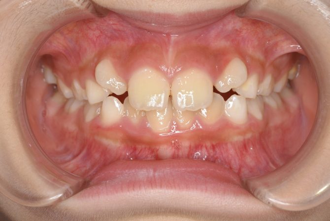
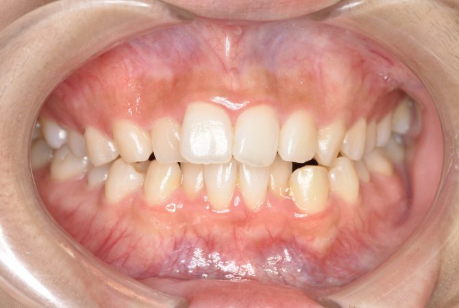
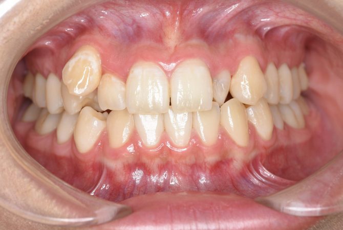
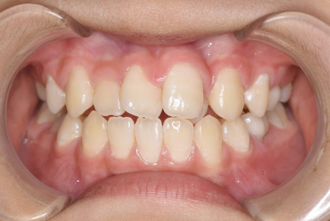
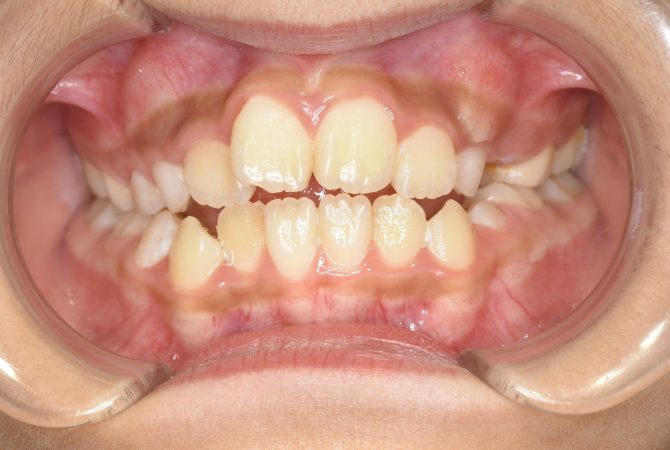
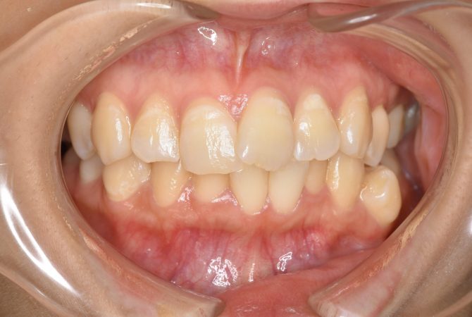
症例一覧 Case 2026.2.20 叢生子どもの症例叢生 全顎ワイヤー矯正 症例_474 詳しく見る 2026.2.20 大人の症例叢生叢生 全顎ワイヤー矯正 症例_401 詳しく見る 2026.2.20 叢生子どもの症例叢生 子どもの矯正治療|症例_347 詳しく見る 2026.2.20 叢生子どもの症例叢生 全顎ワイヤー矯正 症例_323 詳しく見る 2026.2.19 大人の症例叢生叢生 インビザライン矯正治療|症例_315 詳しく見る 2026.2.19 叢生子どもの症例叢生 全顎ワイヤー矯正 症例_276 詳しく見る 2026.2.19 叢生子どもの症例叢生 子どもの矯正治療|症例_267 詳しく見る 2026.2.19 大人の症例叢生叢生 全顎ワイヤー矯正 症例_200 詳しく見る 2026.2.19 叢生子どもの症例叢生 全顎ワイヤー矯正 症例_198 詳しく見る « 前へ12 / 3 ページ3次へ »