指定自立支援医療機関(育成医療・更生医療)
顎変形症指定医療機関(顎口腔機能診断認定施設)

0120-447-100
CASES 症例別にみる矯正治療 We contribute to the oral and physical health of our patients
through high-quality orthodontic treatment.

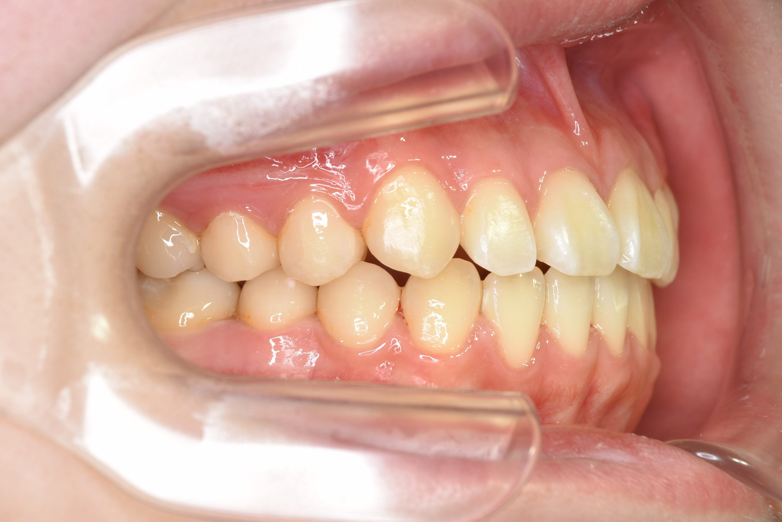
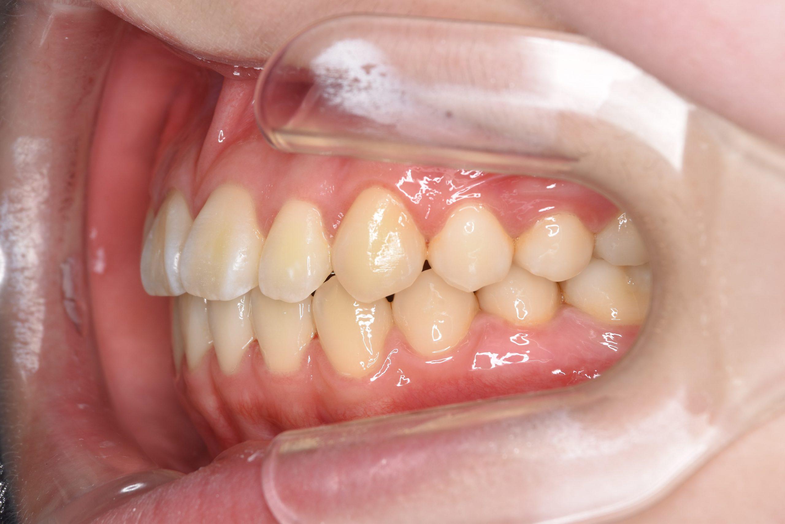
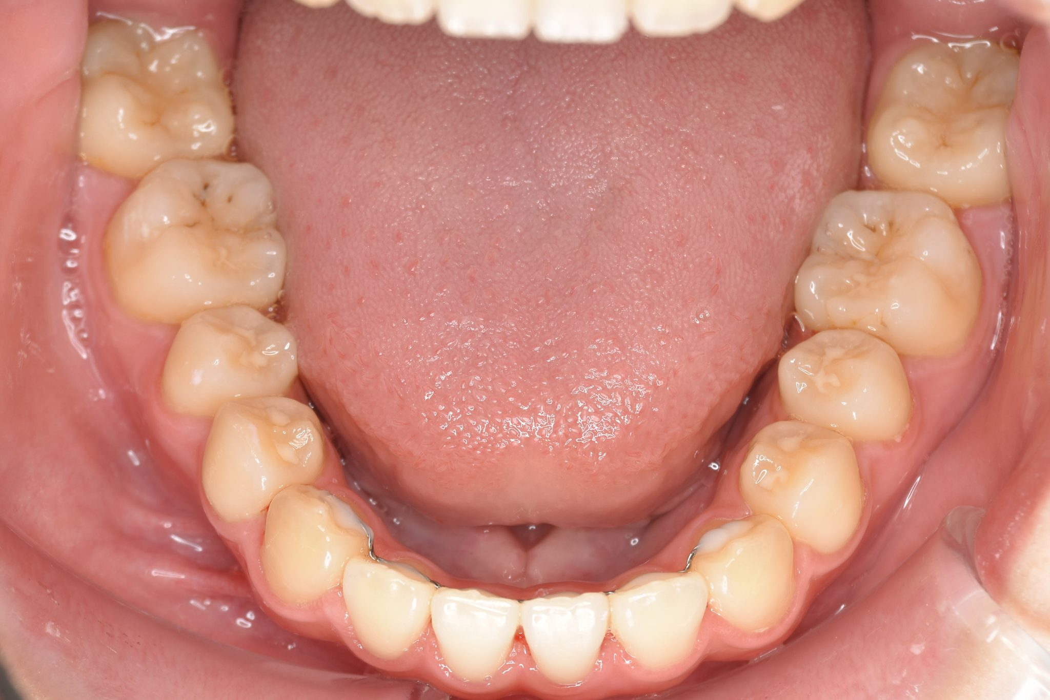
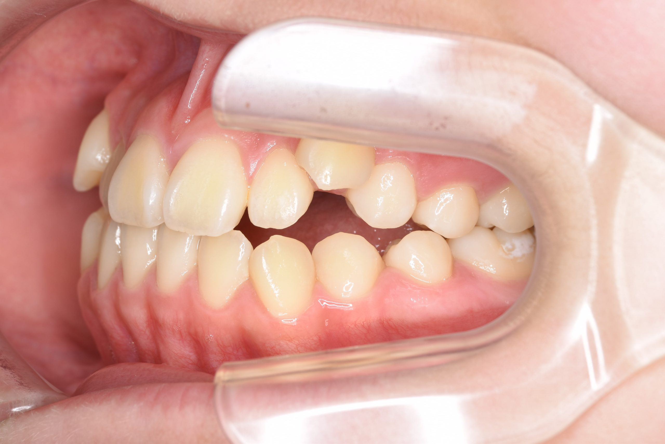
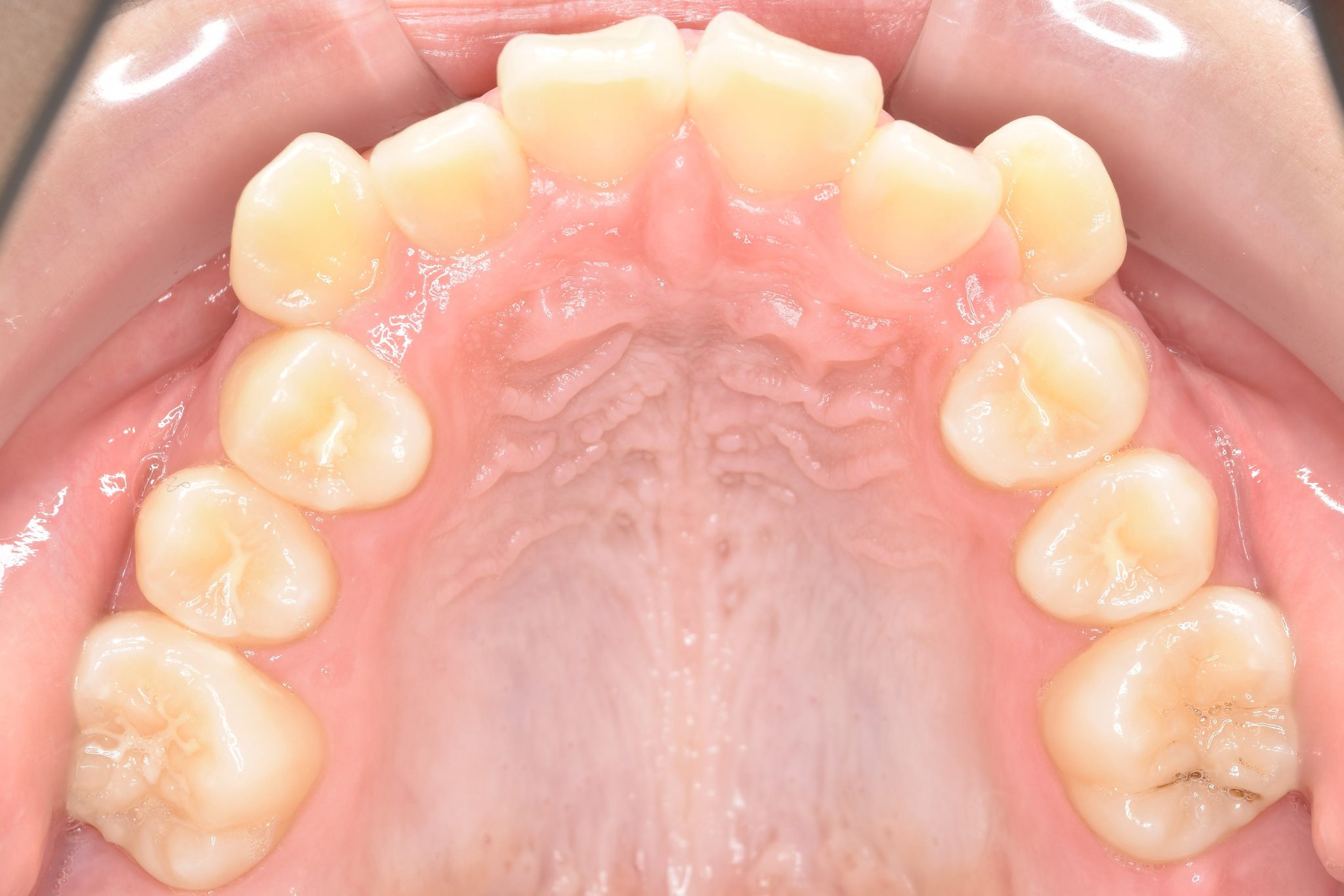
全顎ワイヤー矯正 症例_154 Case

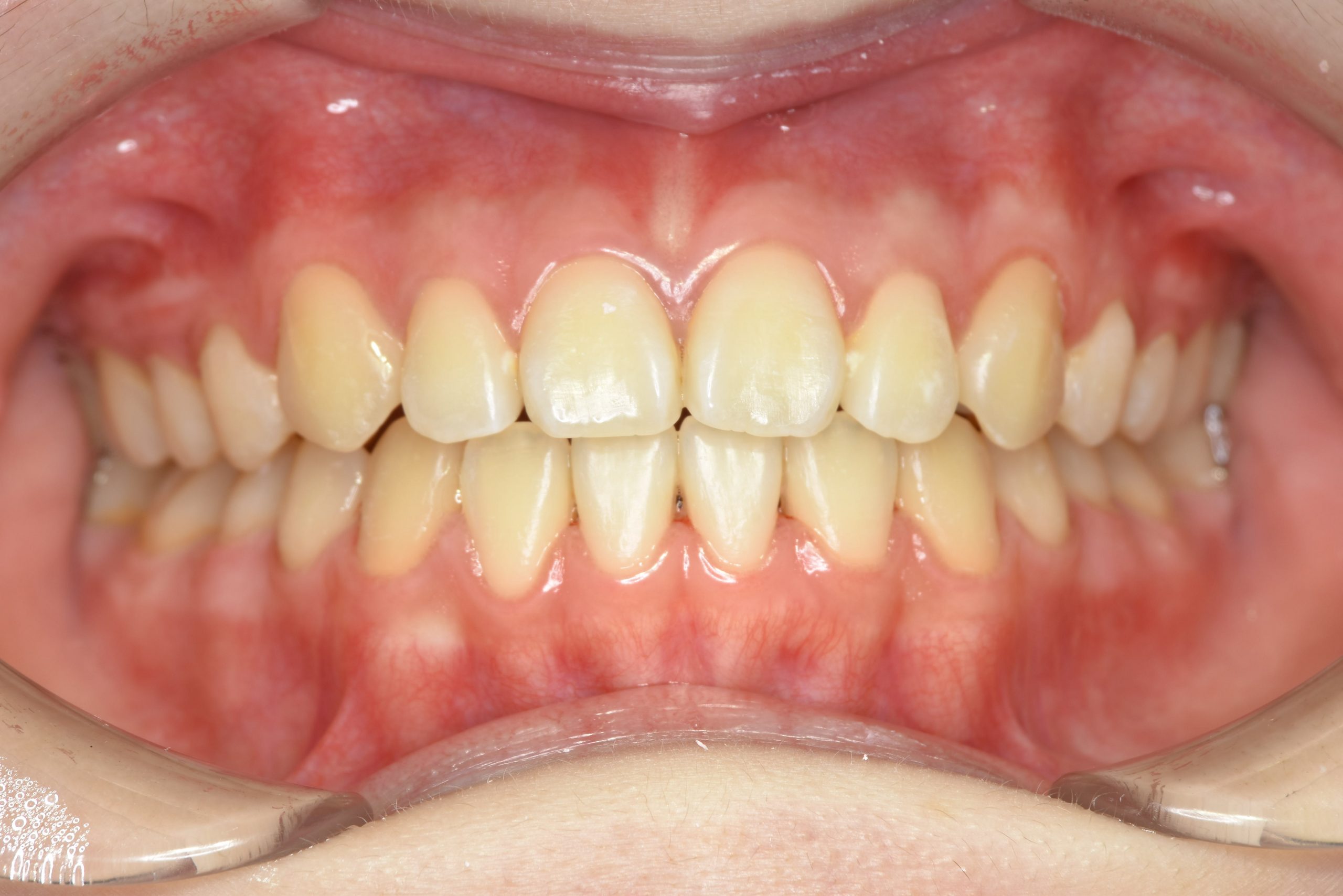
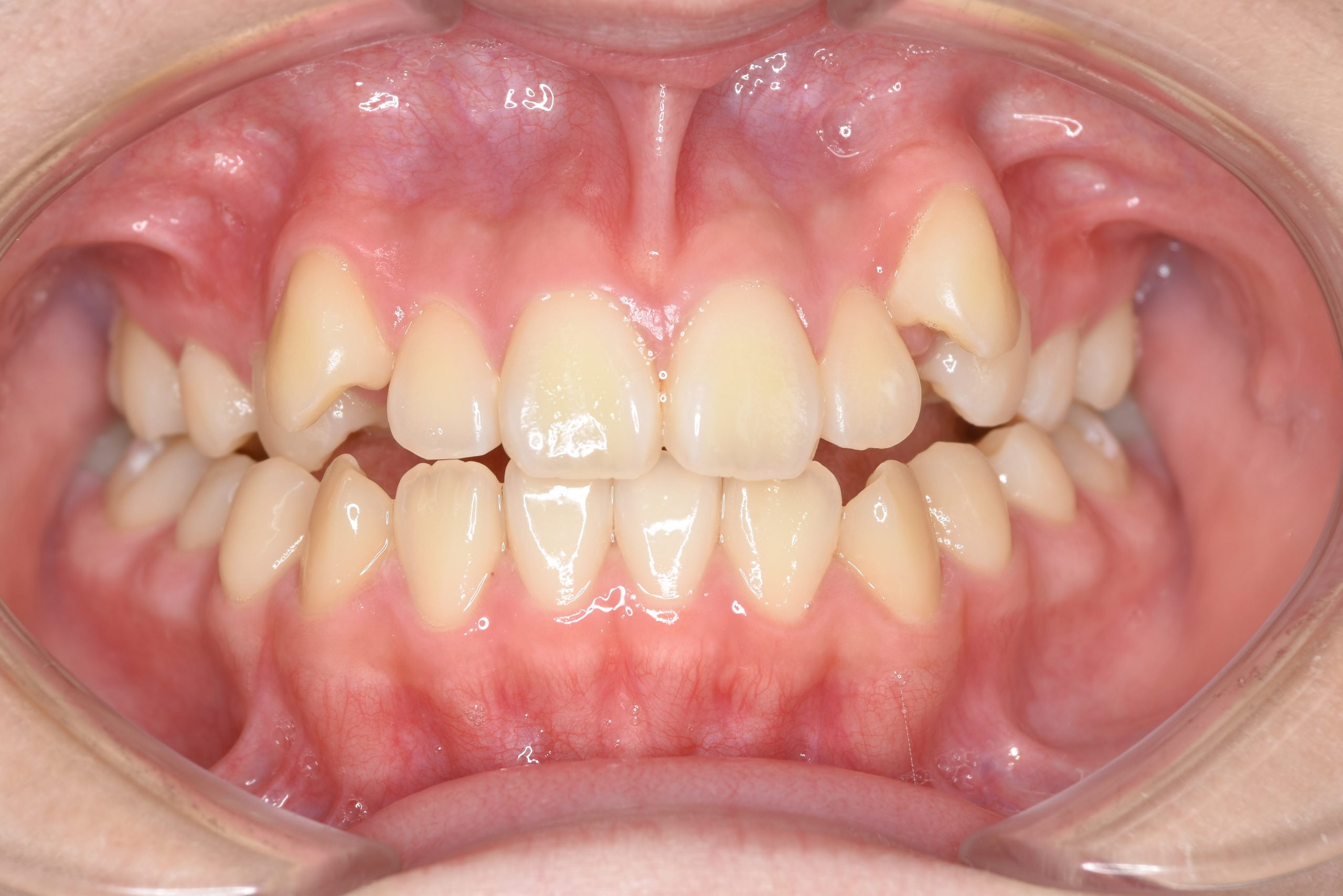
ビフォー
全顎ワイヤー矯正 症例_154
全顎ワイヤー矯正 症例_154
全顎ワイヤー矯正 症例_154
全顎ワイヤー矯正 症例_154
全顎ワイヤー矯正 症例_154
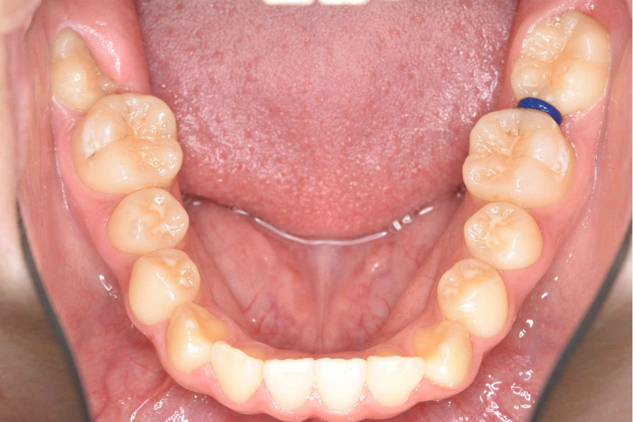
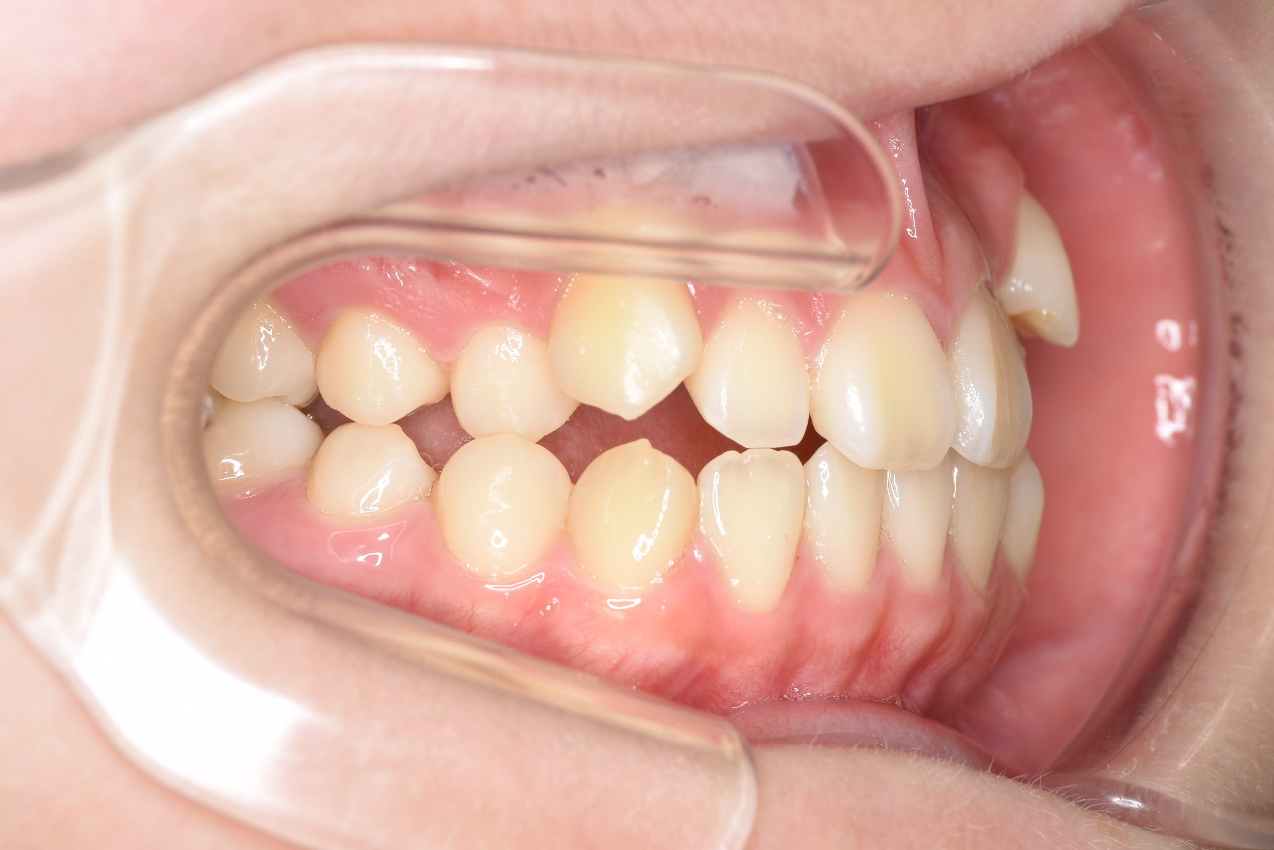
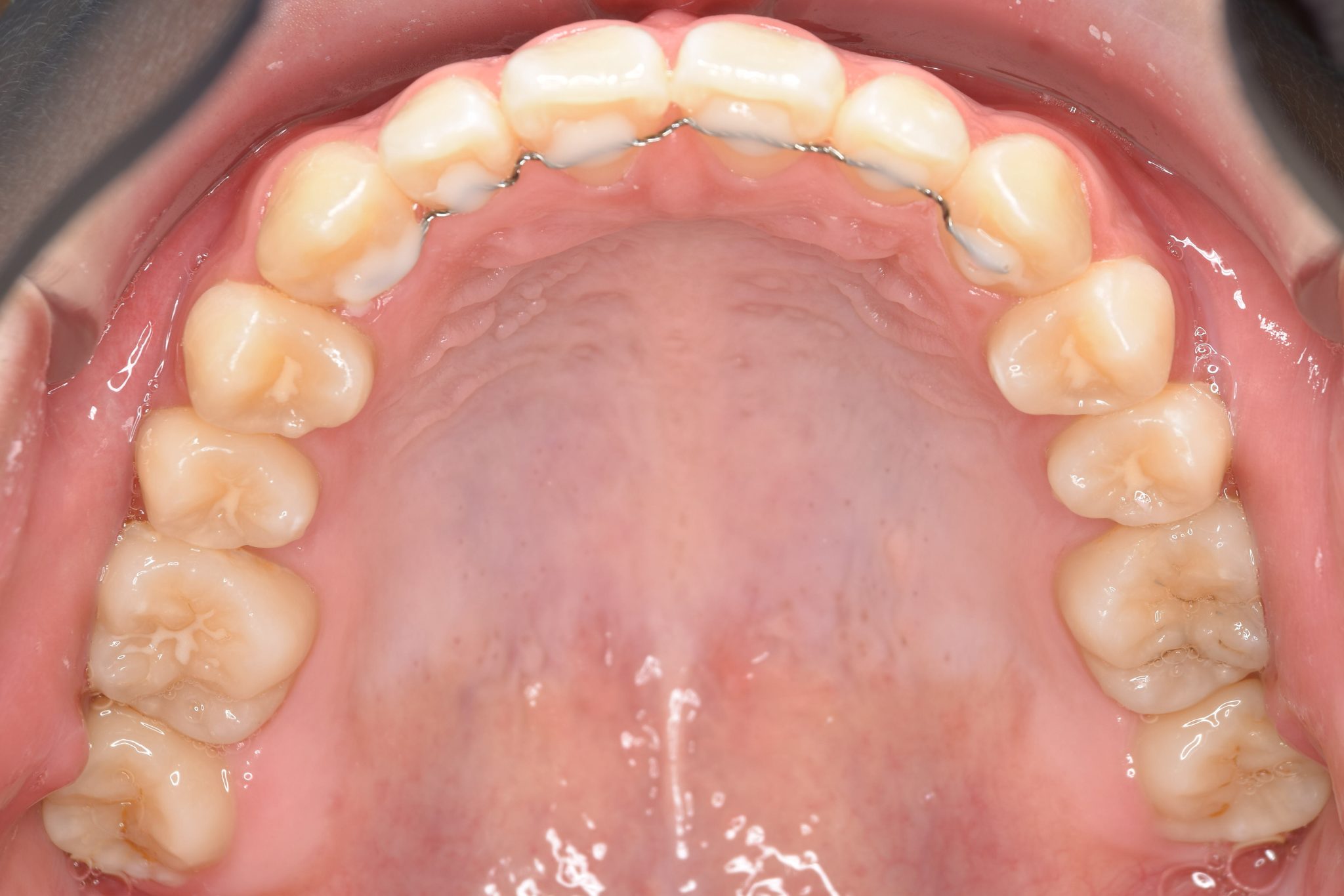
アフター
全顎ワイヤー矯正 症例_154
全顎ワイヤー矯正 症例_154
全顎ワイヤー矯正 症例_154
全顎ワイヤー矯正 症例_154
全顎ワイヤー矯正 症例_154
主訴 八重歯|嚙み合わせ|センターのずれ
施術内容 小児矯正1期治療
治癒期間 3年4ヶ月間
費用 997,160円(税込)
リスク・副作用 違和感、不快感、痛み
前の症例へ一覧へ戻る次の症例へ

お気軽にどうぞ お問い合わせ・ご予約 CONTACT

電話受付時間
10:30-13:00、14:00-18:00

24時間WEB予約
0120-447-100 アクセス 24時間WEB予約