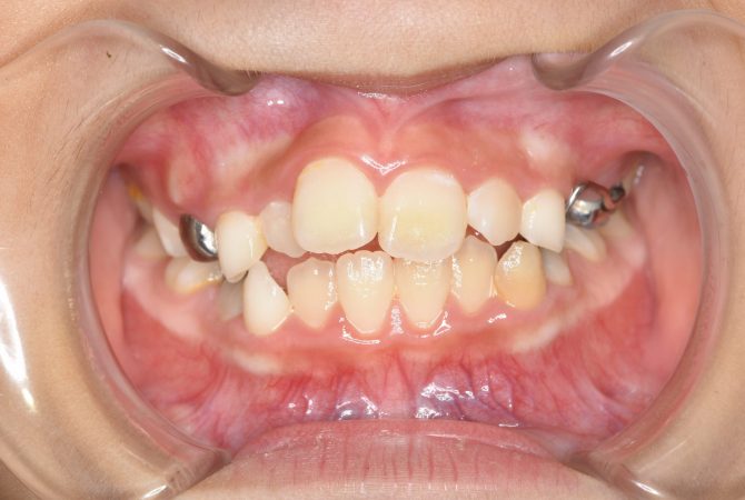
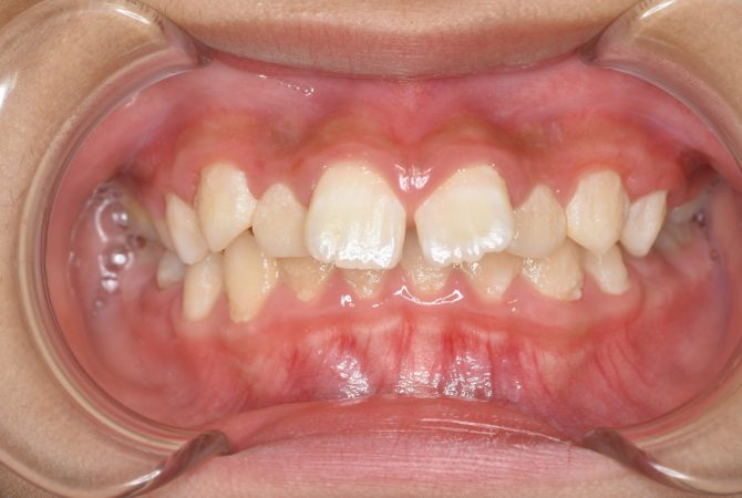
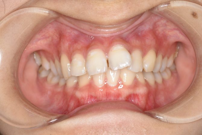
症例一覧 Case 2026.2.19 上顎前突子どもの症例上顎前突 全顎ワイヤー矯正 症例_218 詳しく見る 2026.2.19 上顎前突子どもの症例上顎前突大人の症例上顎前突 ワイヤー矯正治療|症例_182 詳しく見る 2026.2.19 上顎前突子どもの症例上顎前突 子どもの矯正治療|症例_169 詳しく見る « 前へ12 / 2 ページ