指定自立支援医療機関(育成医療・更生医療)
顎変形症指定医療機関(顎口腔機能診断認定施設)

0120-447-100
CASES 症例別にみる矯正治療 We contribute to the oral and physical health of our patients
through high-quality orthodontic treatment.

ワイヤー矯正治療|症例_349 Case

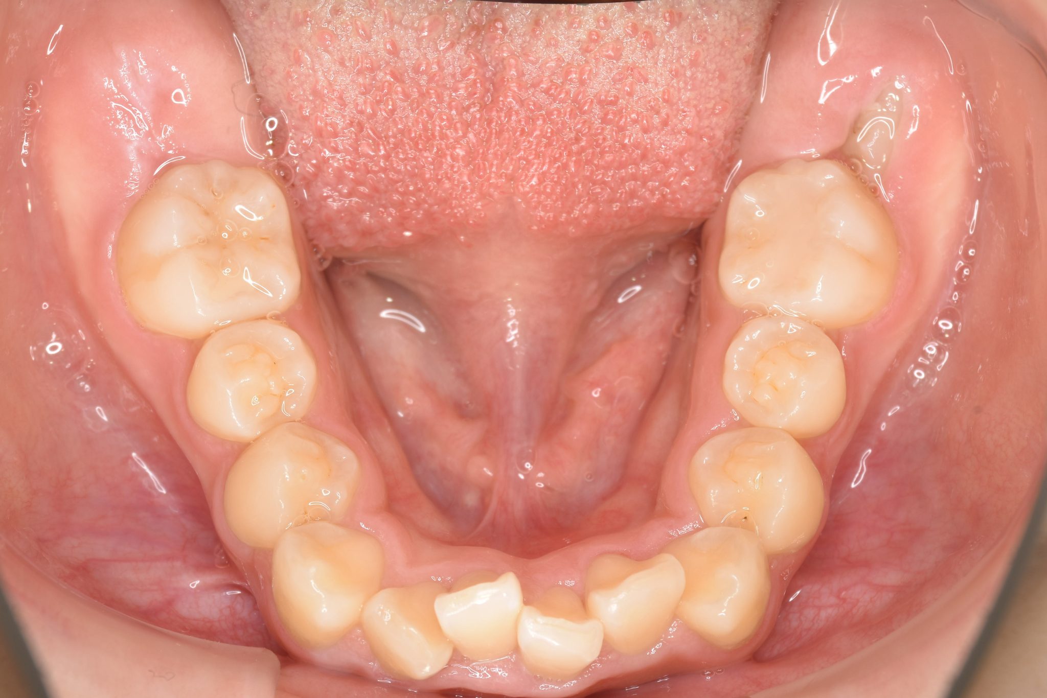
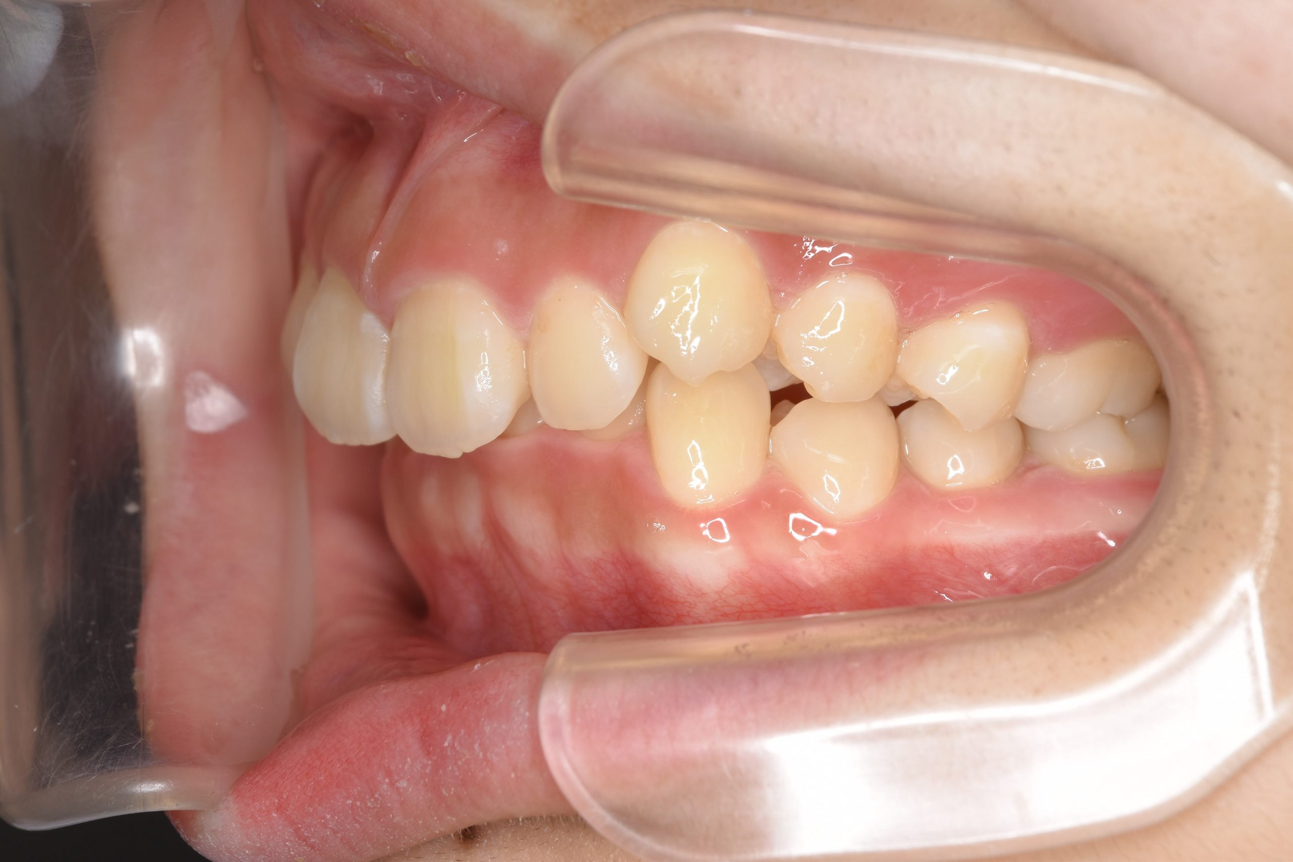
ビフォー
ワイヤー矯正治療|症例_349
ワイヤー矯正治療|症例_349
ワイヤー矯正治療|症例_349
ワイヤー矯正治療|症例_349
ワイヤー矯正治療|症例_349
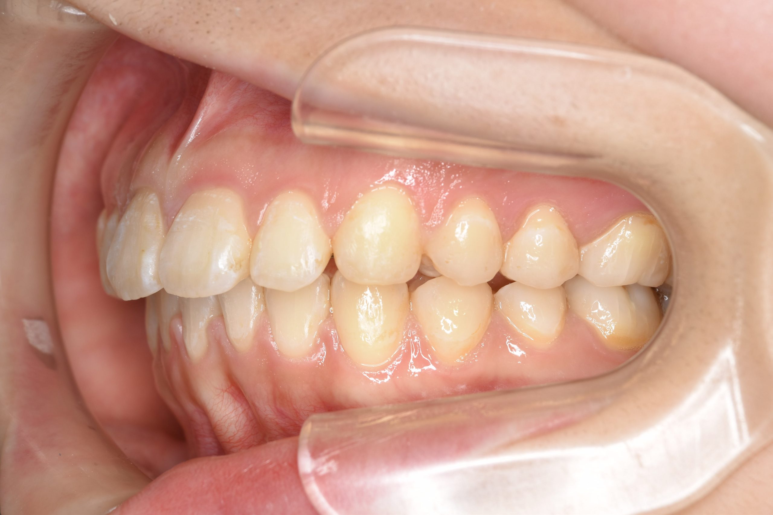
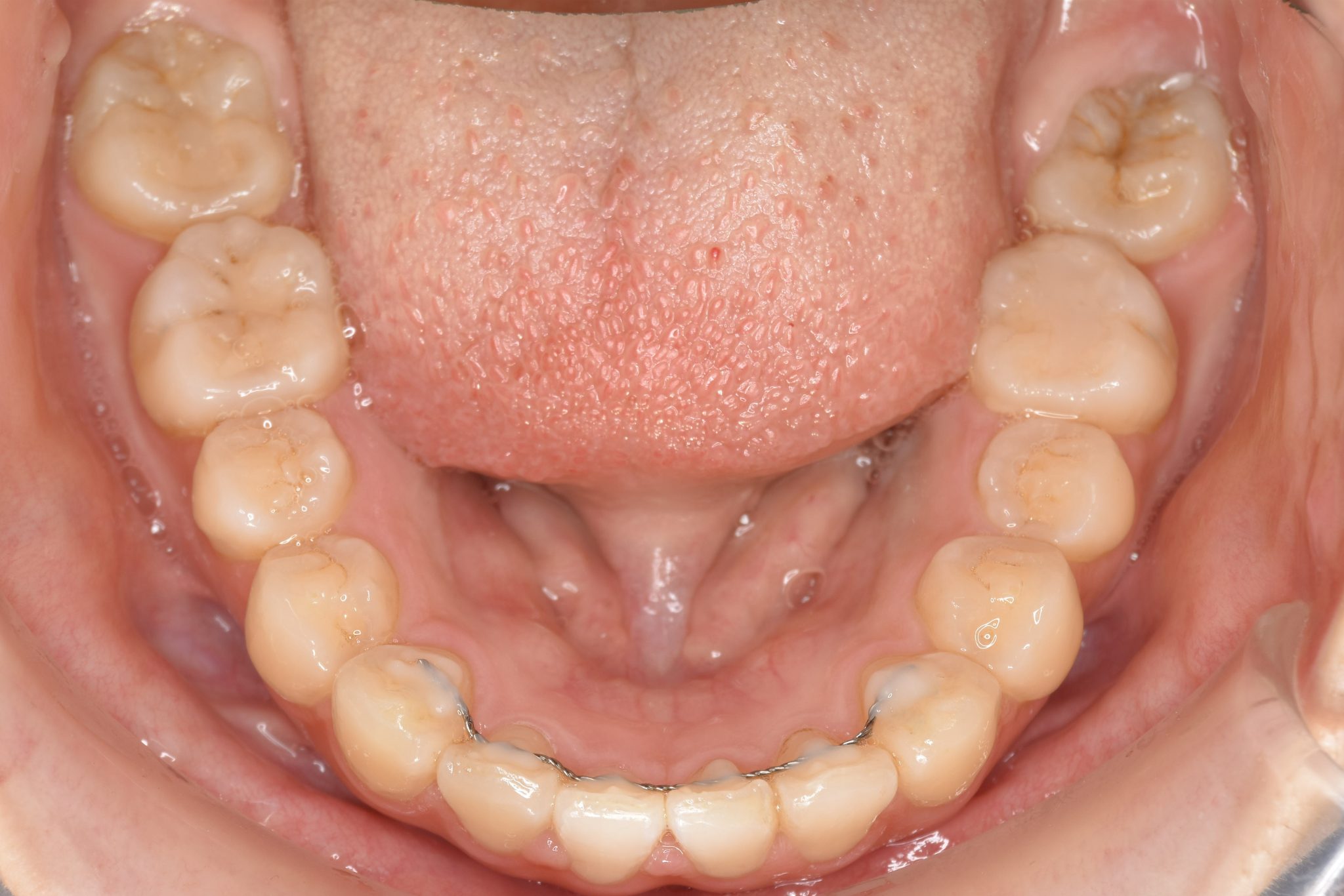
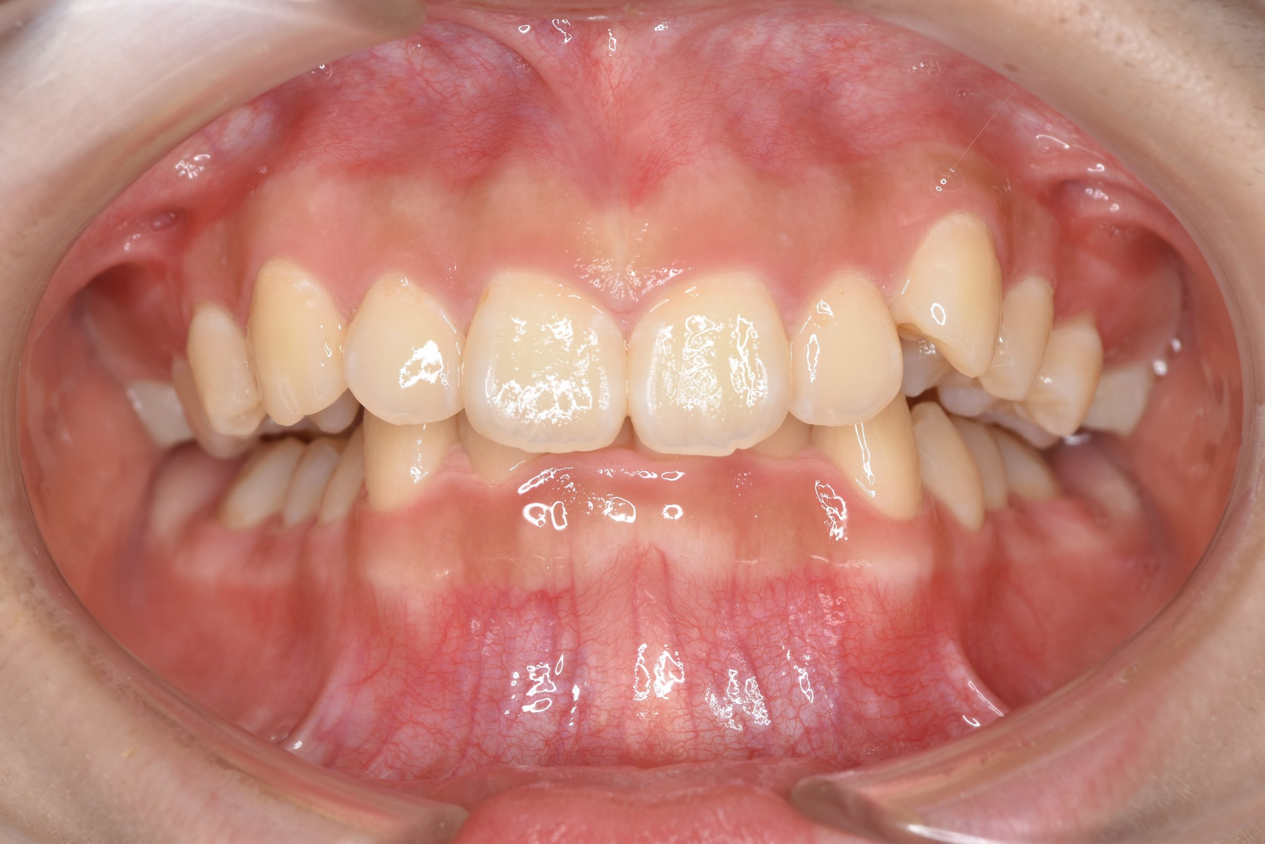
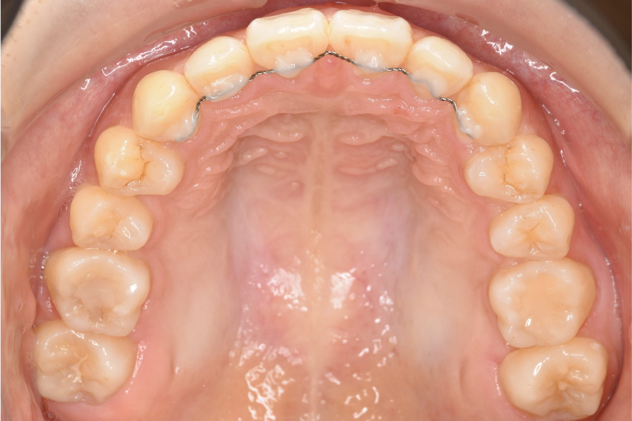
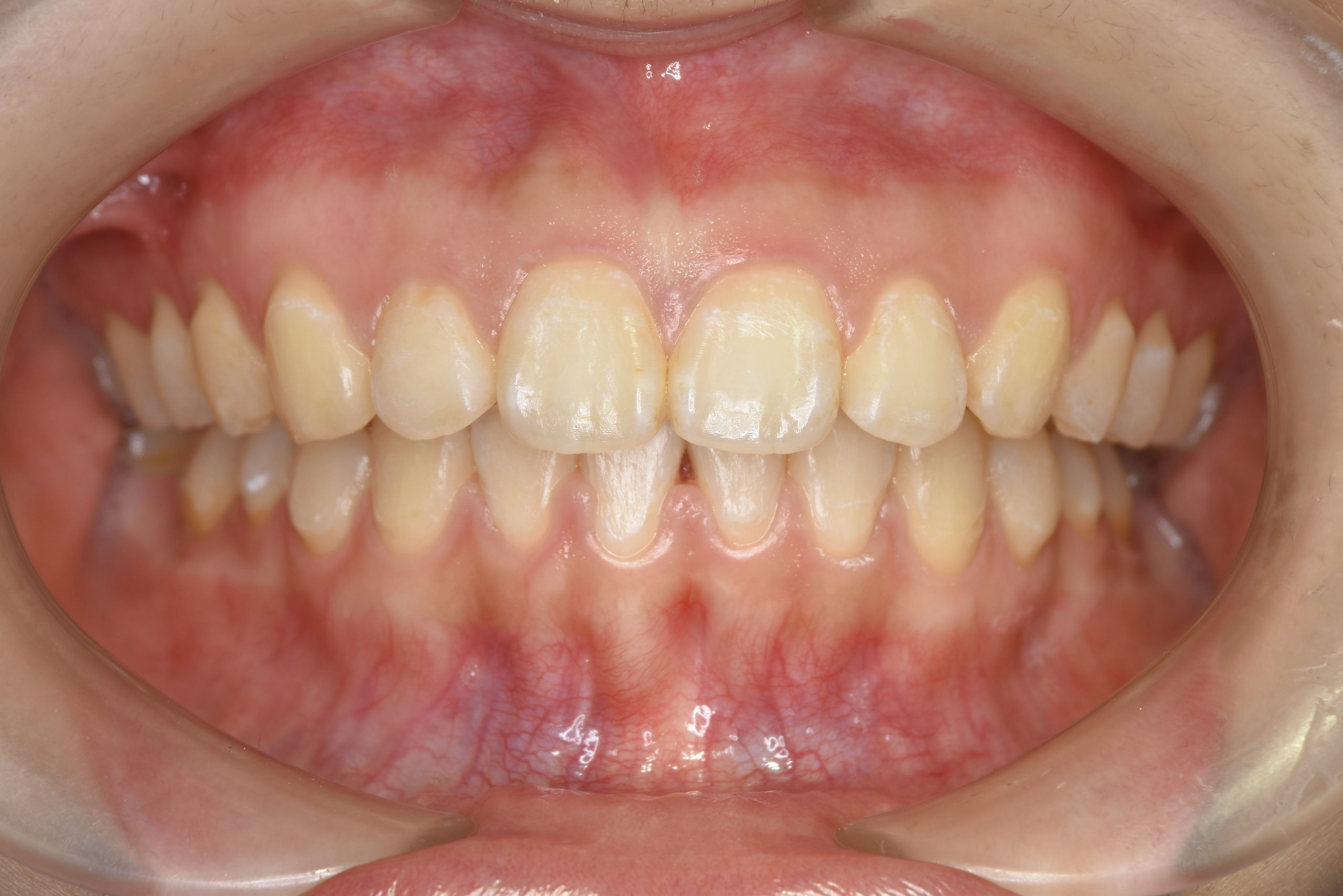
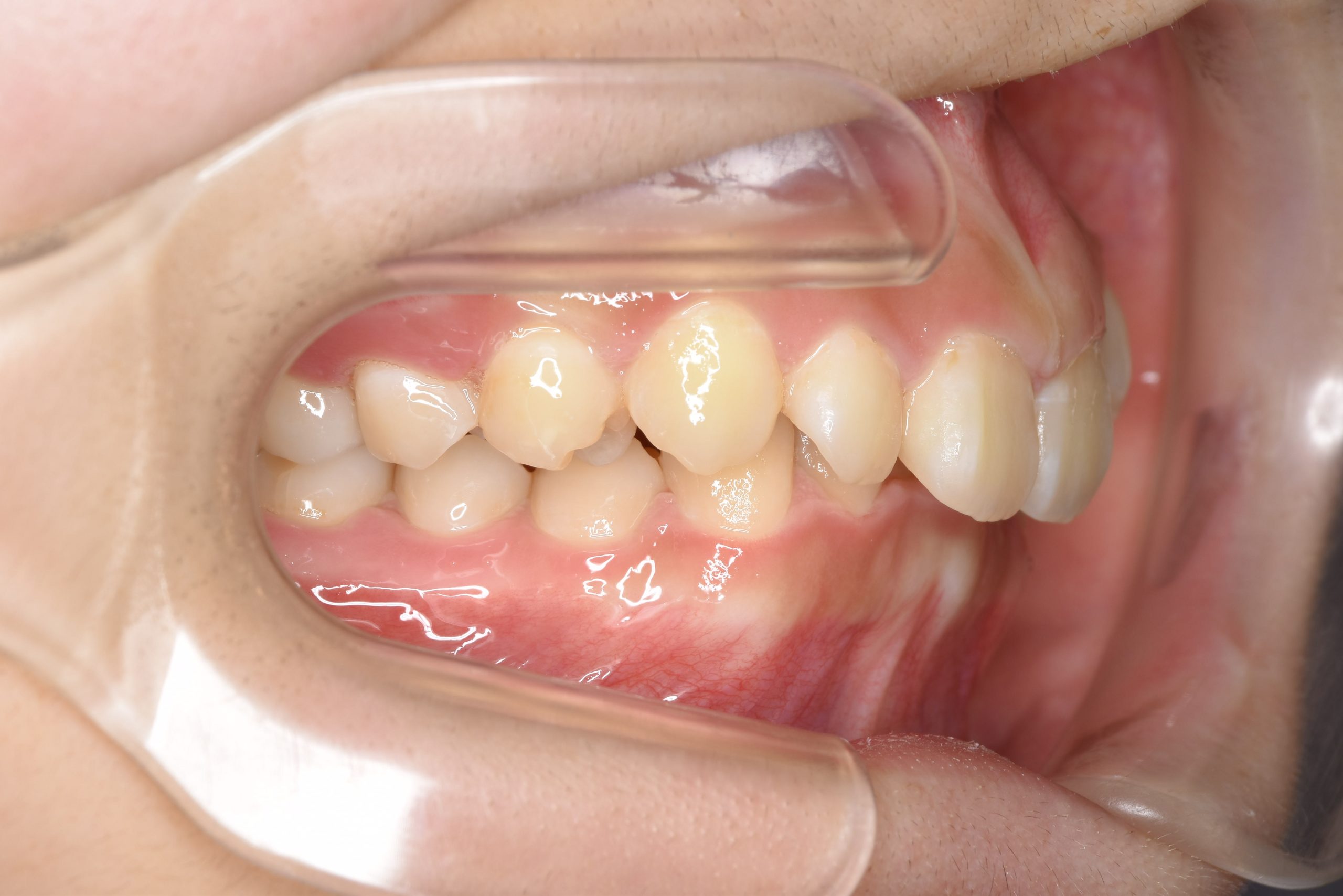
アフター
ワイヤー矯正治療|症例_349
ワイヤー矯正治療|症例_349
ワイヤー矯正治療|症例_349
ワイヤー矯正治療|症例_349
ワイヤー矯正治療|症例_349
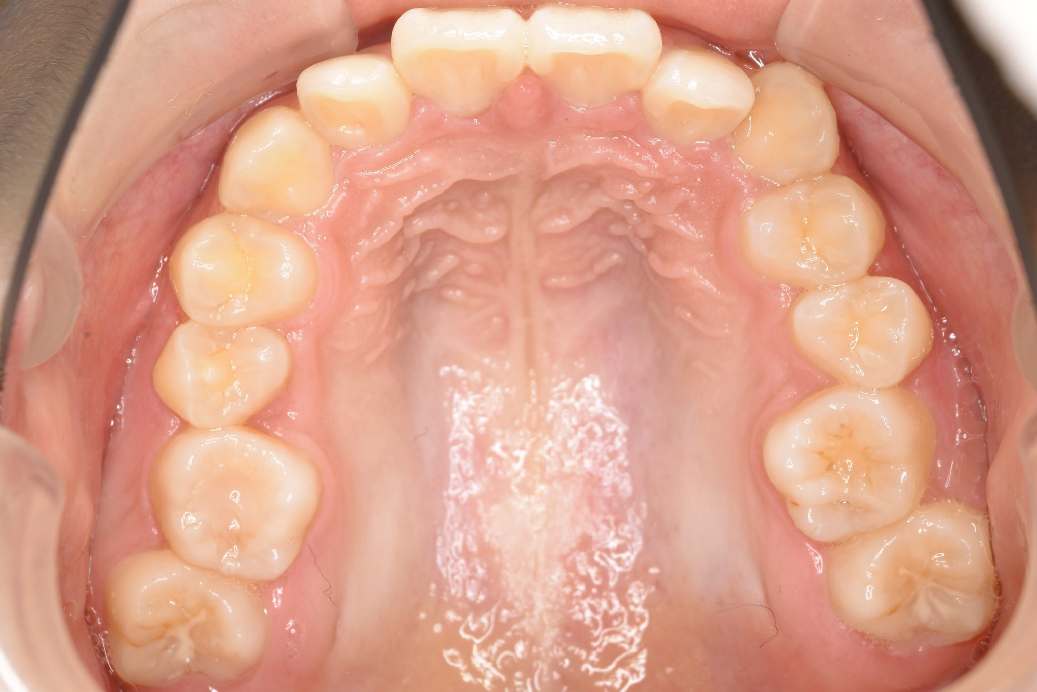
主訴 下の前歯が見えない|歯がガタガタ
施術内容 MSEと下顎リンガルアーチを用いて上下顎骨を拡大した。
その後マルチブラケット装置を用いて非抜歯で歯牙を配列し、良好な咬合を獲得した。
治癒期間 3年7か月間
費用 【検査料】44,000円(税込)
【診断料】44,000円(税込)
【2期治療着手料】792,000円(税込)
【調節料】5,500円×37回(税込)
合計金額1,083,500円(税込)
リスク・副作用 違和感、不快感、痛み
前の症例へ一覧へ戻る次の症例へ

お気軽にどうぞ お問い合わせ・ご予約 CONTACT

電話受付時間
10:30-13:00、14:00-18:00

24時間WEB予約
0120-447-100 アクセス 24時間WEB予約