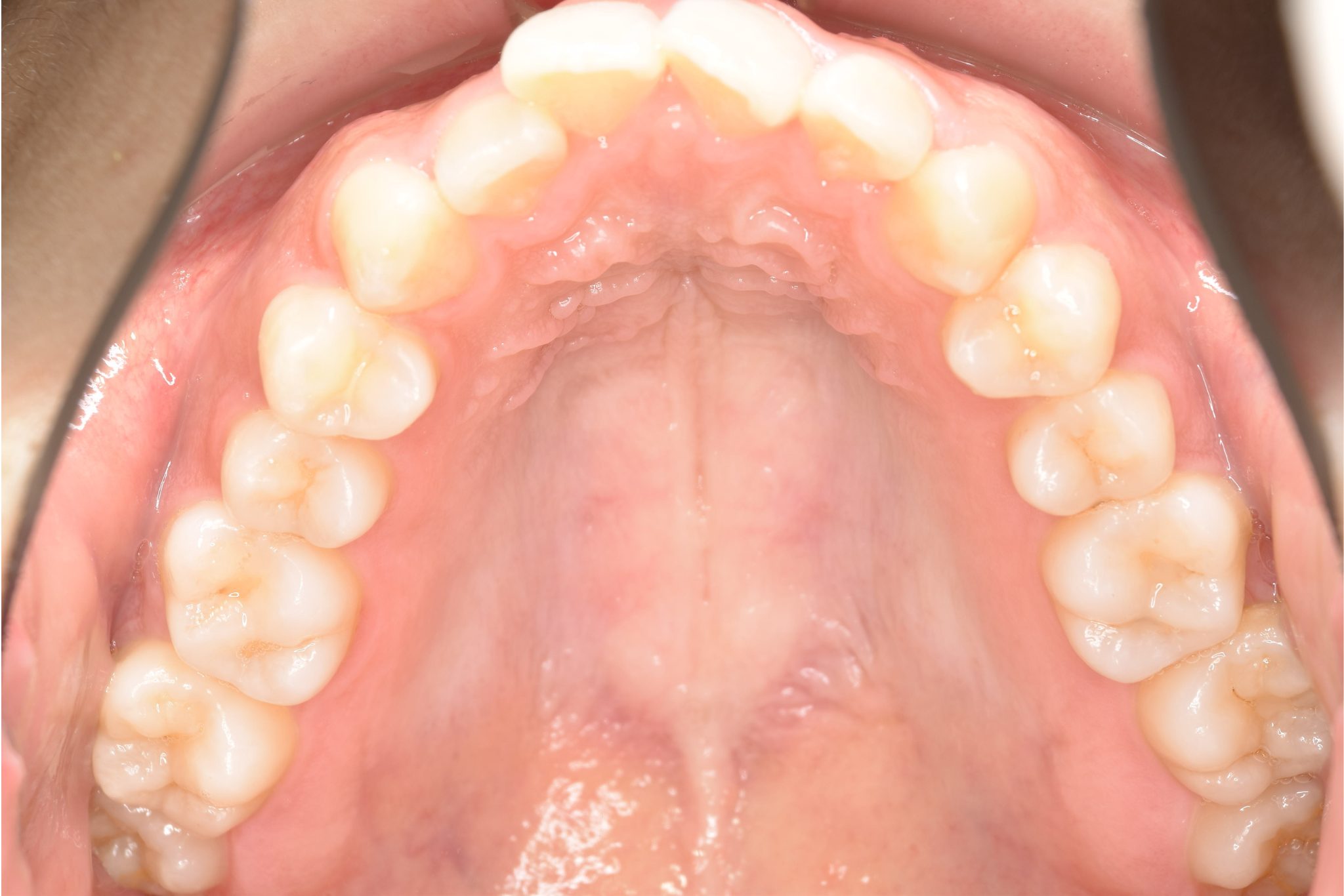
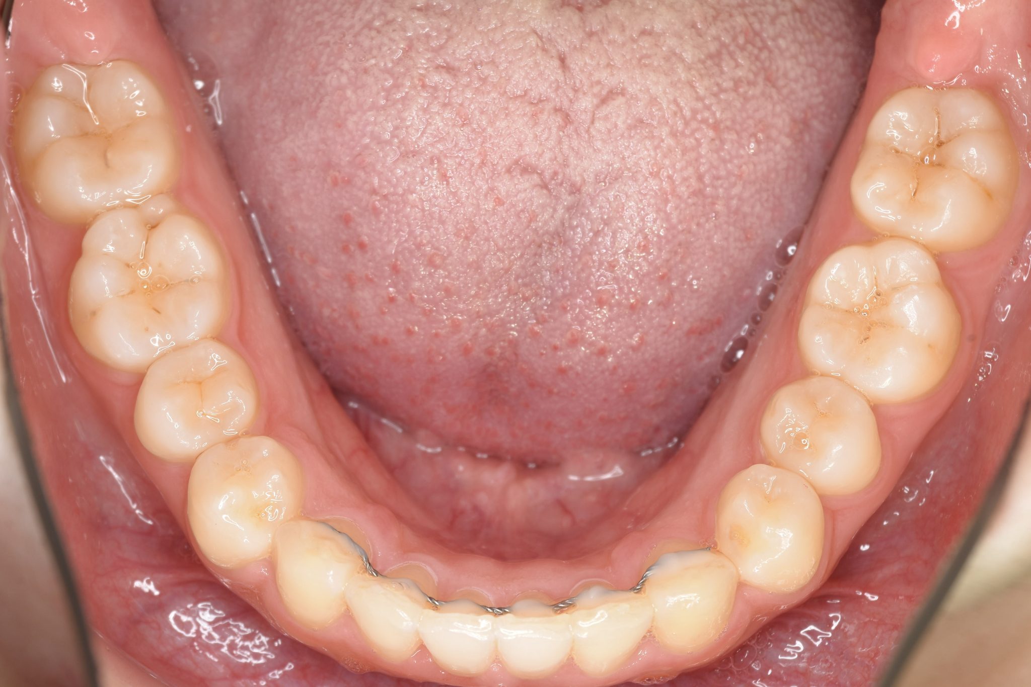
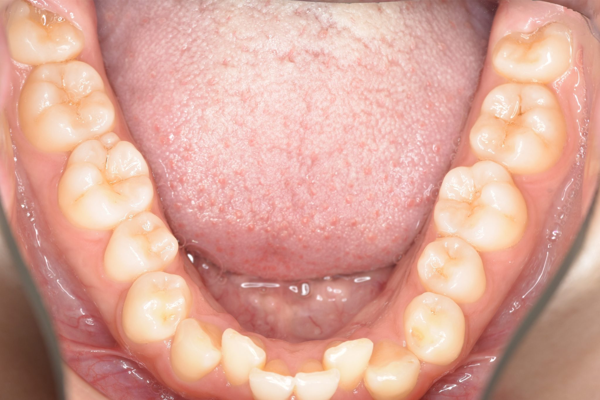
インビザライン矯正治療|症例_315 Case

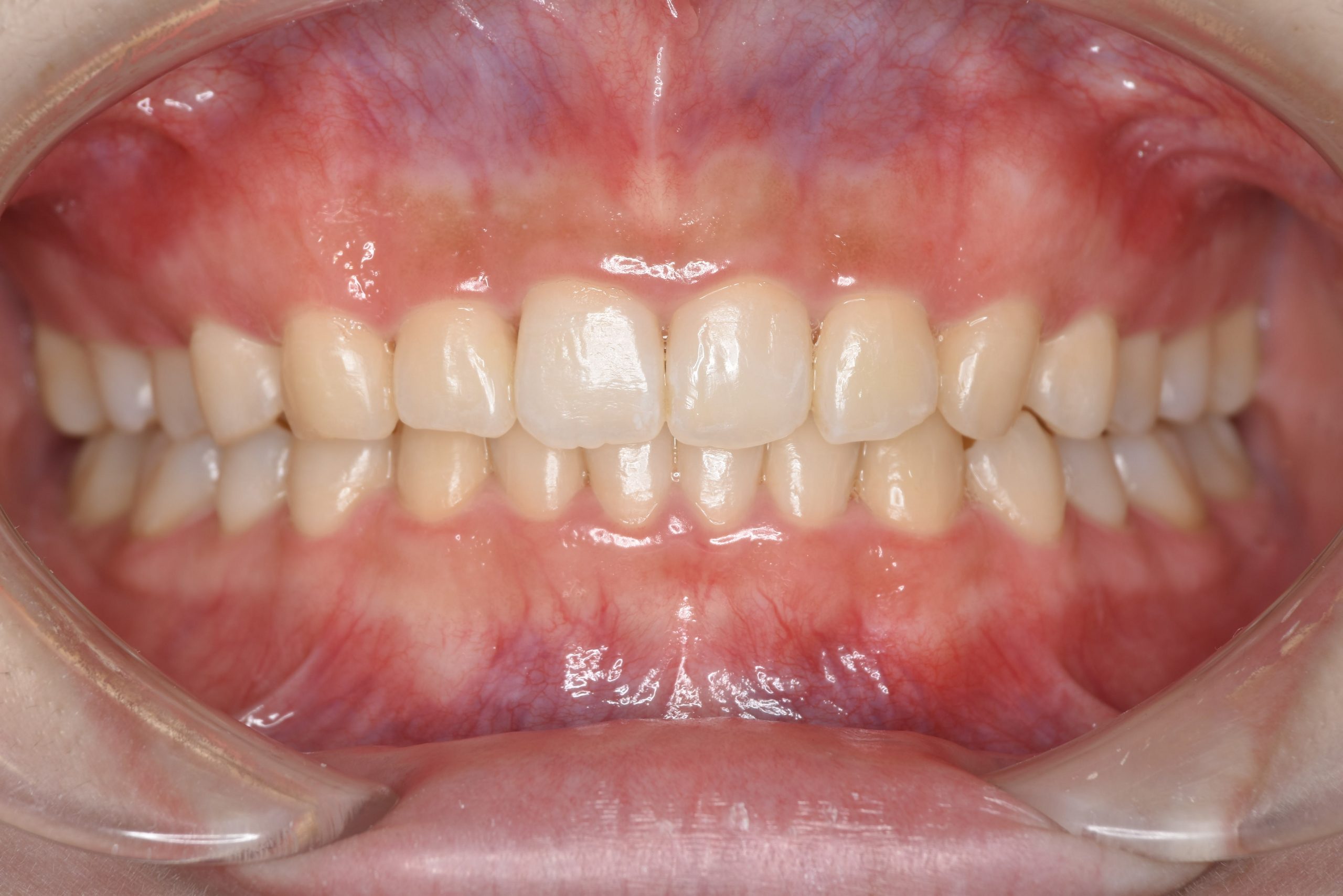
ビフォー
インビザライン矯正治療|症例_315
インビザライン矯正治療|症例_315
インビザライン矯正治療|症例_315
インビザライン矯正治療|症例_315
インビザライン矯正治療|症例_315
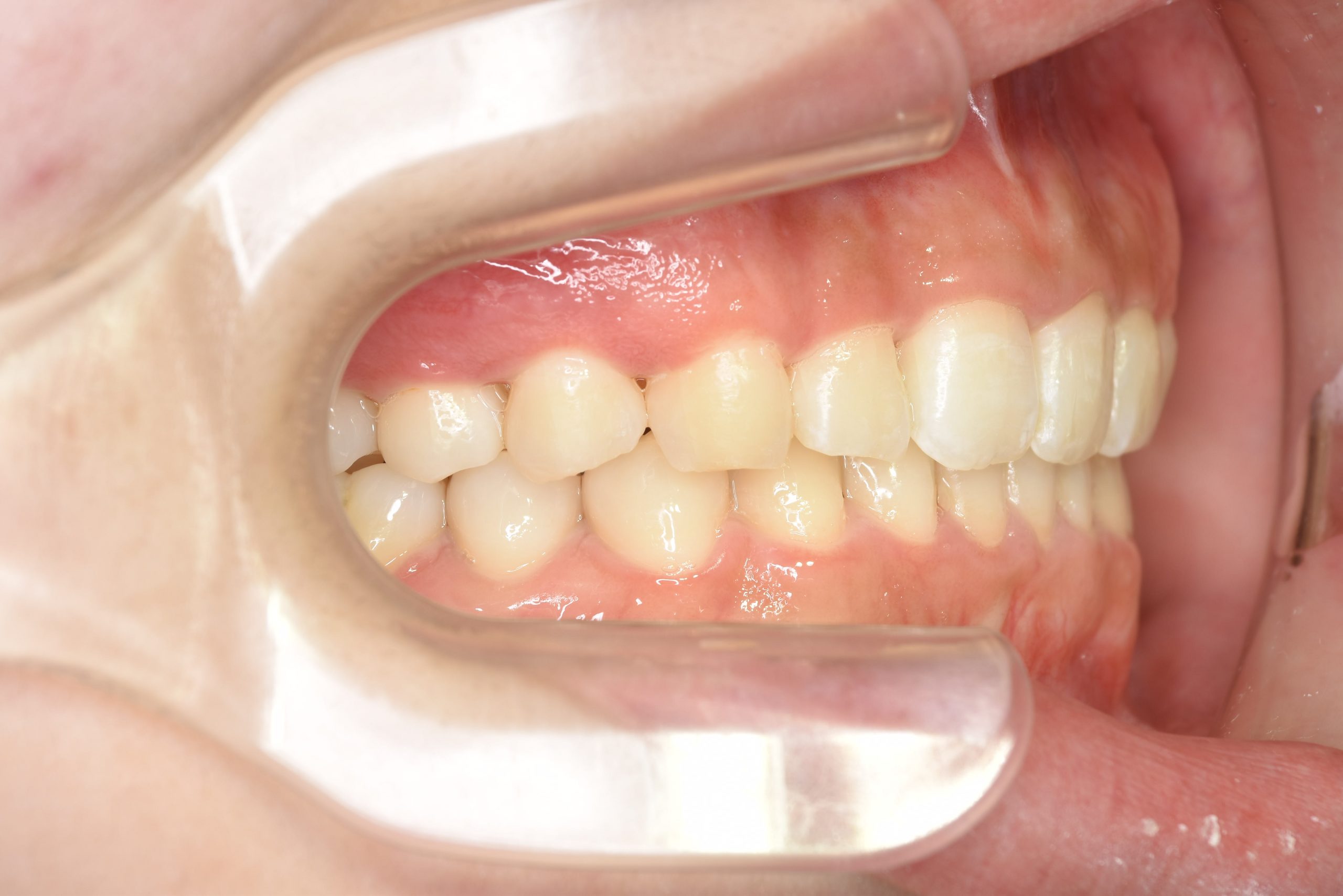
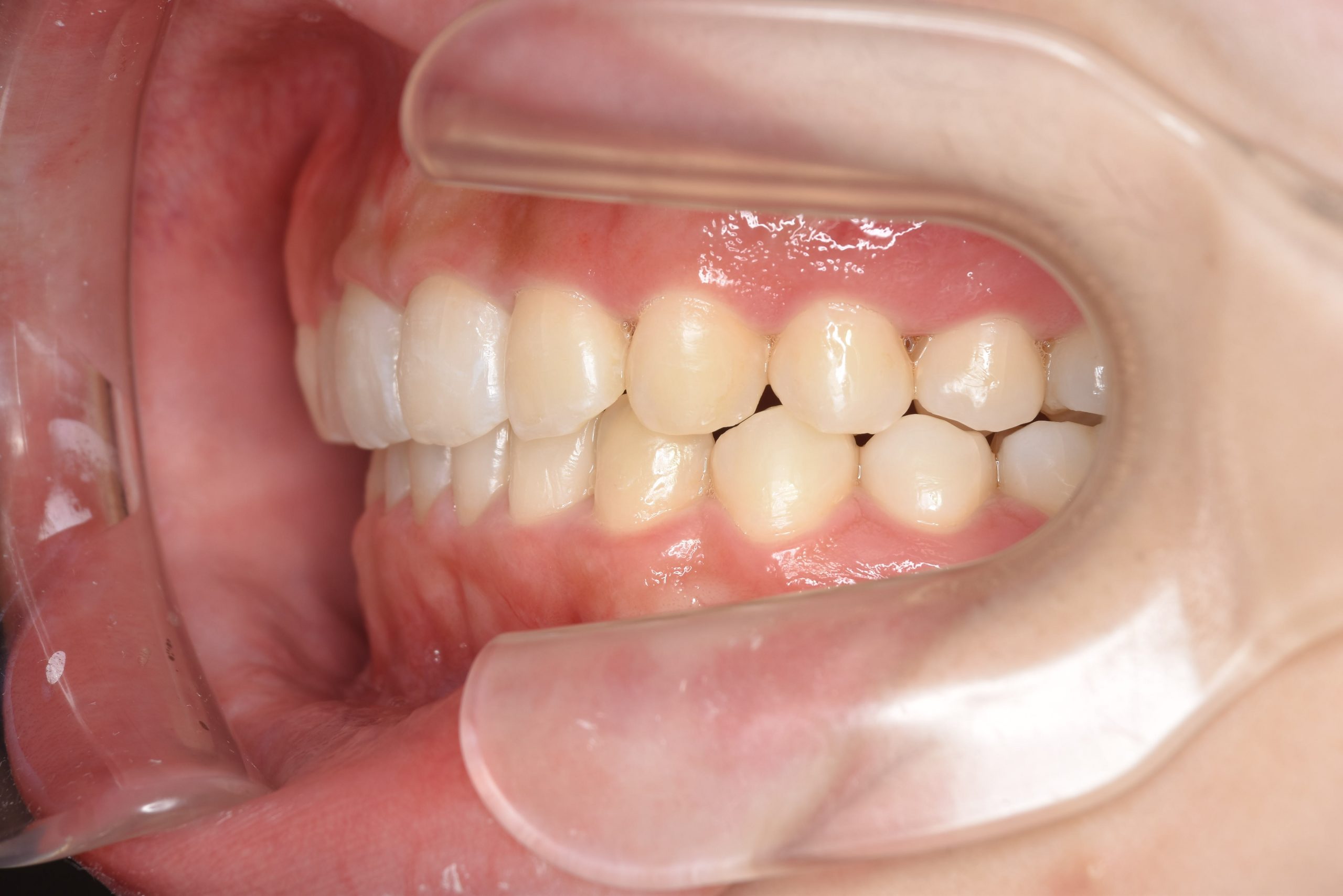
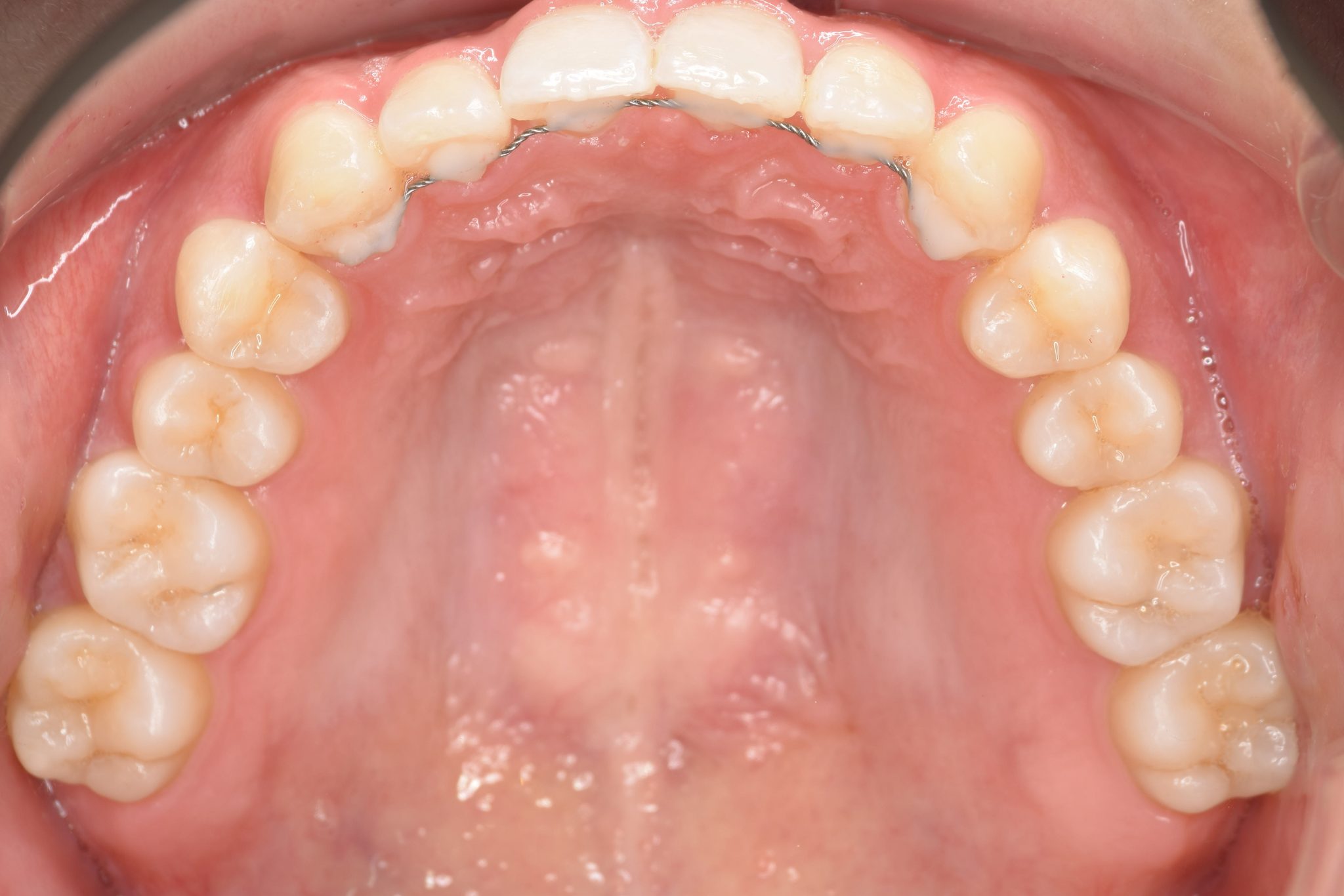
アフター
インビザライン矯正治療|症例_315
インビザライン矯正治療|症例_315
インビザライン矯正治療|症例_315
インビザライン矯正治療|症例_315
インビザライン矯正治療|症例_315
主訴 食べ物を前歯で噛み切れない|上顎の右側の歯が重なっている|下の歯がガタガタ
施術内容 MSEと下顎リンガルアーチを用いて上下顎骨を拡大した。
その後アライナー型矯正装置(インビザライン)を用いて非抜歯で歯牙を配列した。
口元の突出感、鼻閉症状、鼾は改善された。
治癒期間 1年6ヶ月間
費用 【検査料】27,500円(税込)
【診断料】27,500円(税込)
【2期治療着手料】868,000円(税込)
【調節料】5,500円×13回(税込)
合計金額994,500円(税込)
リスク・副作用 違和感、不快感、痛み
前の症例へ一覧へ戻る次の症例へ

お気軽にどうぞ お問い合わせ・ご予約 CONTACT

電話受付時間
10:30-13:00、14:00-18:00

24時間WEB予約
0120-447-100 アクセス 24時間WEB予約