指定自立支援医療機関(育成医療・更生医療)
顎変形症指定医療機関(顎口腔機能診断認定施設)

0120-447-100
CASES 症例別にみる矯正治療 We contribute to the oral and physical health of our patients
through high-quality orthodontic treatment.

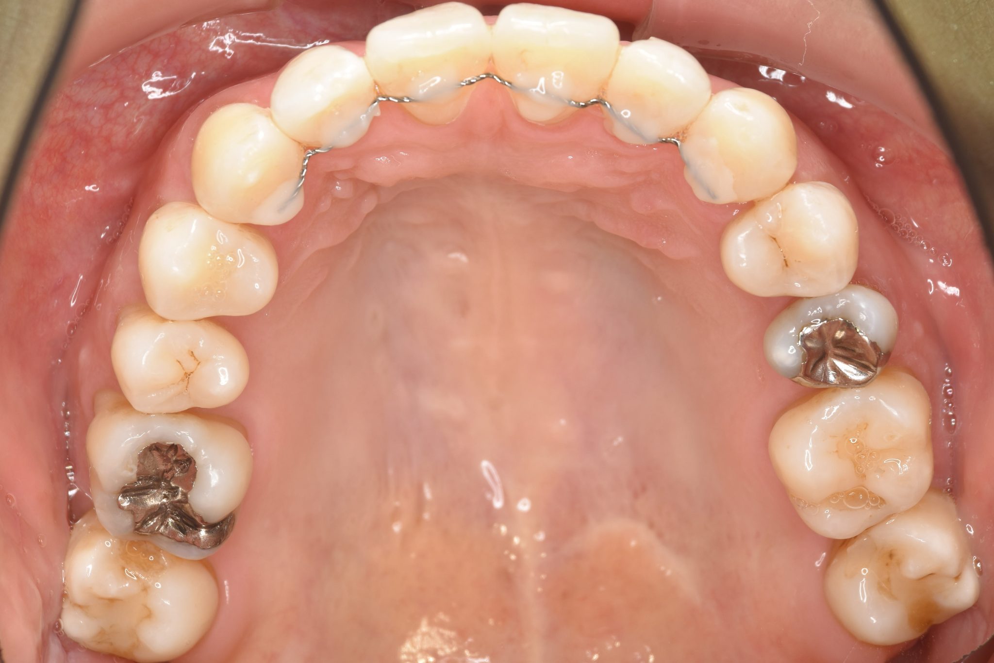
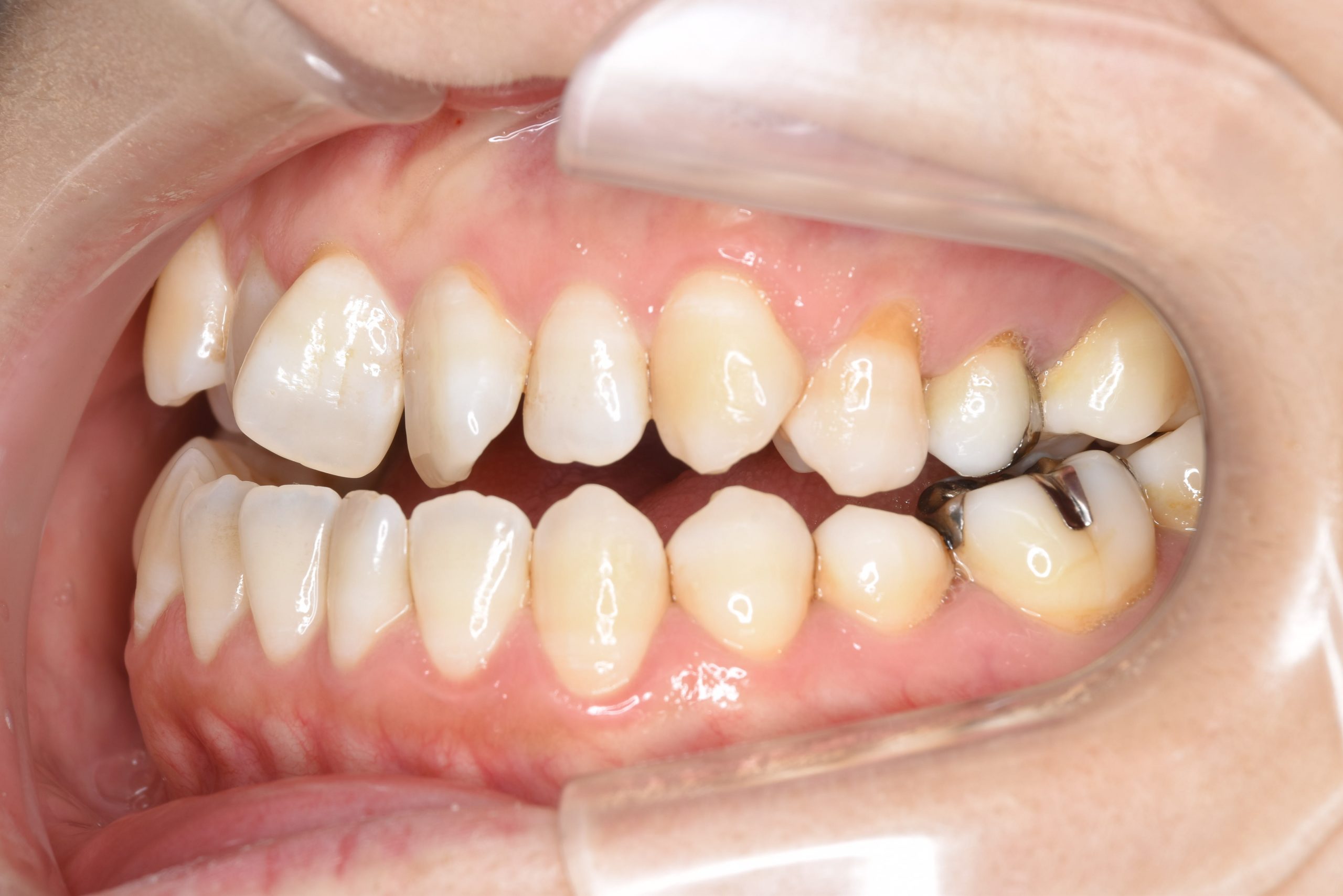
保険での矯正治療|症例_138 Case

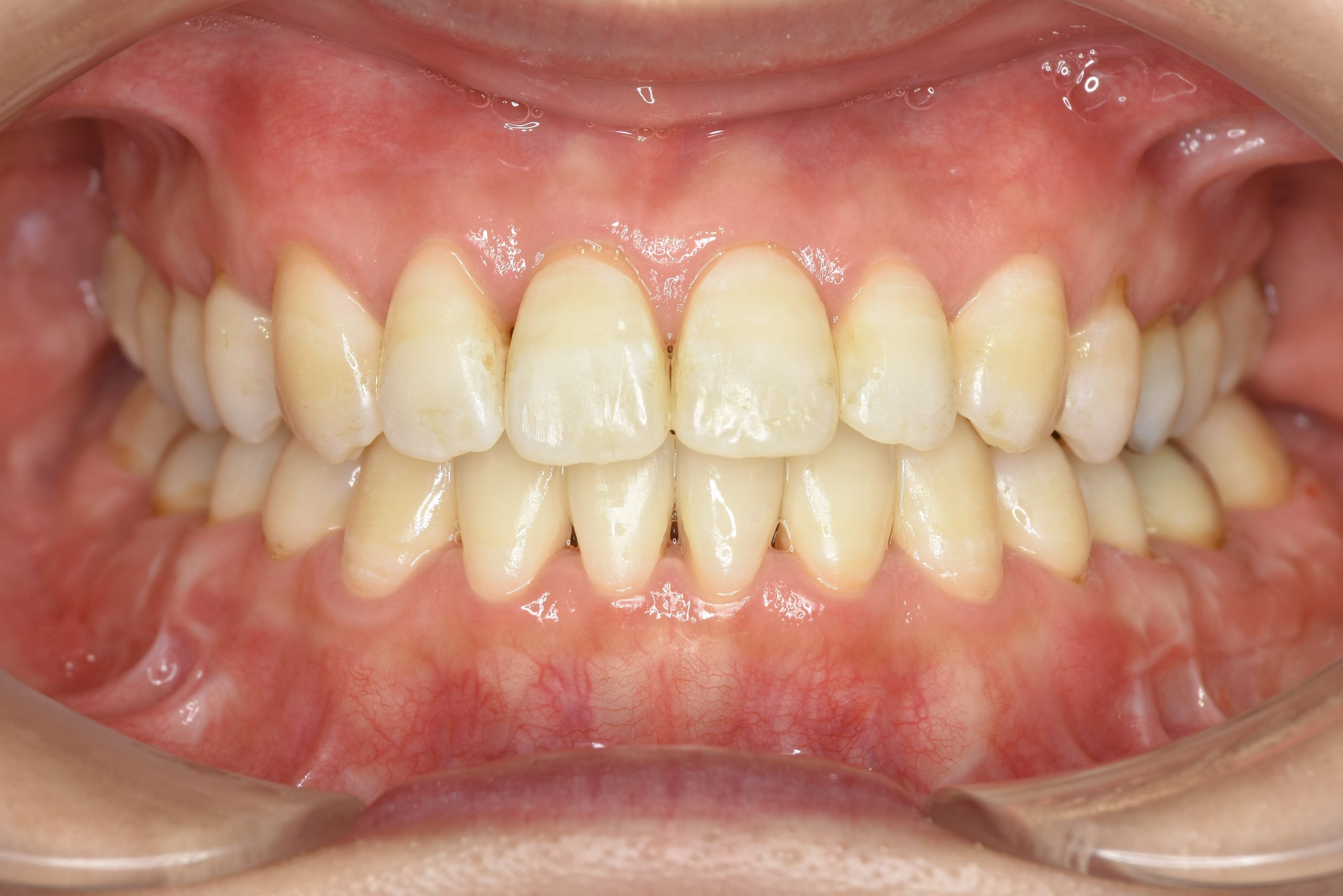
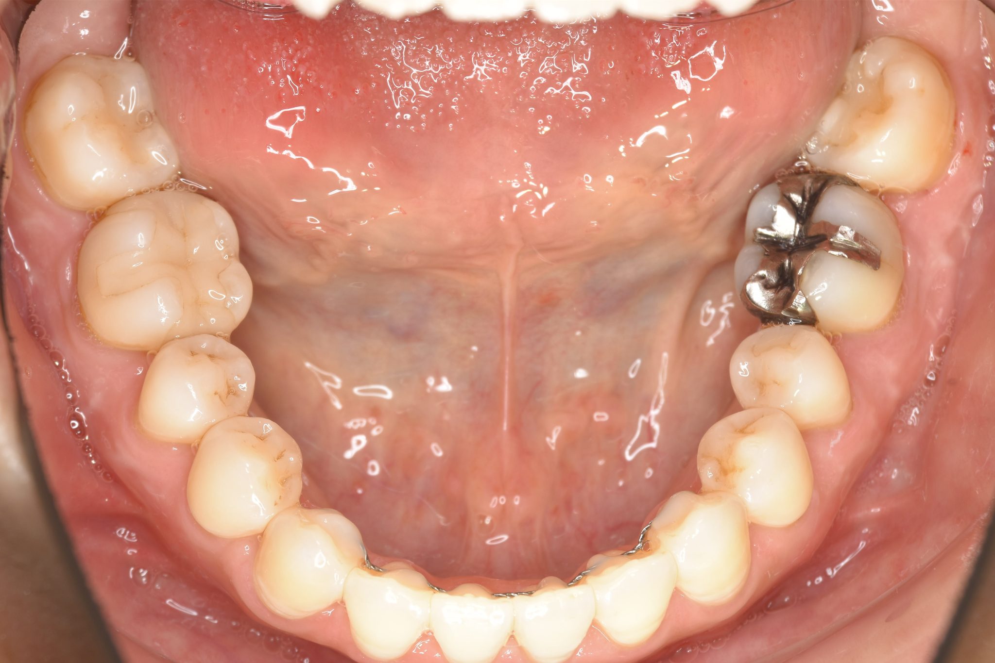
ビフォー
保険での矯正治療|症例_138
保険での矯正治療|症例_138
保険での矯正治療|症例_138
保険での矯正治療|症例_138
保険での矯正治療|症例_138
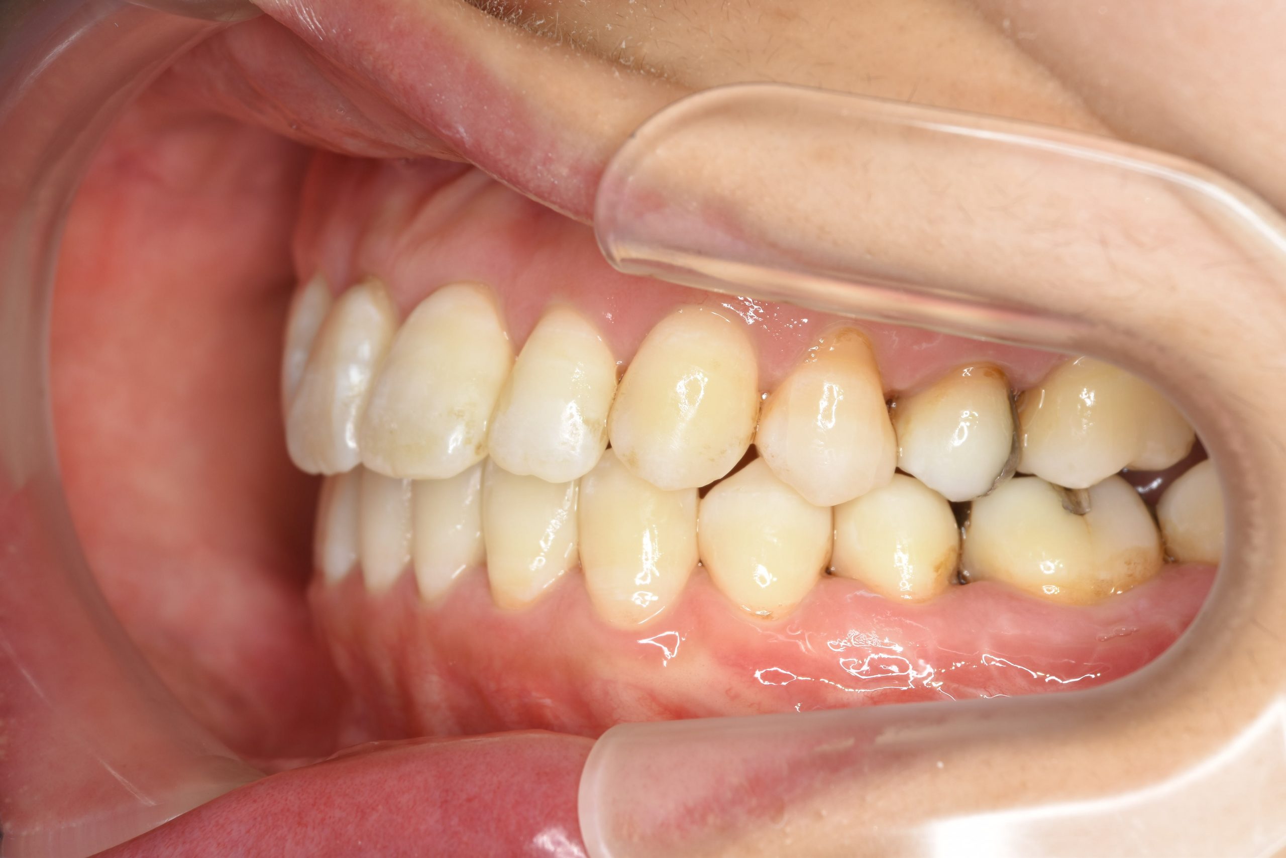
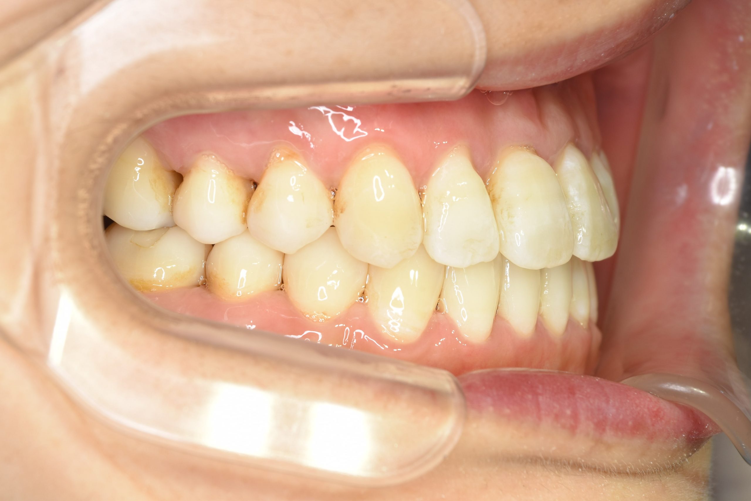
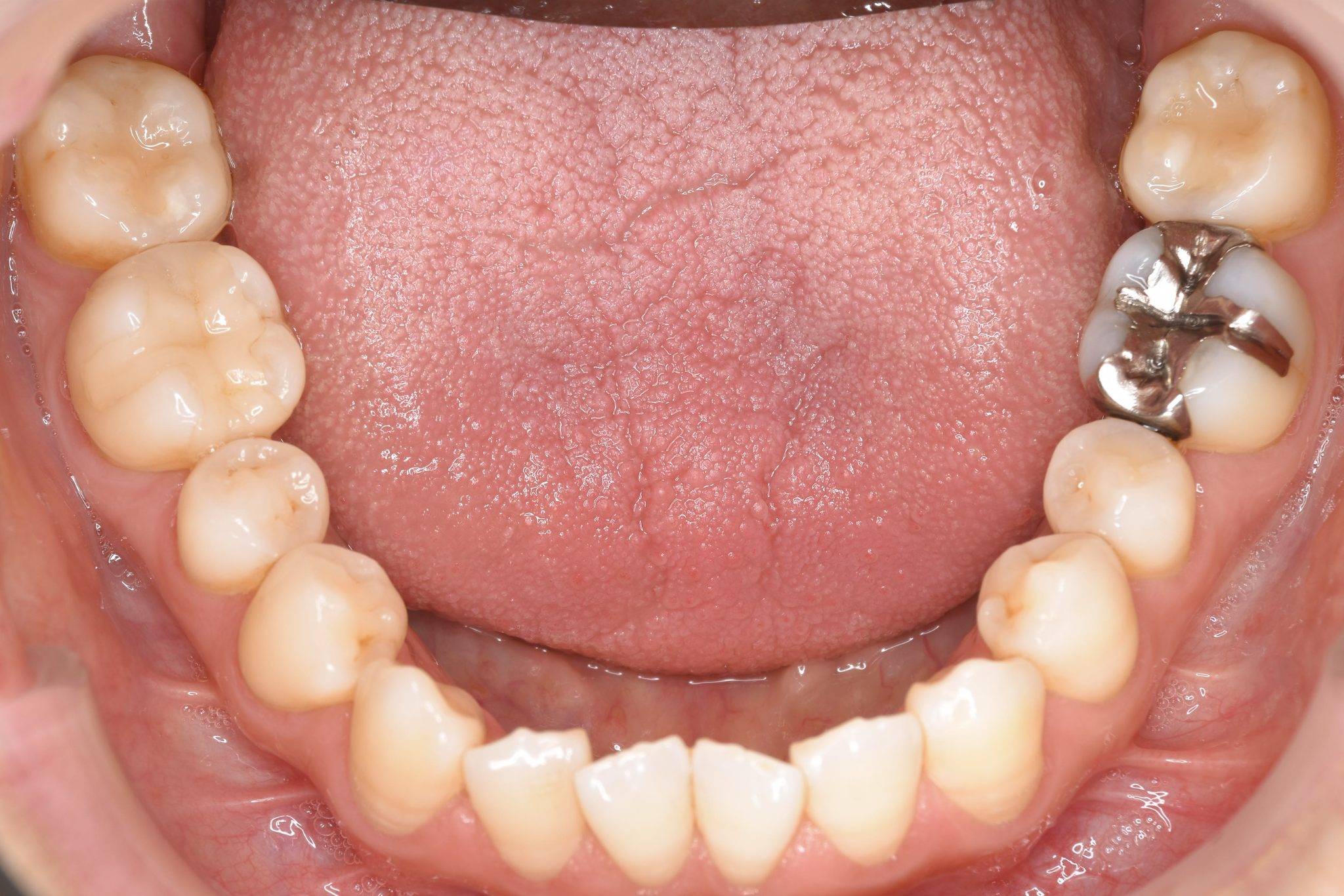
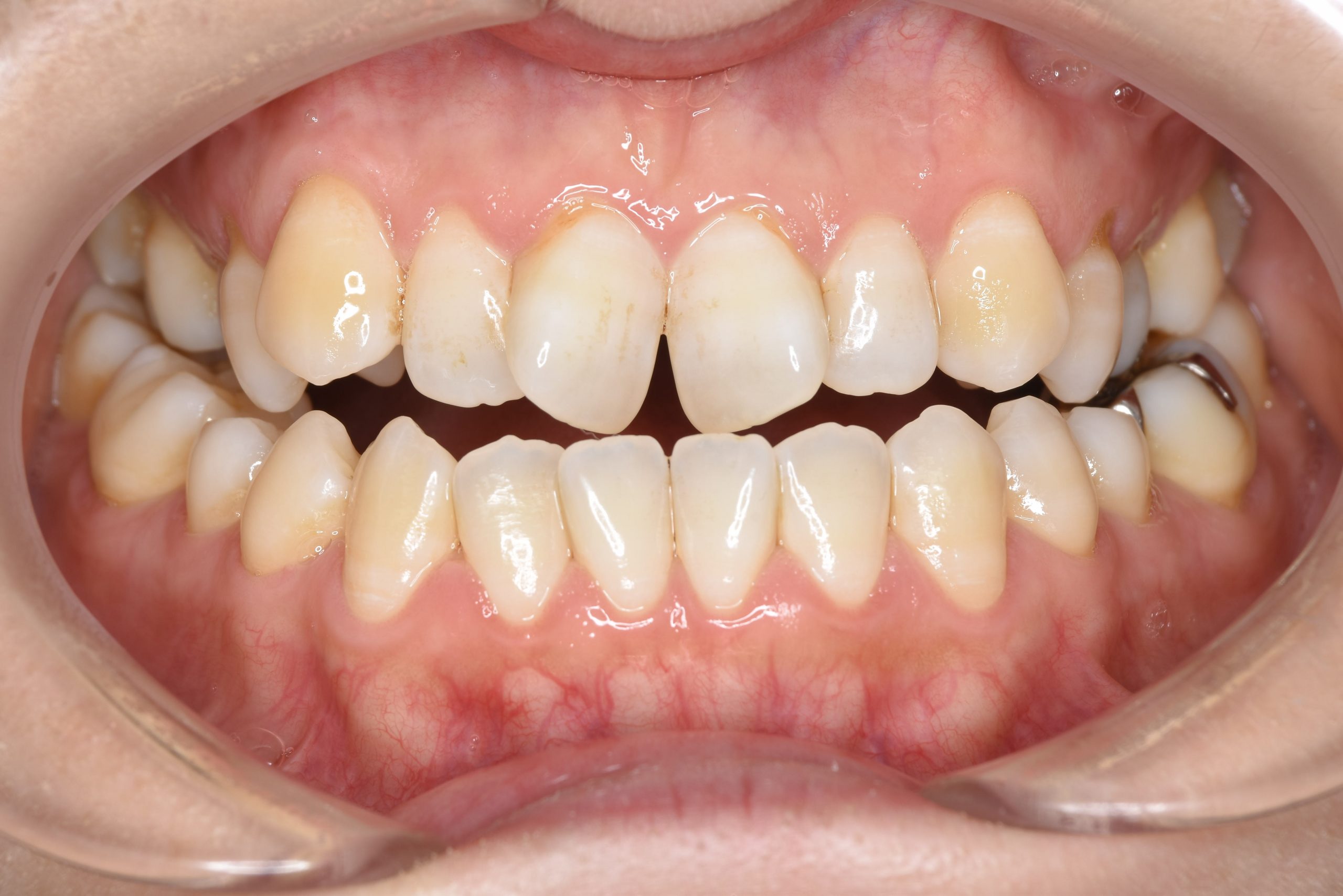
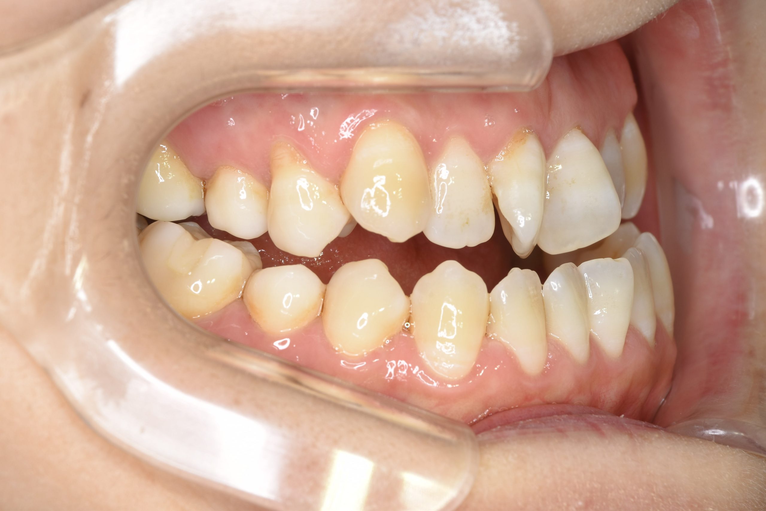
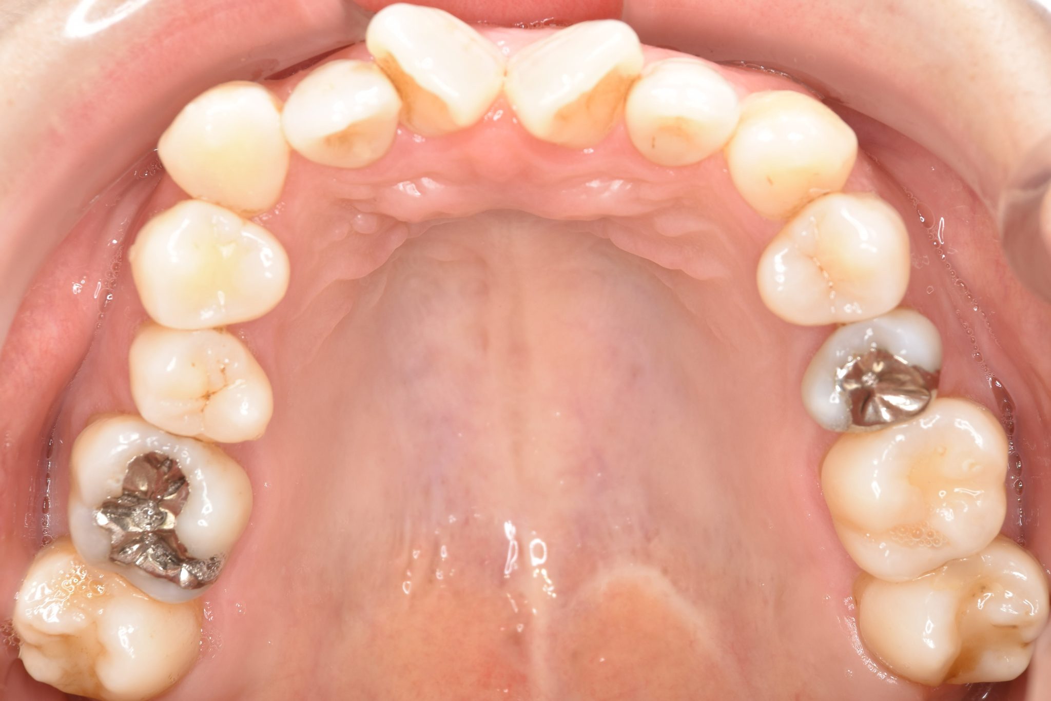
アフター
保険での矯正治療|症例_138
保険での矯正治療|症例_138
保険での矯正治療|症例_138
保険での矯正治療|症例_138
保険での矯正治療|症例_138
主訴 噛み合わせが悪い(反対)|歯並びが悪い|顎が出ている
施術内容 マルチブラケット装置を用いて歯牙を配列した後、
下顎骨離断術を行った。良好な咬合を獲得した。
治癒期間 3年8ヶ月間
費用 保険治療
リスク・副作用 違和感、不快感、痛み
前の症例へ一覧へ戻る次の症例へ

お気軽にどうぞ お問い合わせ・ご予約 CONTACT

電話受付時間
10:30-13:00、14:00-18:00

24時間WEB予約
0120-447-100 アクセス 24時間WEB予約