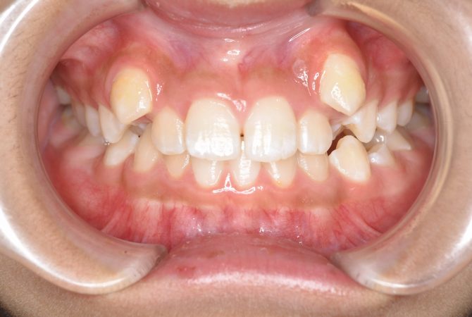
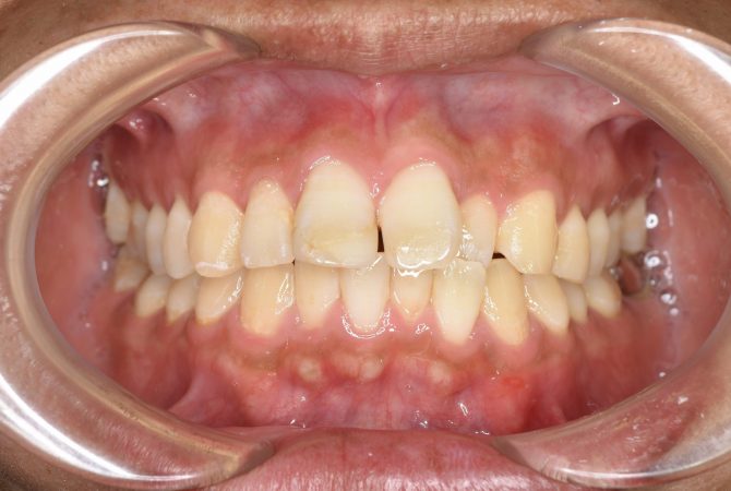
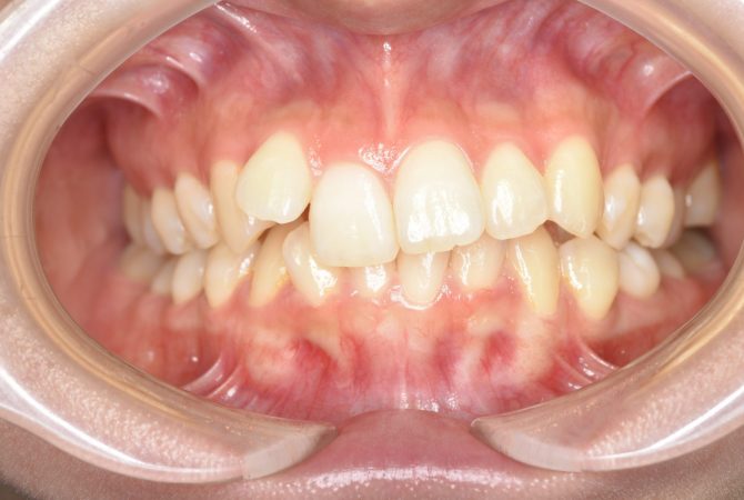
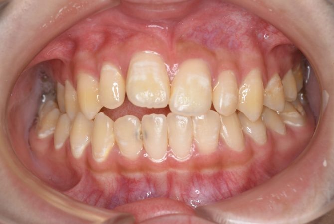
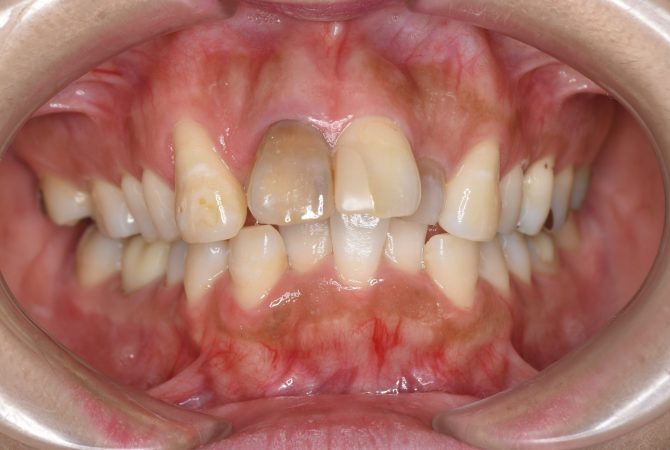
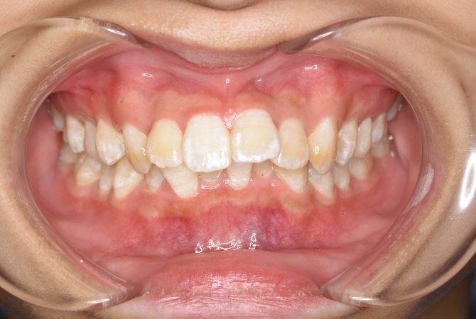
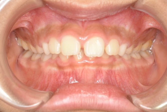
症例一覧 Case 2026.2.20 上顎前突大人の症例上顎前突 ワイヤー矯正治療|症例_793 詳しく見る 2026.2.20 上顎前突大人の症例上顎前突 インビザライン矯正治療|症例_649 詳しく見る 2026.2.20 上顎前突大人の症例上顎前突 ワイヤー矯正治療|症例_640 詳しく見る 2026.2.20 上顎前突子どもの症例上顎前突 子どもの矯正治療|症例_547 詳しく見る 2026.2.20 上顎前突大人の症例上顎前突 全顎ワイヤー矯正 症例_510 詳しく見る 2026.2.20 上顎前突大人の症例上顎前突 全顎ワイヤー矯正 症例_418 詳しく見る 2026.2.19 上顎前突大人の症例上顎前突 全顎ワイヤー矯正 症例_320 詳しく見る 2026.2.19 上顎前突子どもの症例上顎前突大人の症例上顎前突 インビザライン矯正治療|症例_306 詳しく見る 2026.2.19 上顎前突子どもの症例上顎前突大人の症例上顎前突 ワイヤー矯正治療|症例_252 詳しく見る 1 / 2 ページ2次へ »