指定自立支援医療機関(育成医療・更生医療) 顎変形症指定医療機関(顎口腔機能診断認定施設)
0120-447-100
〒 729-0141広島県尾道市高須町4773-3
Copyright © Onomichi orthodontic office All Right Reserved.
2026.2.20
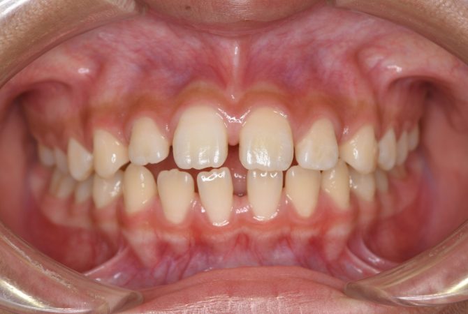
大人の症例空隙歯列空隙歯列
詳しく見る
電話受付時間 10:30-13:00、14:00-18:00