全顎ワイヤー矯正 症例_610 Case
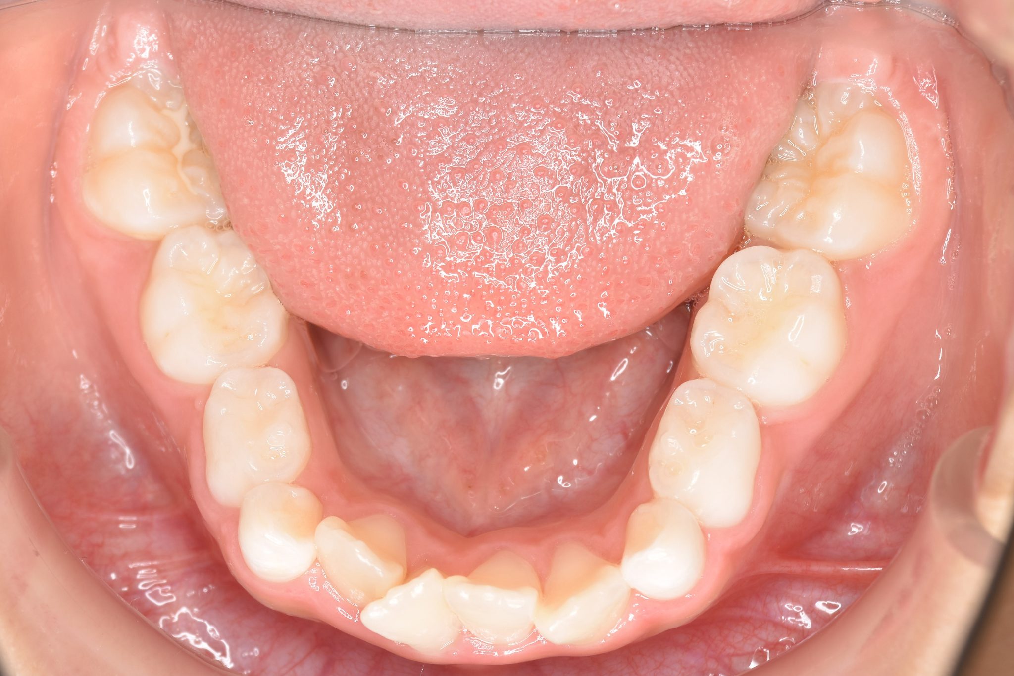
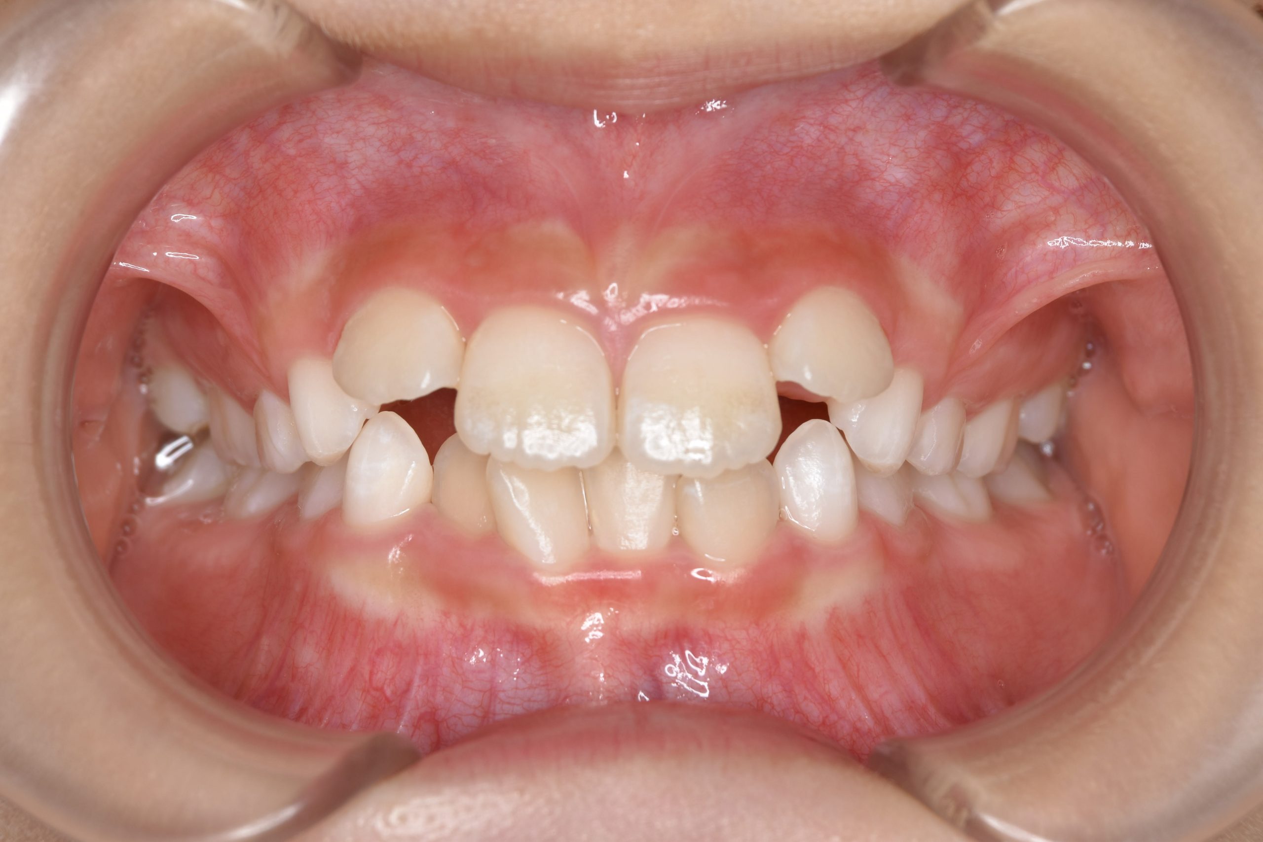
ビフォー
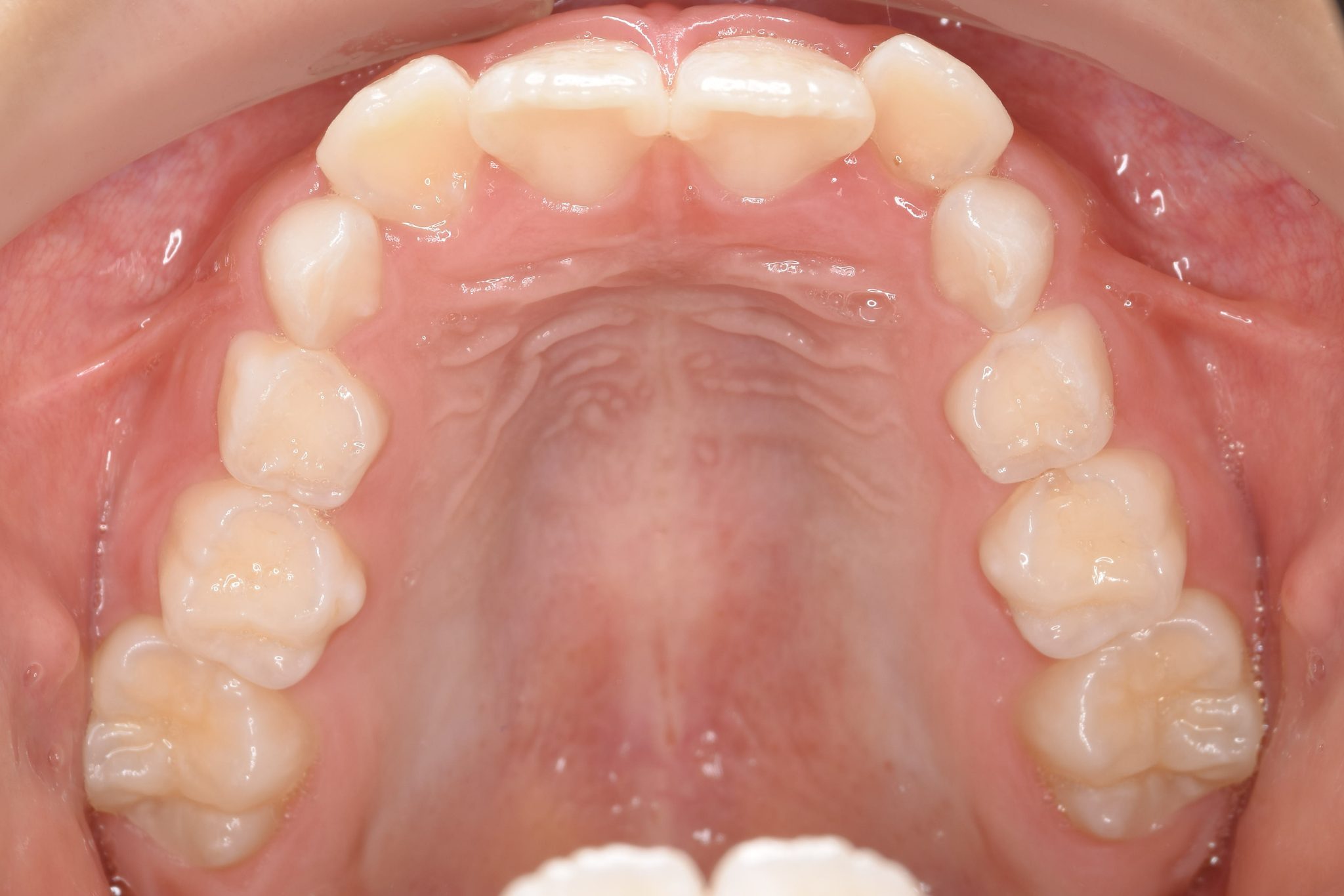
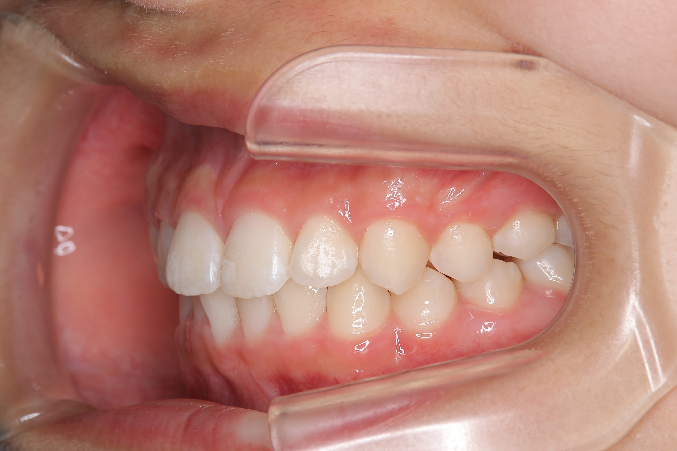
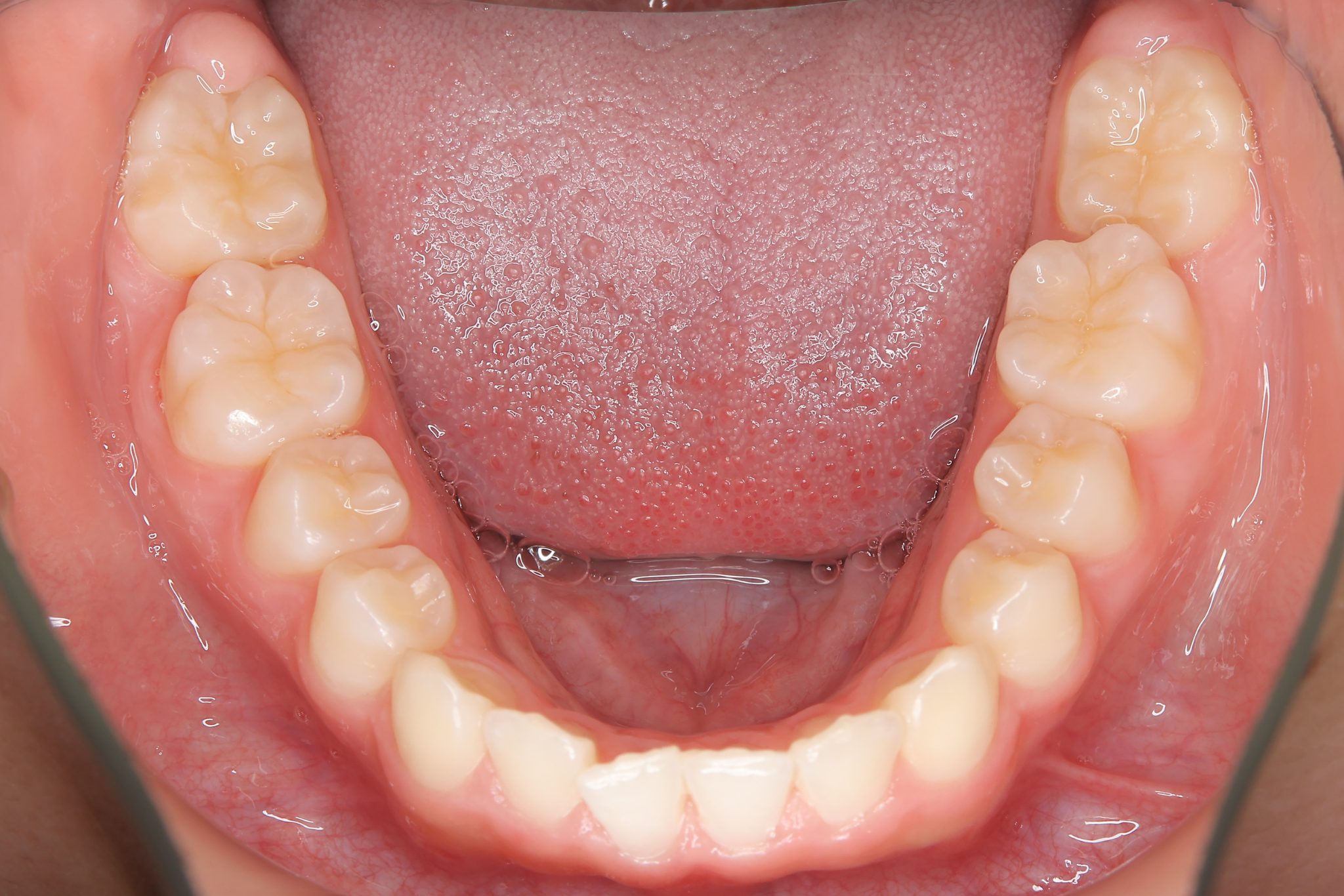
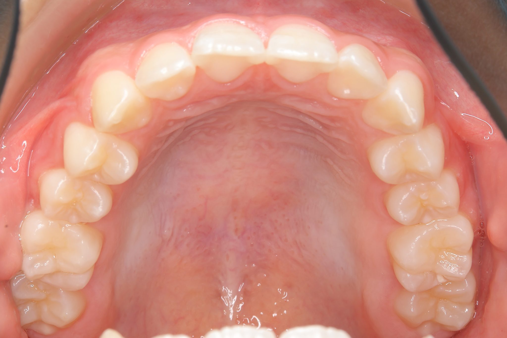
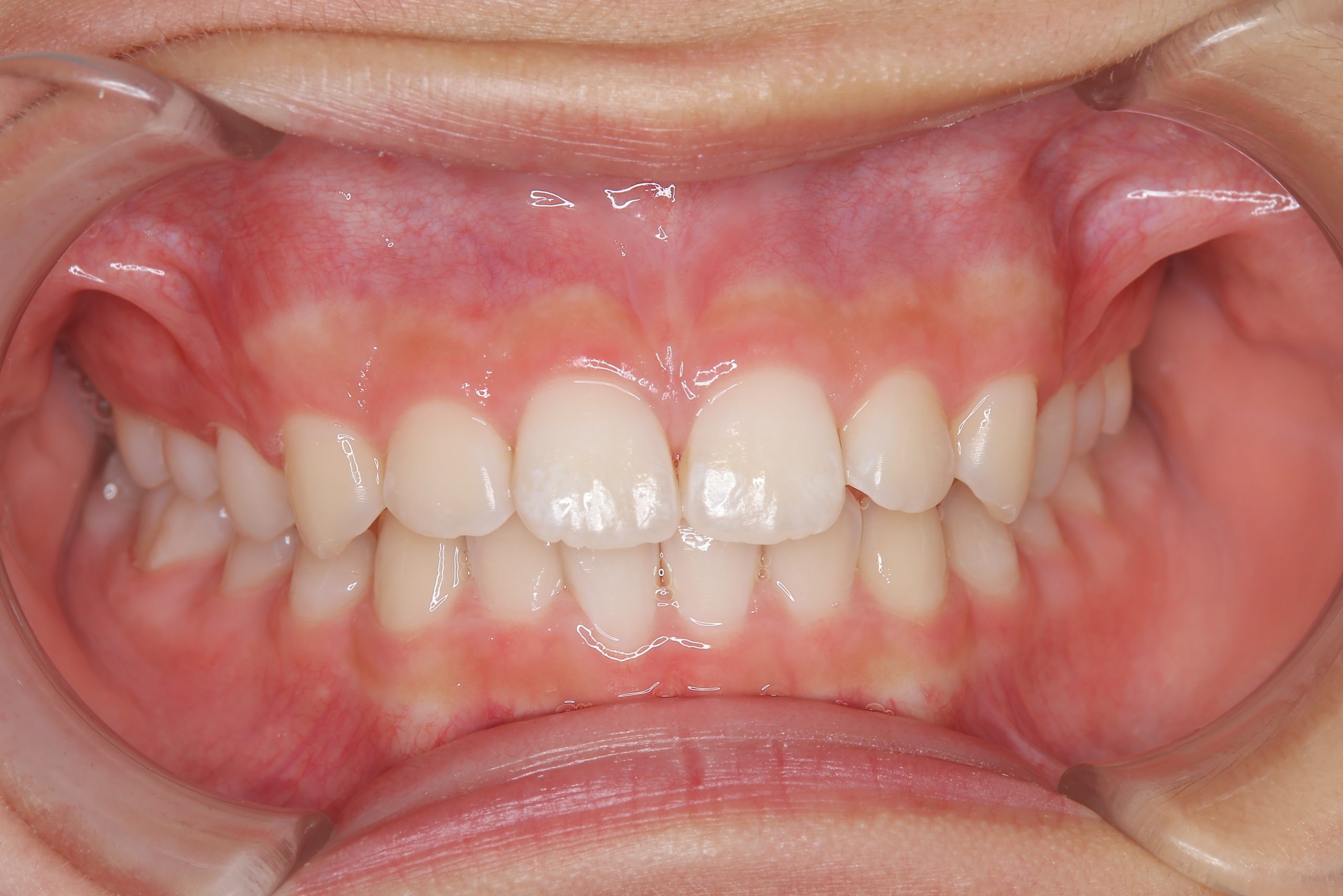
アフター
| 主訴 | 前歯の歯並び|歯ぎしり |
|---|---|
| 施術内容 | 小児矯正1期治療 |
| 治癒期間 | 2年4か月間 |
| 費用 | 711,700円(税込) |
| リスク・副作用 | 違和感、不快感、痛み |