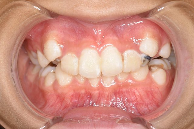
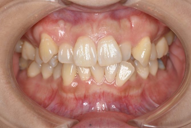
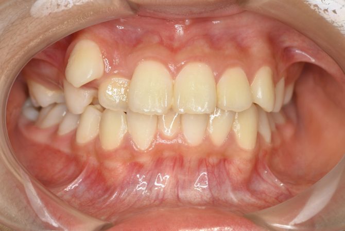
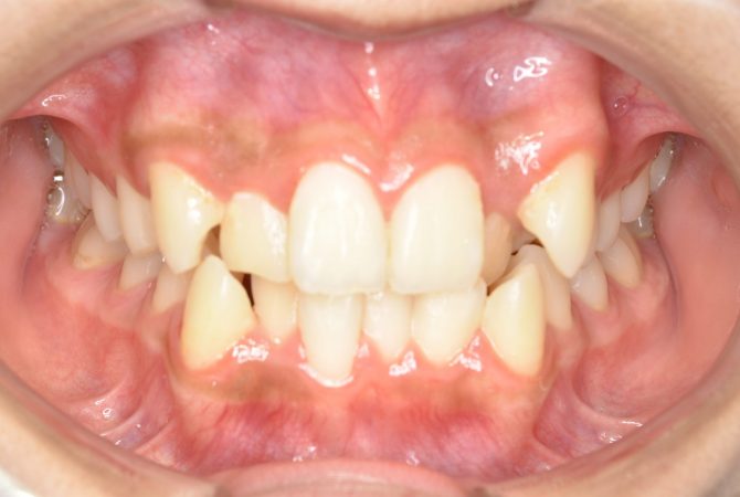
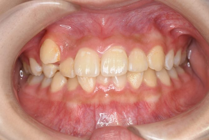
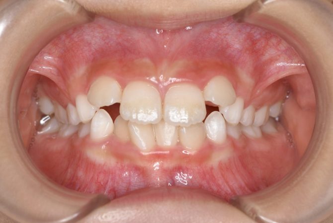
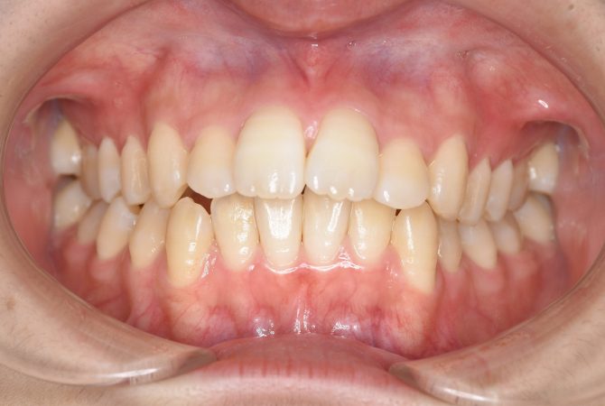
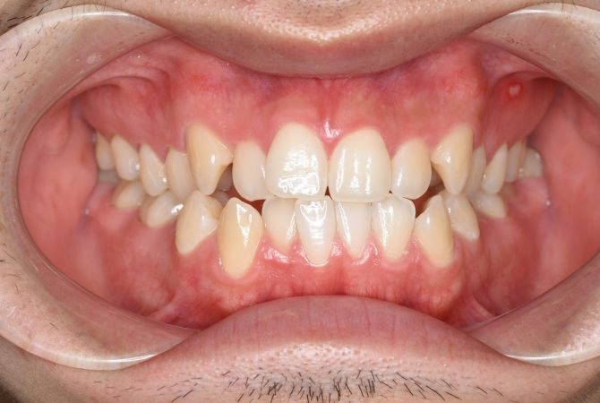
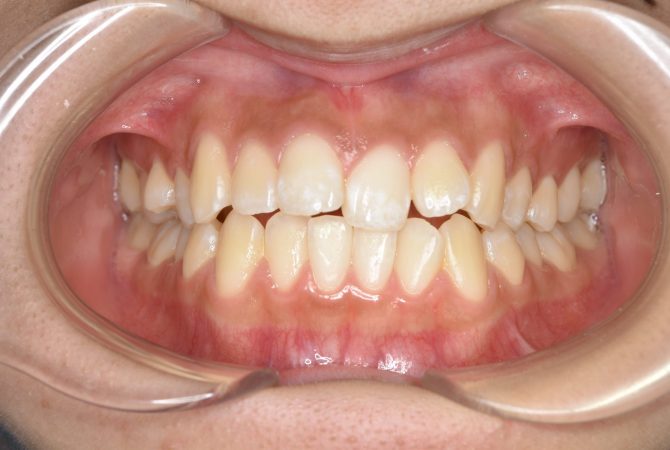
症例一覧 Case 2026.2.20 叢生子どもの症例大人の症例叢生叢生 ワイヤー矯正治療|症例_1324 詳しく見る 2026.2.20 大人の症例叢生叢生 全顎ワイヤー矯正 症例_839 詳しく見る 2026.2.20 大人の症例叢生叢生 ワイヤー矯正治療|症例_814 詳しく見る 2026.2.20 大人の症例叢生叢生 全顎ワイヤー矯正 症例_805 詳しく見る 2026.2.20 叢生子どもの症例叢生 全顎ワイヤー矯正 症例_610 詳しく見る 2026.2.20 大人の症例叢生叢生 ワイヤー矯正治療|症例_551 詳しく見る 2026.2.20 大人の症例叢生叢生 インビザライン矯正治療|症例_500 詳しく見る 2026.2.20 大人の症例叢生叢生 ワイヤー矯正治療|症例_495 詳しく見る 2026.2.20 大人の症例叢生叢生 インビザライン矯正治療|症例_479 詳しく見る 1 / 3 ページ23次へ »