指定自立支援医療機関(育成医療・更生医療)
顎変形症指定医療機関(顎口腔機能診断認定施設)

0120-447-100
CASES 症例別にみる矯正治療 We contribute to the oral and physical health of our patients
through high-quality orthodontic treatment.

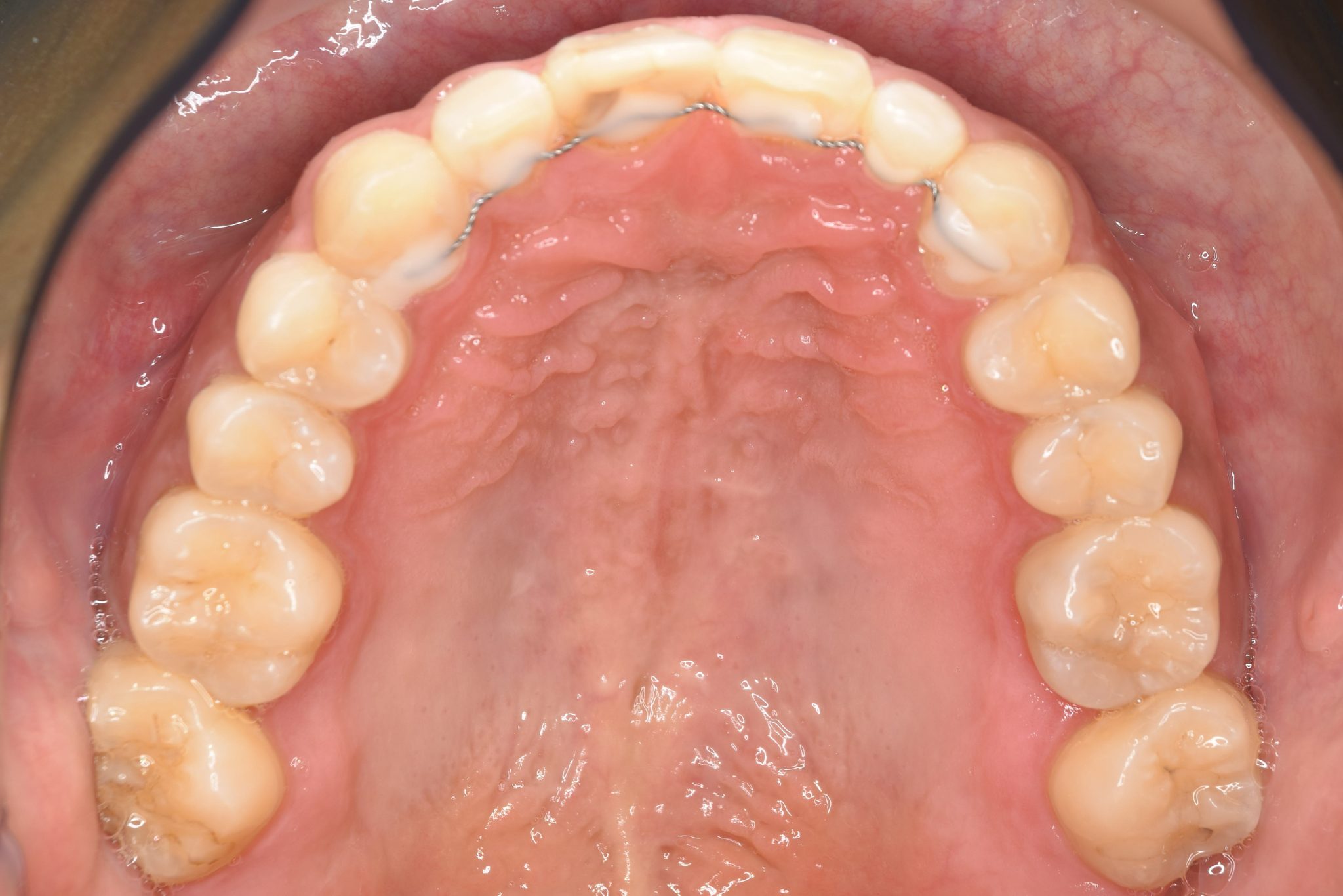
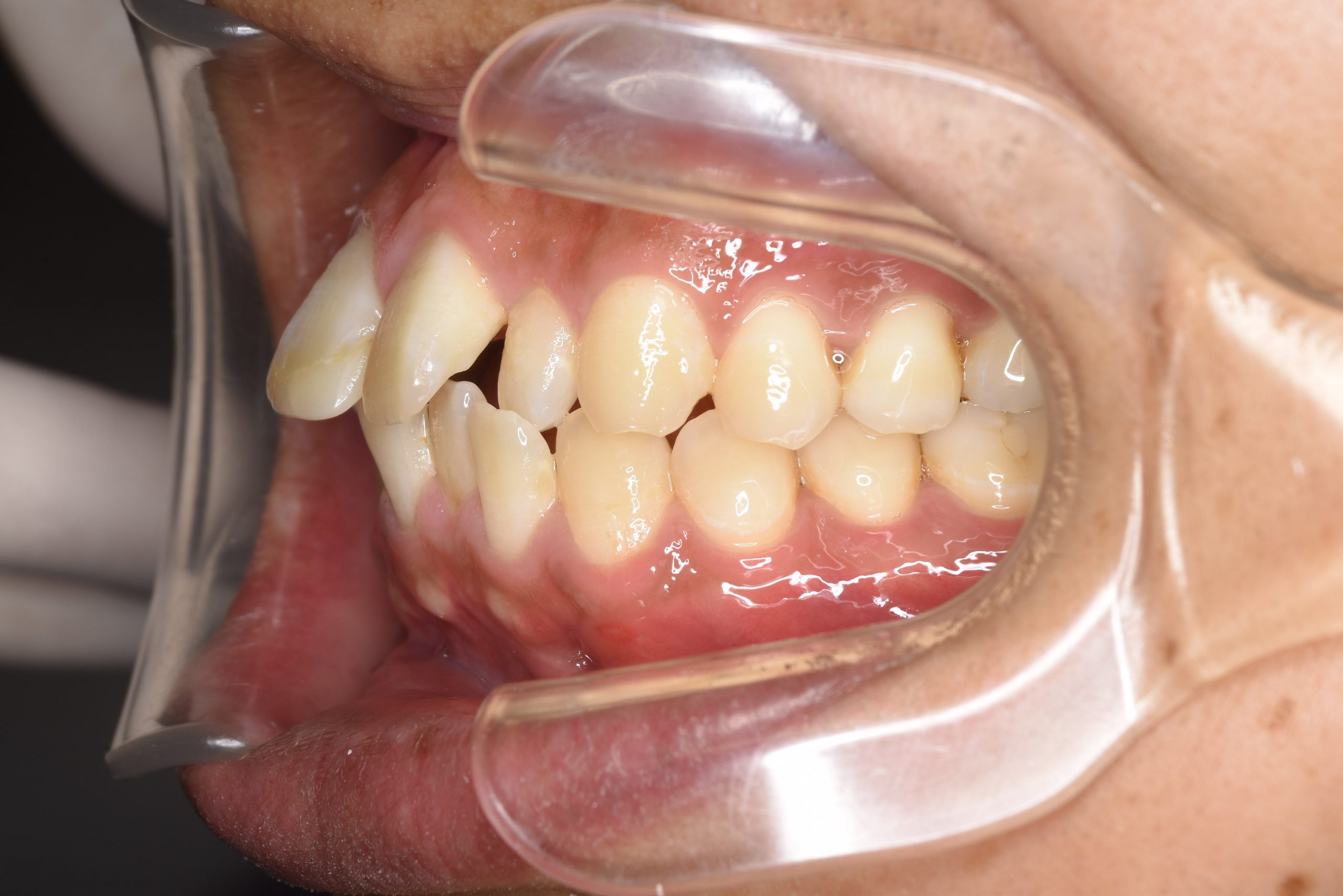
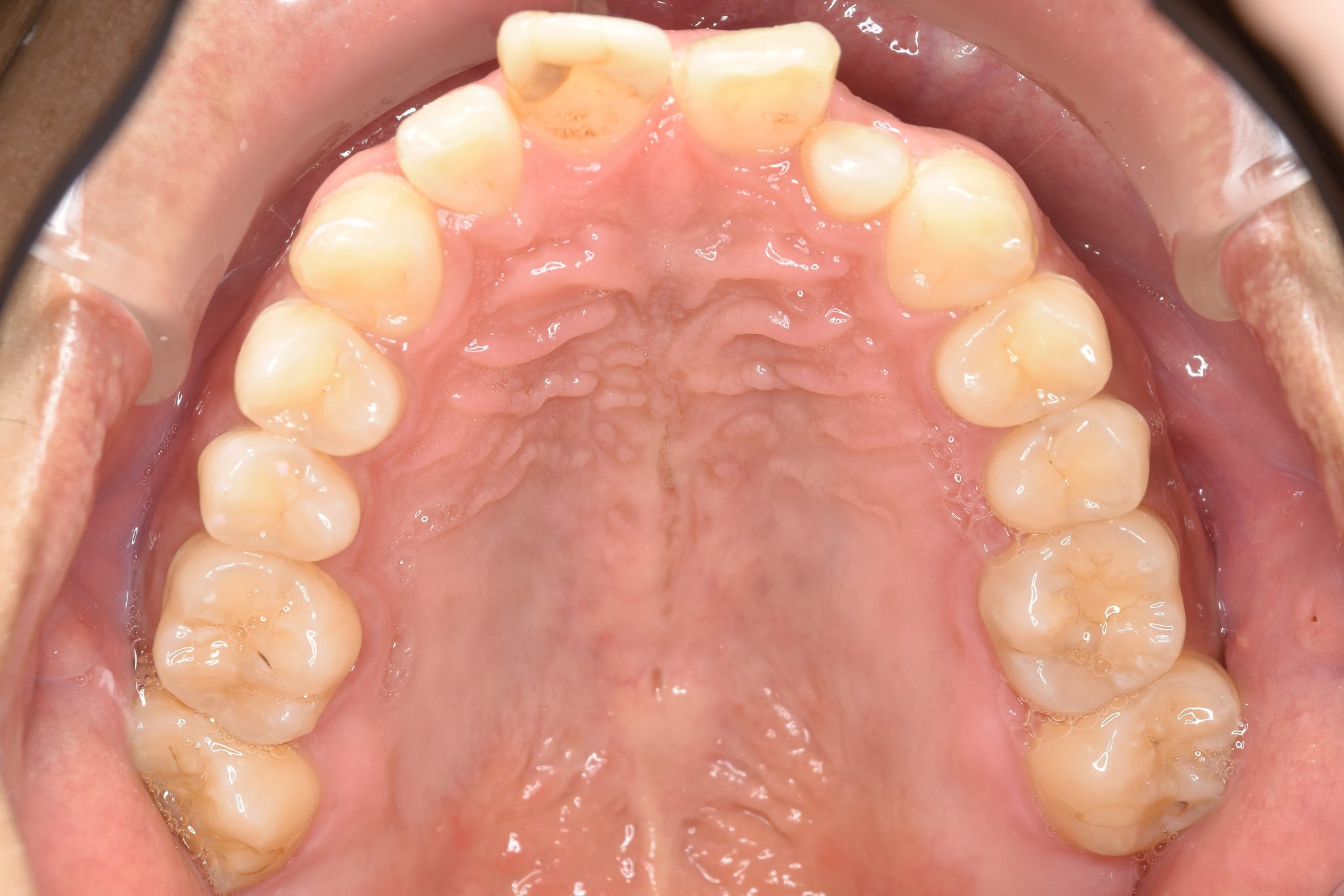
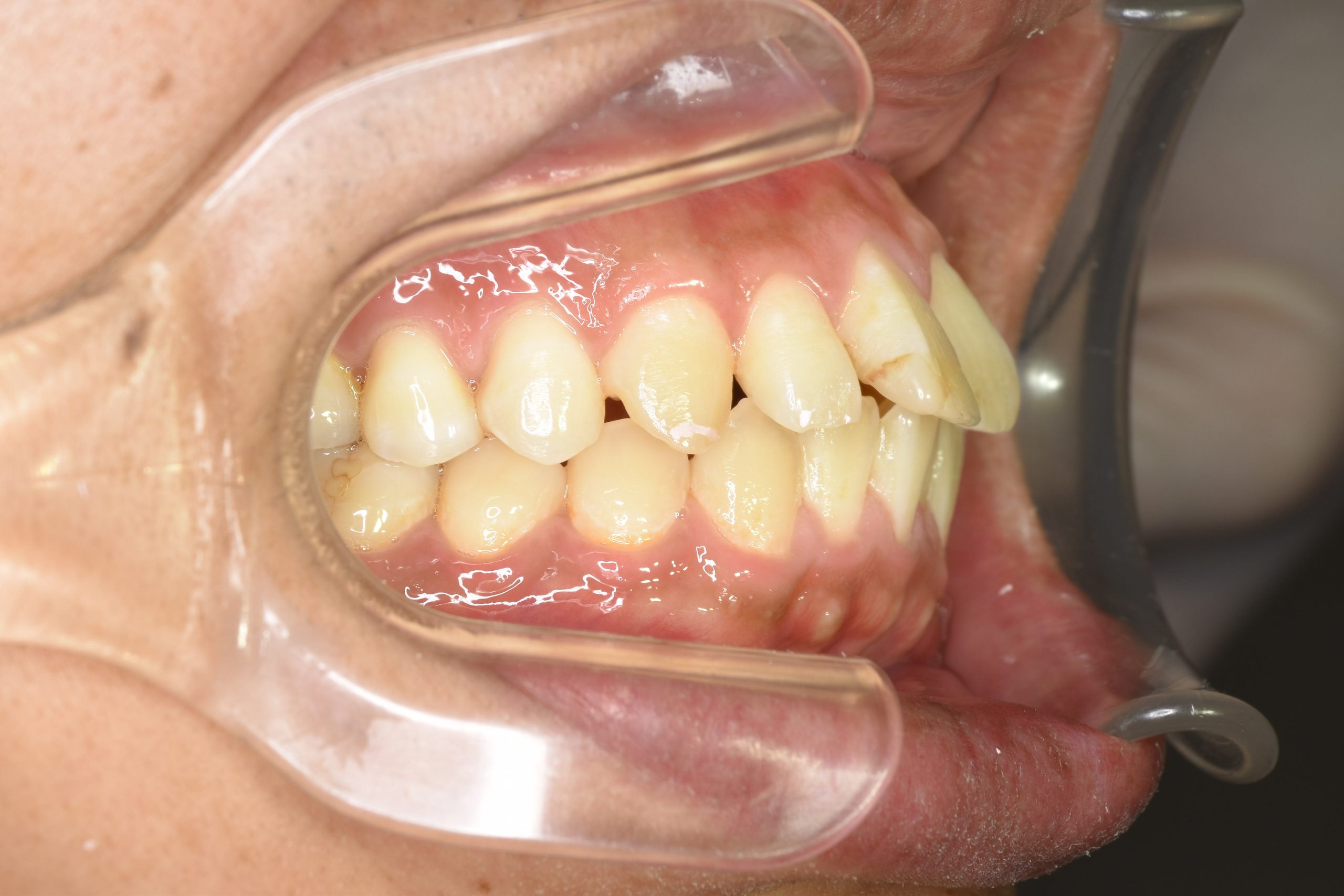
全顎ワイヤー矯正 症例_510 Case

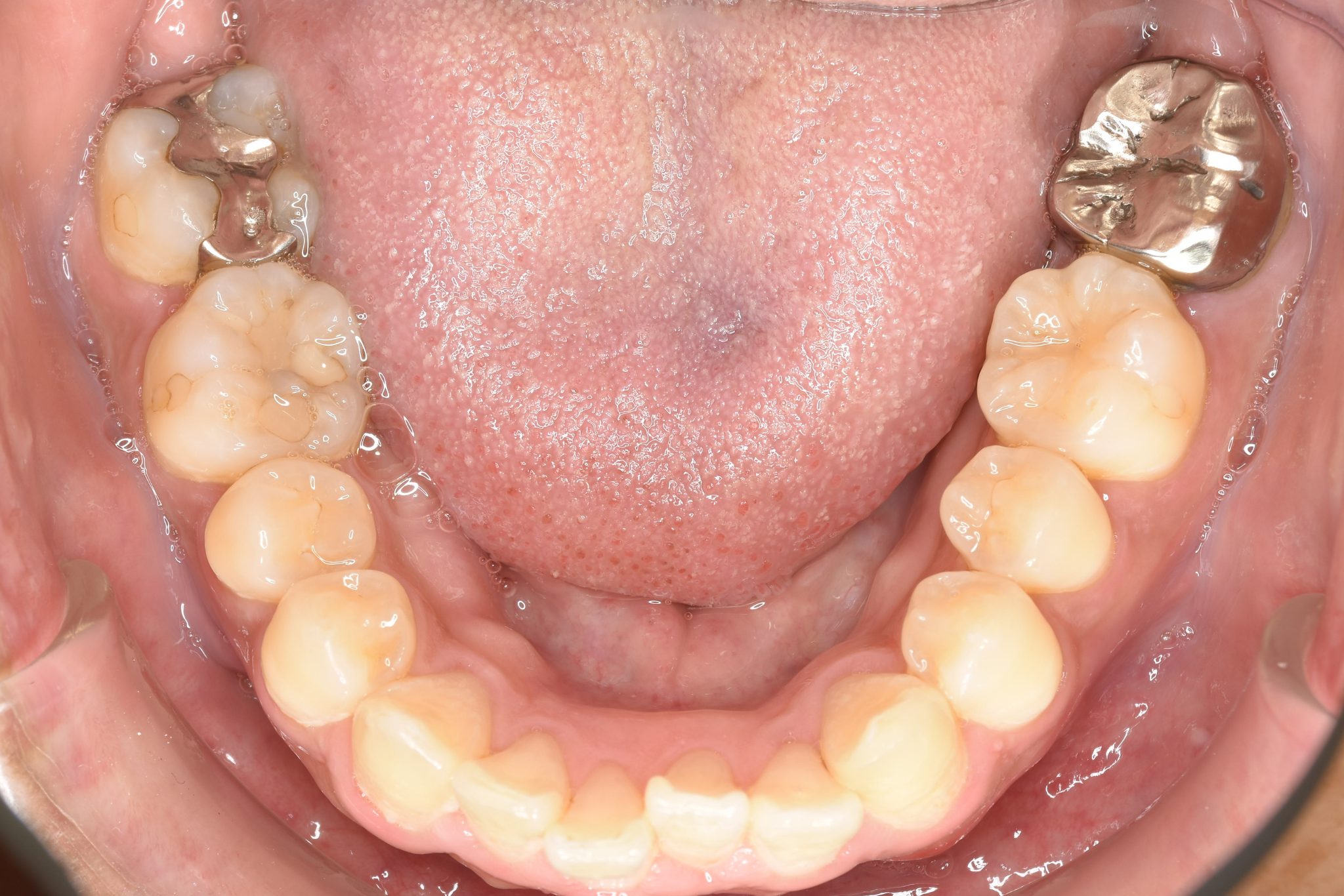
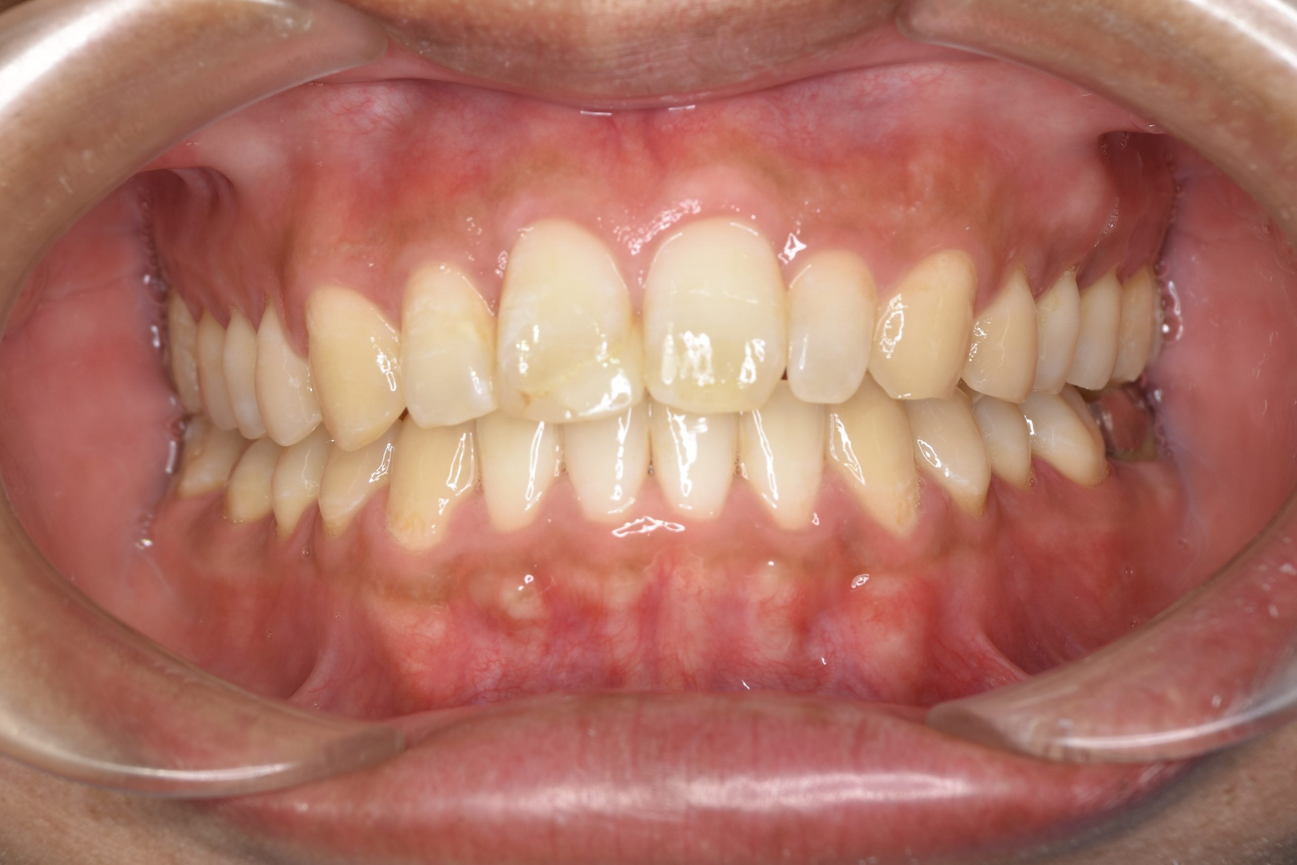
ビフォー
全顎ワイヤー矯正 症例_510
全顎ワイヤー矯正 症例_510
全顎ワイヤー矯正 症例_510
全顎ワイヤー矯正 症例_510
全顎ワイヤー矯正 症例_510
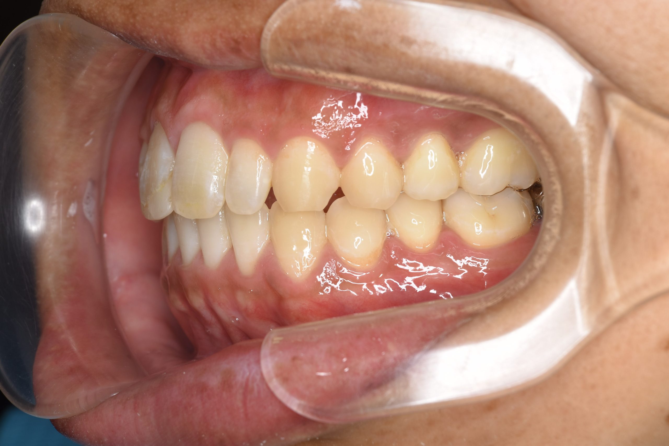
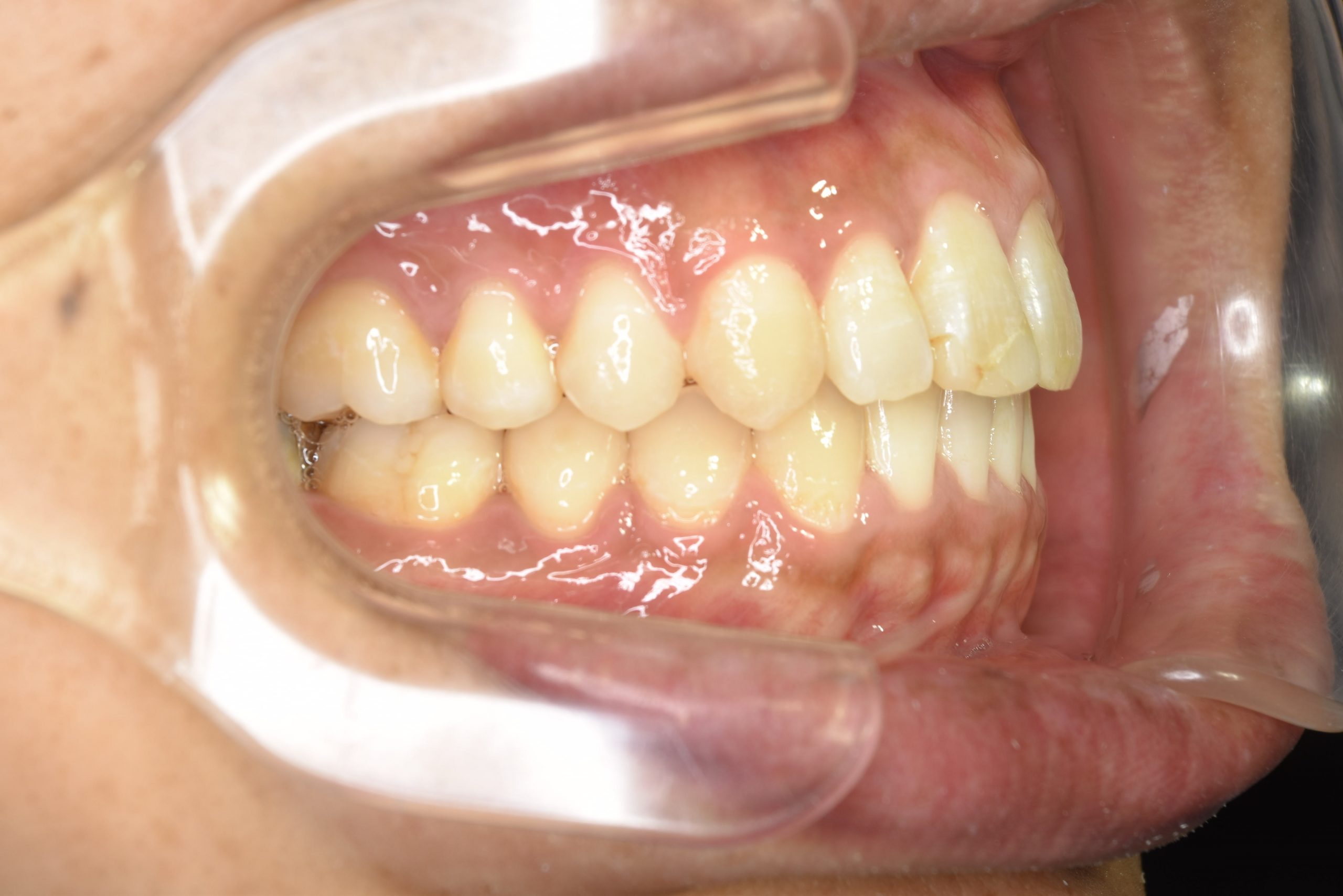
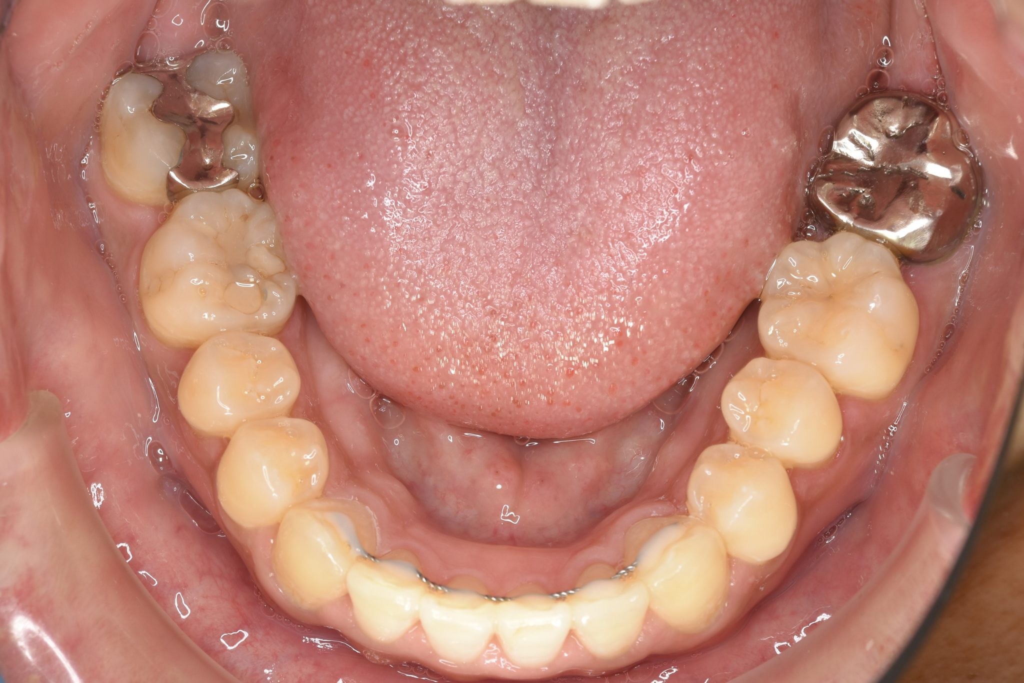
アフター
全顎ワイヤー矯正 症例_510
全顎ワイヤー矯正 症例_510
全顎ワイヤー矯正 症例_510
全顎ワイヤー矯正 症例_510
全顎ワイヤー矯正 症例_510
主訴 前歯の歯並びが悪い
施術内容 成人矯正1期治療
治癒期間 11か月間
費用 937,200円(税込)
リスク・副作用 違和感、不快感、痛み
前の症例へ一覧へ戻る次の症例へ

お気軽にどうぞ お問い合わせ・ご予約 CONTACT

電話受付時間
10:30-13:00、14:00-18:00

24時間WEB予約
0120-447-100 アクセス 24時間WEB予約